Home CARIOLOGIE. SOINS DENTAIRES CONSERVATEURS. ENDODONTIE. Perforation du plancher pulpaire.

Perforation du plancher pulpaire.

14418
25
SHARE
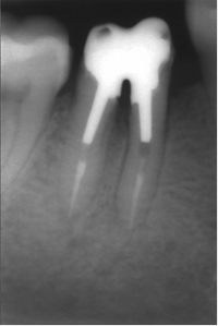
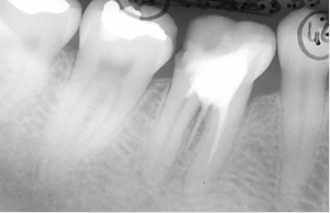
Perforation du placher pulpaire et faux canal.

Article remis à jour le 26/10/2017.

Perforation du plancher pulpaire.

Quelle attitude adopter face à une perforation du plancher de la pulpe?

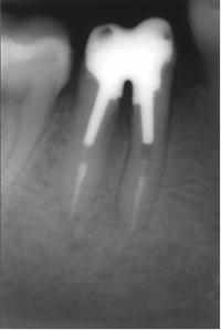
La perforation du plancher pulpaire peut se faire spontanément par l’atteinte carieuse. Elle peut se produire lorsqu’on retire toute la dentine ramollie par la carie. Elle peut être accidentelle lors du fraisage de la dent ou de la recherche des canaux.
On ne peut ignorer une perforation, et se contenter d’obturer la dent: il y aura forcément à plus ou moins long terme une infection qui s’infiltrera entre les racines.
Si la perforation est ponctuelle, il faudra l’obturer avec le même soin qui si c’était un canal radiculaire.
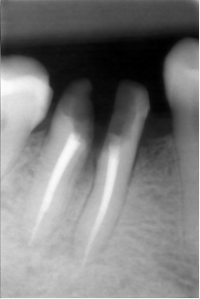
Pour une molaire inférieure, si la perforation est importante, il faudra pratiquer l’hémi-section de la dent et séparer les racines  et en faire deux petites dents. Sinon, il faut de toutes façons laisser un passage suffisant pour le nettoyage avec une brossette inter dentaire.

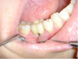
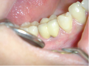
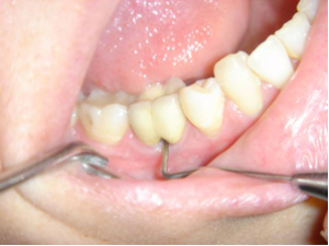
Voici, extrait de l’article de mon ami le Dr. Frédéric Manoukian (ICI), la bande dessinée du sauvetage d’une perforation du plancher pulpaire d’une molaire inférieure droite.

Perforation du placher pulpaire et faux canal.
Perforation du plancher pulpaire et faux canal.
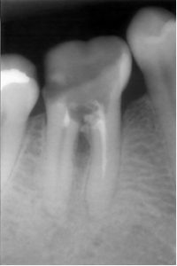
Nettoyage inter-radiculaire.
Nettoyage inter-radiculaire.
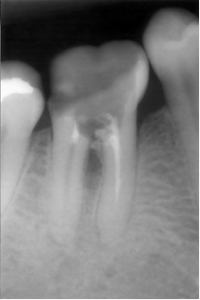
Reprise du traitement endodontique , séparation des racines et curetage inter-radiculaire.
Reprise du traitement endodontique , séparation des racines et curetage inter-radiculaire.

Technique d’hémi-section
Les praticiens moins expérimentés en chirurgie préféreront faire la séparation des racines directement après anesthésie, mais je pense qu’il est préférable de faire un petit lambeau angulaire vestibulaire, afin de travailler à ciel ouvert pour visualiser correctement ce que l’on fait, et aussi pour bien pouvoir repositionner le lambeau lors des sutures, autour des racines séparées.

                                                                     La section de la dent se fait à la fraise Zekriahemisection-002hemisection-00103 hemisecton-004

On arrondit ensuite les angles à la fraise diamantée pour faire la forme de deux petites dents

2-dents

Un inlay core est réalisé sur chacune les deux racines et une couronne par dessus le tout. 
Un inlay core est réalisé sur chacune les deux racines et une couronne par dessus le tout.
Une espace entre les deux racines est laissé accessible pour le passage d'une brossette inter-dentaire.
Une espace entre les deux racines est laissé accessible pour le passage d’une brossette inter-dentaire.
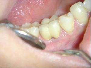
Le résultat 5 ans après est toujours excellent.
Le résultat 5 ans après est toujours excellent.

