Home STOMATOLOGIE ET PATHOLOGIE BUCCO-DENTAIRE. MALADIES BUCCALES. Malformations dentaires.

Malformations dentaires.

19740
23
SHARE
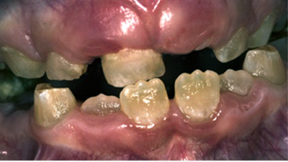
Malformations Dentaires : Syndrome d'Hutchinson
Exemple: Syndrome d'Hutchinson.

Les malformations dentaires: voila un vaste sujet que je n’ai pas encore abordé, sans doute par paresse, je devais donc à mon public estudiantin ce petit coup de main pour une question de cours ultra classique! Quand j’ai fait mes études, cela s’appelait les dystrophies dentaires.

Les malformations dentaires peuvent toucher les dents temporaires et les dents définitives ou les deux dentitions. Ainsi, pour alléger cette publication, cela ne sera pas répété à chaque fois.

1 – ANOMALIES DE NOMBRE

Les agénésies (ICI) et les dents surnuméraires (ICI) sont considérées comme des anomalies. On les appelle maintenant « hypodonties » ou « anodonties », et « hyperdonties ».

Je n’aborderai pas dans cet article, les becs de lièvre et fentes vélo-palatines, qui s’accompagnent presque toujours d’agénésies de certaines dents, ni les grands syndromes comme la Trisomie ou autres. Les étudiants en quête d’informations pourront chercher des informations sur les syndromes de Down, Hutchinson, de Christ Siemens Touraine, de Goltz, de Papillon Leage et Psaume, de Bloch Schulz Berger, de Pierre-Marie Sainton et de Gardner.

Exemple: Syndrome d'Hutchinson.
Exemple: Syndrome d’Hutchinson.

Je mettrai donc plutôt l’accent malformations dentaires en tant qu’anomalies morphologiques des dents elles mêmes.

2 – ANOMALIES DE TAILLE

2.1. Macrodontie : dent plus grosse

 

Macrodontie: incisive latérale supérieure droite 12 plus grosse que sa collatérale 22 (csd23.blogspot.fr).
Macrodontie: incisive latérale supérieure droite 12 plus grosse que sa symétrique 22 (csd23.blogspot.fr).

2.2. Microdontie : dents plus petites

Ces malformations dentaires peuvent être généralisées ou localisées.

Microdontie des incisives latérales supérieures (eds23.blogspot.fr)
Microdontie des incisives latérales supérieures (csd23.blogspot.fr)

3 – ANOMALIE DE FORME

3.1. Anomalies coronaires ou dent « en grain de riz »

 

12 naine et agénésie .22
12 naine et agénésie 22.
Hypertrophie du tubercule de Carabelli (universitederennes1)
Hypertrophie du tubercule de Carabelli (Université de Rennes1)
Cigulum ectopique (jaypee journais).
Cingulum ectopique (jaypee journais).

Anomalie de l’émail et de la dentine: dent de Turner:

Dent de tunner (qizlet.com).
Dent de Turner (qizlet.com).

3.2. Anomalie radiculaires

Le nanisme radiculaire. Il existe des cas de nanisme de la racine seulement, Mais je n’ai malheureusement pas trouvé d’image.

Taurodontisme : le taurodontisme est caractérisé par des dents dont la chambre pulpaire s’étend bien au delà du collet : il n’y a donc pas d’étranglement au collet, comme des dents d’herbivores.

Taurodontisme (quizlet.com).
Taurodontisme (quizlet.com).

Invagination dentaire : c’est la ‘dens in dente » caractéristique de la « mésiodens » vue avec les dents surnuméraires.

Une petite dent surnuméraire pousse à l'intérieure de la pulpe d'une dent.
Une petite dent surnuméraire pousse à l’intérieure de la pulpe d’une dent.

La concrescence : les dent sont soudées par le cément des racines. Cela se produit plutôt au niveau de la dent de sagesse et de la dent qui précède par compression due au manque de place.