Pour les molaires supérieures qui ont 3 racines, cette technique ne peut pas s’appliquer. Il faudra couper et extraire une des 3 racines pour permettre le nettoyage de l’espace inter-radiculaire.

SHARE
Previous articleLes pinces porte-aiguille.
Next articleLes aiguilles et les fils de suture.
Albert HAUTEVILLE Né le 17 Octobre 1935 au Caire en Egypte. - 1949/1955 Etudes de la 4ième à la terminale au LYCEE BUFFON PARIS. - Baccalauréat 1ière Série Moderne M’. - Terminale Sciences Expérimentales. - 1955 PCB 4Certificats : Physique, Chimie, Biologie animale et Biologie végétale. - 1960 DIPLOME CHIRURGIEN DENTISTE Faculté de médecine de Paris + cursus libre Externat Médecine 2 ans. - 1960 à 1962 Service militaire : Ecole d’Officiers de Reserve et Exercice professionnel hospitalier (Hôpital Hyacinthe Vincent à Dijon) - 1960 Exercice privé à Dugny - 1964 à 1981 Exercice privé à Tremblay en France - 1966 à 1973 Attaché de consultation Hôpital Ste. Anne à Paris - 1966 à 1976 Formation en Sophrologie - 1967 Diplôme Implants Aiguilles - 1969 Certificat d’Enseignement Supérieur en Parodontologie - 1973 Création d’un Service de Parodontologie à l’Institut Eastman à Paris - 1973 à 1983 Formation en Occlusodontie en particulier avec les professeurs JANKELSON et RAMFJORD - 1974 Doctorat en Chirurgie Dentaire - 1974 Doctorat en Sciences Odontologiques - 1975 Nommé Expert auprès de la Sécurité Sociale - 1976 à 1984 Assistant à la Faculté de Paris V René Descartes Odontologiste Assistant des Hôpitaux de Paris - 1976 Chargé de cours au Diplôme Universitaire d’Implantologie Paris V - 1978 Diplôme Universitaire en Chirurgie Buccale Paris V - 1979 Diplôme d’Etudes et de Recherches en Odontologie, Paris V - 1981 Exercice en Cabinet privé à Paris 17ième - 1983 Publication du livre Manuel de Chirurgie Buccale Ed. Prélat - 1994 Exercice en Cabinet privé à Paris 8ième - 1996 Diplôme Universitaire Parodontologie Paris VII - 2001 Départ à la retraite - 2011 Création du blog Conseil Dentaire Dr. Hauteville 5.000 pages lues par jour avec un maximum à 7.000 Publication du Dictionnaire Lexique Dentaire Illustré Publication de Petit Atlas d’Anatomie Dentaire Publication du Petit Atlas de Dermatologie Buccale - 2019 Auteur du Etude sur la vie du Prophète Moïse intitulée Moïse et Toutankhamon. A fait 18 ans de psychanalyse personnelle et des formations en hypnose, sophrologie, training autogène, Gestalt-thérapie, bio-energie, sexologie, et dynamique de groupe. Son fils Jean Philippe Hauteville, Prothésiste Conseil, apporte sa collaboration à la réalisation de ce blog, au niveau de tout ce qui concerne la prothèse dentaire. Le Dr. Hauteville, retraité depuis 2001 souhaite mettre ses connaissances et son expérience à la disposition de tous ceux qui le désirent, professionnels ou grand public, et répondre aux questions que voudront poser les lecteurs directement sur le blog. Publier des articles, regroupant les réponses aux interrogations des patients durant 40 ans, et des cours pour les étudiants en odontologie rendus accessibles à tous.

25 COMMENTS

  1. docteur, je suis suivie dans un centre dentaire et je sentais une petite gène sur une pré-molaire, ne voyant rien à la radio,il ont creusé dans la dent et là perforation , il m
    ont dit faut l’arracher , en l’arrachant il ont enlevé un morceau osseux qui fragile la dent couronnée d’à coté
    qu’ai-je comme recours, car maintenant il me propose un appareil à mes frais
    merci de vos conseils

    • Très franchement, je ne suis pas juriste et n’en sais rien, mais il est évident, d’après ce que vous dites, que la responsabilité leur en incombe. De quel centre s’agit-il? J’ai été enseignant pendant plus de 20 ans dans différents centres de Paris.Normalement, ils ont des assurances spéciales. Cordialement.DR.AH.

  2. docteur,
    suite à me perforation, je reviens ce jour du centre et il m’ont dit que la perforation était
    due par une atteinte carrieuse que ce n’était pas l’étudiante, ce qui est bizarre c’est qu’à la radio avant les soins il ne l’avait pas vu, et que pour le morceau d’os enlevé en
    arrachant les dents, c’est du à la racine qui n’était pas droite donc c’est normal , l’autre
    dent d’à coté est fragilisée me fait très mal mais il me dise que c’est normal, je dors très
    peu , beaucoup de douleur, mais il m’ont dit que c’est normal car ils ont mis 2h30 à l’arracher, qu’en pensez-vous, merci

  3. docteur, je reviens ce jour du centre dentaire et la réponse du professeur est que l’étudiant n’a pas perforé la dent ,c’est la carie, alors qu’a la radio la perforation ne se
    voyait pas, que pour l’arrachage du morceau osseux c’est dans la logique des choses, que
    cela arrive selon la nature des dents, et qu’il ne faut pas s’inquiéter, que la dent à proximité pouvait tomber mais pouvait aussi résister,que j’ai toujours beaucoup mal
    à ce jour et que je ne peux pas manger
    merci de vos conseils

    • Comme je vous l’ai dit il faut que vous demandiez à votre caisse de Sécurité Sociale car moi je ne suis pas compétent en la matière. Avez vous une assurance familiale multi-risques?

  4. docteur, suite à un traitement de canal sur une molaire inférieure, une douleur persiste
    celle -ci s’est déclenchée lors du traitement et est toujours présente depuis que la dent est couronnée, pourriez-vous me donner conseil , pourquoi cette douleur?

    • Bonsoir, envoyez moi une radio de votre dent après pose de la couronne sur « conseil-dentaire@orange.fr »

  5. BOnjour,
    Ce matin on m’a soignée une dent atteinte d’une carie. Pendant les soins, la dent a saignée, le dentiste m’a donc mis de l’eau oxygénée mais sans succès. Au final, il a refermée la dent me disant que ça allait p-e passer. Maintenant, quand je regarde, je vois qu’il y a encore du sang a l’intérieur de la dent. Que faire?

    • Ce n’est pas la dent qui saigne mais la gencive entre les dents. Laissez tranquille la compression du pansement va arrêter le saignement.

  6. bonjour Docteur,

    Suite à des soins dentaires sur une molaires en bas, j’ai eu très mal après le premier soins. J’en ai parlé avec mon dentiste, car je ne pouvais pas dormir et manger. Les douleurs étaient atroces. Elle ne comprenait pas cette douleur. A la radio qu’elle a fait, elle m’annonce qu’il y a une perforation de la molaire. Elle me propose d’extraire la dent, et de faire un bridge. Je ne suis pas d’accord, car je souhaiterais conserver ma dent. Qui dit bridge, dit dévitaliser les autres dents. Je ne veux pas. Que me proposez-vous.
    je vous remercie.

    • Il n’est absolument pas nécessaire d’extraire la dentIl faut couper la dent en deux au niveauoir de la perforation et faire 2 dents à une racine= hémisection. Voir ICI et ici.

  7. Bonjour,
    Suite à des soins dentaires sur la dent 37, j’ai eu une douleur violente lors du fraisage et cela s’est mis à saigner. Le dentiste était surpris et affolé en même temps. Au début il pensait que la dent était fêlée puis il me dit qu’il s’agissait d’une perforation du plancher et qu’il fallait le reconstituer et du coup il était obligé d’arrêter le traitement des racines qu’il venait juste de commencer. Du coup, il m’a mis plein de choses dedans et une tige en fibre de verre et l’a refermée par une couronne provisoire.
    D’après toutes les radios dont une panoramique, jamais il a vu cette perforation donc j’en conclue qu’il l’a faite lors du fraisage pour accéder aux canaux. Pour une autre dent, une molaire du haut, il m’avait envoyé chez un endodontiste car il m’avait dit qu’il ne pouvait le faire car c’était trop compliqué et qu’il n’était pas équipé (microscope et laser) pour ce genre de soins.
    Je lui avais demandé pourquoi pour celle-ci je ne retournais pas chez son confrère, il m’a dit que pour celle ci il pouvait le faire car c’était plus facile alors qu’il s’agissait d’une molaire aussi mais inférieure!!!!
    Qu’en pensez-vous? Je pensais retourner voir l’endodontiste qui s’était occupé de mon autre molaire car ma dent me fait mal et je n’ai pas envie d’avoir une infection.
    Ainsi je ne suis pas rassurée car cela me fait mal dans l’os de cette dent et il faut que j’évite d’y manger dessus.
    Je vous remercie pour votre avis