La fusion, ou synnodontie fait que 2 dents sont soudées entre elles. Ce sont souvent des incisives, soit définitives soit temporaires . Il s’agit là d’anomalie de la couronne et de la racine

Incisives centrale 11 et latérale 12 soudée en une seule dent.
Incisives centrale 11 et latérale 12 soudée en une seule dent.
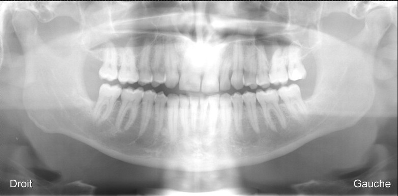
Radiographie panoramique du même parient: 11-12 soudée en une seule dent.
Radiographie panoramique du même patient: 11-12 soudée en une seule dent.
Deux incisives centrales temporaires soudées.
Deux incisives centrales temporaires soudées chez un enfant de 10 mois.

4 – ANOMALIES DE STRUCTURE

Ce sont des défauts dans la structure des tissus durs des dents qui surviennent pendant l’odontogénèse.

4.1. Anomalies de l’émail

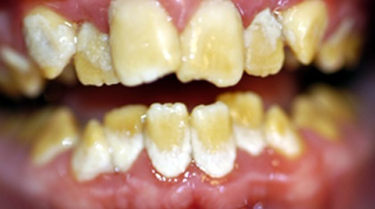
L’amélogénèse imparfaite, relativement fréquente, touche surtout les dents temporaires.

Amélogénèse imparfaite de la deuxième dentition (universitederennes1).
Amélogénèse imparfaite de la deuxième dentition (Université de Rennes 1).
Abrasion sur molaires touchées par une amélogénèse imparfaite (universitederennes1)
Abrasion sur molaires touchées par une amélogénèse imparfaite (Université de Rennes1)
Amélogénèse imparfaite du groupe incisivo-canin lactéal chez un enfant de 18 mois.
Amélogénèse imparfaite du groupe incisivo-canin lactéal chez un enfant de 18 mois.

Hypoplasie de l’émail

Hypoplasie de l'émail d'une incisive centrale (slideplayer).
Hypoplasie de l’émail d’une incisive centrale (slideplayer).

4.2. Anomalie de la dentine


C’est la dentinogénèse imparfaite
, qui était décrite sous le nom de Dysplasie de Capdepont lors de mes études:

Dentinogénèse imparfaite Uninervité de Rennes 1).
Dentinogénèse imparfaite (Uninervité de Rennes 1).

4.3. Anomalies du cément


Les cémenticules: ce sont des  petits noyaux calcifiés sphériques qui se développent au sein des éléments fibrovasculaires du desmodonte.

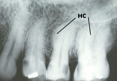
L’hypercémentose se manifeste par des racines en « baguettes de tambour », particulièrement difficiles à extraire.

Hypercémentose en "baguette de tambour" (quizet.com).
Hypercémentose en « baguette de tambour » (quizlet.com).
Hypercémontose apicale en crochet (qiuizet.cpom).
Hypercémontose apicale en crochet (qiuizlet.cpom).

Cémentogénèse anarchique: le cément déborde sur l’émail.

Hypercémentose anarchique.
Hypercémentose anarchique.

Je compte de plus en plus d’étudiants dans mon lectorat et j’en suis heureux et fier. J’en profite un fois de plus pour dire que je suis à leur disposition pour les aider, et qu’il leur suffit de s’adresser à moi: je réponds à tous!