    • Les molaires inférieures ont un meilleur accès que les supérieures, mais pour la perforation il est préférable que ce soit l’endodontiste qui s’en charge…

  8. Bonjour,
    Je vous remercie pour votre réponse. S’il y avait eu une perforatio, elle serait apparue sur la radio panoramique comme pour la molaire supérieure qui a mis en évidence une infection sur les racines.
    Dans ce cas là, qui va prendre en charge les frais chez l’endodontiste vu que ce n’est pas pris en charge par la sécurité sociale?
    Est ce que ma dent ne sera pas perdue car cela fait 2 fois qu’il y travaille dessus et cela l’a fragilisé encore plus avec cette perforation?
    Je vous remercie par avance de votre aide car cela m’inquiète vraiment surtout qu »il s’agit d’une molaire.

    Cordialement

  9. Salut Dr. J’ai des douleurs au niveau de mes molaires inférieurs droits. J’avais eu une perforation et le dentiste faisait le plombage temporaire. Après il a décidé de faire un plombage définitif. Maintenant j’zi mal dans cette région. A chaque fois que de l’eau froide ou chaude y passe ça cause des douleurs. Je n’arrive plus à mâcher de ce côté là. Je viens de prendre l’Ibuprofen pour voir di je vais fermer l’oeil. Merci pour votre conseil

  10. Bonsoir,
    Je vous avais écrit le 13 septembre 2017 mais je n’ai pas eu de réponse.Je ne comprends pas pourquoi ce dentiste qui m’a été conseillé pour son sérieux ne veut pas reconnaitre son erreur pour ma perforation du plancher dentaire qu’il m’a fait lorsqu’il recherchait les canaux pour les nettoyer. J’ai rappelé l’endodontiste qui s’était occupé d’une molaire supérieure faisant partie d’un bridge pour traiter toutes les racines car elles avaient des kystes donc une inflammation. Il m’a dit que j’avais raison qu’il fallait revenir pour qu’il fasse une panoramique vu qu’il y a eu une perforation sur la 37 et qu’il verrait s’il peut la récupérer mais qu’il y avait de grandes chances pour qu’il l’extrait car en général elles sont irrécupérables après une perforation surtout qu’avant elle avait un encrage en fer et un amalgame par dessus? Est ce c’est vrai que je vais perdre ma molaire par cette bêtise alors qu’elle aurait dû être couronné sans problème puisqu’il m’avait dit qu’il pouvait la conserver sans soucis? Surtout je lui avais demandé pourquoi je ne retournais pas chez le même endodontiste car m’a t il dit c’etait un traitement de racine distale seulement!!
    Que cela signifie-t-il ? Car l’endodontiste travaille essentiellement sous microscope et est très consciencieux il m’explique tout ce qu’il va me faire et je n’ai eu aucune surprise cela s’était bien passé pour ma dent 17 infectée sur 3 racines avec kyste? S’il m’avait écouté je ne perdrais ma molaire. Maintenant qu’elle me fait très mal, il accepte que je vois l’endodontiste! Par contre, je dois refaire une couronne sur la 27 qui me fait mal et je lui ai dit que je souhaitais la faire faire par l’endodontiste car je n’ai pas envie de perdre une nouvelle molaire car il y a seulement un excés de pâte dentaire et celle ci me fait mal également! Il refuse car il me dit à nouveau qu’il peut le faire mais je ne souhaite pas subir un 2ème perforation et perdre une dent meme si je comprends bien qu’un implant lui rapporterait encore plus!
    J’espère que vous allez pouvoir m’aider car je me demande chez qui je suis tombée?Je pense que l’on a encore le droit de choisir son practicien!!!!Je ne sais plus vers qui me tournait. Je vous en remercie.

    • Je répond à tous le monde: si je n’ai pas répondu c’est que je n’ai pas reçu votre message. je n’ai pas compris quelle est votre question.
      Vous êtes libre de faire faire vos soins endodontiques par qui vous voulez, et votre dentiste ne peut pas vous empêcher de les faire faire par un spécialiste si c’est votre souhait…

      • Je vous retransmets mon message qui est sur votre site que je vous avais envoyé et que vous n’avez pas reçu :
        Maurice 13 septembre 2017 at 17:21
        Bonjour,
        Je vous remercie pour votre réponse. S’il y avait eu une perforatio, elle serait apparue sur la radio panoramique comme pour la molaire supérieure qui a mis en évidence une infection sur les racines.
        Dans ce cas là, qui va prendre en charge les frais chez l’endodontiste vu que ce n’est pas pris en charge par la sécurité sociale?
        Est ce que ma dent ne sera pas perdue car cela fait 2 fois qu’il y travaille dessus et cela l’a fragilisé encore plus avec cette perforation?
        Je vous remercie par avance de votre aide car cela m’inquiète vraiment surtout qu »il s’agit d’une molaire.

        Cordialement

  11. Bonjour,
    Je vous retransmets mes questions de mon dernier message du 15 novembre 2017:

    Est ce c’est vrai que je vais perdre ma molaire par cette bêtise alors qu’elle aurait dû être couronnée sans problème puisqu’il m’avait dit qu’il pouvait la conserver sans soucis? Surtout je lui avais demandé pourquoi je ne retournais pas chez le même endodontiste car m’a t il dit : c’etait un traitement de racine distale seulement!!
    Que cela signifie-t-il ?
    Pourquoi il est quasiment impossible de récupérer une dent qui a une perforation et une tige en verre car il l’avait mis pour préparer sa couronne malgré qu’il ait fait la perforation du plancher dentaire le même jour et qu’il n’arrivait pas à arrêter le saignement ? Avant ma dent ne me faisait pas mal maintenant elle est très douloureuse ? Quand je lui ai demandé ce qu’il m’avait fait il n’a pas voulu m’expliquer car il avait pris assez du retard avec cette perforation ! !
    Maintenant je n’ai plus confiance car il est très agressif et travaille toujours seul sans assistante ce qui n’est pas rassurant. Le traitement des racines nécessite bien une assistante car c’est assez complexe comme me l’a expliqué l’endodontiste qui va essayer de la sauver mais vu les dégâts il m’a bien averti qu’après la panoramique il prendrait sa décision de la sauver ou de l’extraire.Que ferez vous dans un cas comme le mien?
    S’il est obligé d »extraire la molaire 37, je ne vais pas payer la tige en fibre de verre ni la couronne provisoire alors qu’au lieu d’avoir une couronne en céramique je vais me retrouver avec un gros trou car la 36 est absente?
    Quels sont mes recours s’il refuse le non paiement ? Pour un traitement de racine cela me coûte dejà 600€ non remboursé par la cpam.
    Je vous remercie par avance de votre aide car je suis très inquiète

  12. Bjs mon dentiste m à fait une perforation en dévitalisent ma molaire il veut l arraché il a mit un pansement en attendant je me suis réveillé je suis gonflé tt la figure du côté droit es ce que sous antibiotiques sa va S arranger ? Merci

    • Pour la dent ça ne peut s’arranger que si vous consultez un endodontiste spécialisé qui travaille au microscope. Si vous préférez l’extraire, il faut continuer l’antibiotique pour que ça dégonfle et procéder à l’extraction comme prévu.

  13. Bonjour,

    Je viens d’apprendre que j’ai une perforation au niveau de la 37 et ce après 5 séances de soin chez 2 dentistes différents. Le dernier accuse le 1 er dentiste de l’avoir faite et m’a dit qu’ il ferait de son mieux pour la réparer et que le taux de réussite ne dépasserait pas 50%. Mes questions :
    1- Est ce que cette perforation peut engendrer des problèmes graves dans le futur. C est lesquels?

    2- si je demande au dentiste de l enlelever je ne risquerai rien dans le futur ?

    • Laisser tel quel mènera fatalement à un abcès. La solution n’est pas l’extraction. Le plus simple est d’obturer la perforation, si on n’y arrive pas, il fut sectionner la dent en 2 si c’est une molaire du bas, ou extraire une racine si c’est une molaire du haut.

LEAVE A REPLY