SHARE
Previous articleDiagnostics et traitement des fausses routes endodontiques.
Next articleLes différentes étapes d’un traitement médical.
Albert HAUTEVILLE Né le 17 Octobre 1935 au Caire en Egypte. - 1949/1955 Etudes de la 4ième à la terminale au LYCEE BUFFON PARIS. - Baccalauréat 1ière Série Moderne M’. - Terminale Sciences Expérimentales. - 1955 PCB 4Certificats : Physique, Chimie, Biologie animale et Biologie végétale. - 1960 DIPLOME CHIRURGIEN DENTISTE Faculté de médecine de Paris + cursus libre Externat Médecine 2 ans. - 1960 à 1962 Service militaire : Ecole d’Officiers de Reserve et Exercice professionnel hospitalier (Hôpital Hyacinthe Vincent à Dijon) - 1960 Exercice privé à Dugny - 1964 à 1981 Exercice privé à Tremblay en France - 1966 à 1973 Attaché de consultation Hôpital Ste. Anne à Paris - 1966 à 1976 Formation en Sophrologie - 1967 Diplôme Implants Aiguilles - 1969 Certificat d’Enseignement Supérieur en Parodontologie - 1973 Création d’un Service de Parodontologie à l’Institut Eastman à Paris - 1973 à 1983 Formation en Occlusodontie en particulier avec les professeurs JANKELSON et RAMFJORD - 1974 Doctorat en Chirurgie Dentaire - 1974 Doctorat en Sciences Odontologiques - 1975 Nommé Expert auprès de la Sécurité Sociale - 1976 à 1984 Assistant à la Faculté de Paris V René Descartes Odontologiste Assistant des Hôpitaux de Paris - 1976 Chargé de cours au Diplôme Universitaire d’Implantologie Paris V - 1978 Diplôme Universitaire en Chirurgie Buccale Paris V - 1979 Diplôme d’Etudes et de Recherches en Odontologie, Paris V - 1981 Exercice en Cabinet privé à Paris 17ième - 1983 Publication du livre Manuel de Chirurgie Buccale Ed. Prélat - 1994 Exercice en Cabinet privé à Paris 8ième - 1996 Diplôme Universitaire Parodontologie Paris VII - 2001 Départ à la retraite - 2011 Création du blog Conseil Dentaire Dr. Hauteville 5.000 pages lues par jour avec un maximum à 7.000 Publication du Dictionnaire Lexique Dentaire Illustré Publication de Petit Atlas d’Anatomie Dentaire Publication du Petit Atlas de Dermatologie Buccale - 2019 Auteur du Etude sur la vie du Prophète Moïse intitulée Moïse et Toutankhamon. A fait 18 ans de psychanalyse personnelle et des formations en hypnose, sophrologie, training autogène, Gestalt-thérapie, bio-energie, sexologie, et dynamique de groupe. Son fils Jean Philippe Hauteville, Prothésiste Conseil, apporte sa collaboration à la réalisation de ce blog, au niveau de tout ce qui concerne la prothèse dentaire. Le Dr. Hauteville, retraité depuis 2001 souhaite mettre ses connaissances et son expérience à la disposition de tous ceux qui le désirent, professionnels ou grand public, et répondre aux questions que voudront poser les lecteurs directement sur le blog. Publier des articles, regroupant les réponses aux interrogations des patients durant 40 ans, et des cours pour les étudiants en odontologie rendus accessibles à tous.

23 COMMENTS

  1. Bonsoir Dr.s’il vous plaît.jai besoin d’un conseil et d’une aide.je suis étudiante en chirurgie dentaire.niveau 6

  2. Bonjour docteurs Merci pour votre blog il est super instructif et bien réalisé ! Je voulais vous pose une question où plutôt vous demander un avis médical je peux vous envoyer ma panoramique dentaire si vous le souhaitez ! Voilà j’ai remarqué en me palpan la gencive que j’avais le côté droit au dessus de la dent 17 une sorte de boule dur semblable à de l’os. J’ai été chez ma dentiste lui montrer elle a ressorti ma panoramique dentaire que j’ai fait en mai dernier et sur lequel elle n’avait rien remarqué ! La elle me dit » je vois un truc bizare au dessus de la 17 mais je sais pas c’est quoi ce truc  » super rassurant surtout que j’y suis aller 6 fois cette annee pour des soins et elle n’a rien remarqué elle m’envoie chez le stomatologue j’ai rdv en janvier et j’ai le temps de bien cogité jusqu’à la et gâché la fin d’année. Merci par avance si vous pouvez m’aider

  3. Bonjour Docteur,

    Ma fille a eu une hypominéralisation traumatique sur ces deux incisives centrales supérieures définitives suite à un traumatisme des dents temporaires. Ses incisives ont poussé avec deux grosses taches blanches mais notre dentiste nous a toujours conseillé de ne pas tenter de les enlever car l’émail de ses dents est très fragile.

    Or, à l’issue de son traitement d’orthodontie, les tâches ont quasiment disparu ! Ma fille est ravie mais je m’inquiète un peu. Ces tâches ont-elles pu disparaître simplement à cause du collage et du décollage des brackets ? Je crains que la la qualité et l’épaisseur de l’émail n’aient été atteint. Avez-vous déjà vu un cas similaire et que pouvons nous faire, à présent, pour préserver ses dents ?

    Merci d’avance pour votre réponse.

    • Il est probable que les taches ne concernaient que la cuticule de l’émail, or celle ci a dû être éliminée par le collage et elle se régénère en pompant des sels minéraux dans la salive…il n’ y a rien de plus à faire!

  4. Bonjour,
    j’ai lu votre article pour des raisons personnelles et je voulais vous posez la question suivante:  » Que voulez-vous dire par une malformation dentaire généralisée ou localisée? »
    Votre réponse m’aiderait beaucoup personnellement.

    Cordialement

    • Une malformation « localisée » limitée à une ou quelques dents, ou une malformation « généralisée » de toute la denture, c’est à dire des toutes les dents.

  5. Bonjour voilà je rencontre un soucis dentaire avec mon bébé de 1an elle a 4 dents les 2 incisives du haut et les 2 du bas sauf que sur chacune de ses dent elle a perdu un petit de dent et à chaque fois sur le bas de la dent il y avait comme une toute petite forme couleur ivoire et c’est précisément à cette endroit que le petit morceau de dent c cassé du coup le bas de ses dent et hyper denteller sa firme comme des crans sinon elle sont blanche et mon dentiste ma dit que l’email lui paraissait saint mais que c’était trop tôt pour en parlé sauf que moi je suis très inquiète j’ai donc ramener ma fille au urgence et j’en suit ressorti avec une suspicion d’amelogenes imparfaite pouvez vous me dire quel est le tout début de l’évolution de cette maladie? Quel en sont les signes les plus fréquents chez les bébé en bas âge ? Svp merci et desoler pour la longueur du texte

    • C’est en effet à l’amélogénèse imparfaite qu’il faut penser, mais il est trop tôt pour faire un diagnostic. De toutes façons on ne peut rien y faire, et ce n’est pas une catastrophe, car ça ne touche pas forcement toutes dents et ça ne concerne généralement que les dents de lait. Il faut lui apprendre des soins d’hygiène dès qu’elle aura 4 dents en haut et 4 en bas pour éviter qu’elle n’ait trop de caries, et utiliser un dentifrice spécial pour enfants.

  6. Bonjour j aurait voulu savoir comment on soigne des papille hypertrophiee merci de m apportee des reponce dr hauteville

    • Il faut commencer par savoir POURQUOI elles sont hypertrophiée, sinon ça ne sert à rein de faire quoique ce soit: la même cause reproduira le même effet et il y aura récidive. Envoyez moi une radio panoramique et des photos sur ‘dr.h@conseildentaire.com » , avec votre question.
      Prenez vous des médicaments, si oui, lesquels et pourquoi?

  7. Je prend du daktarin fongizone mon medecin ma dit j avais candidose buccal et je voulais savoir si une candidose peux hypertrophier les papille foilee ? Si oui pk j ai ete traiter pour pharyngite et angine avc du augmentin il ya 1 moi est ce possible que ce sois a cause de sa . Merci

  8. Mes deux filles 8 et 6 ans ont un probleme dentaire qui a étè mal diagnostiqué, les difinitives sont malformées et avec des taches blanches c est ce que vous avez appelé hypertrophie du tubercule de carabelli.
    Quelle est la source du probleme et comment y remediė?
    Sachant que j ai fais le tour chez plusieurs dentistes ici au Maroc en vain.

    • L’origine est congénitale, et donc on ne peut pas y faire grand chose: il faut protéger les zones d’émail touchée avec un vernis protecteur transparent que le dentiste pose et polymérise aux ultraviolets. S’il y a un problème esthétique, envoyez moi des photos sur « dr.h@conseildentaire.com ».

  9. Bonjour Docteur
    J’ai une lésion infectée depuis 6 mois sur ma gencive des dents 11 à 14
    Le dentiste m’a extrait la 12 et 13 sans résultat, l’infection est toujours là
    le pus sort par des fistules malgré de nombreuses prises d’antibiotique birodogyl
    Je n’ai aucune douleur et je pratique des soins dentaires corrects brossage avec brosse souple conique inava matin et soir, brossette et bain de bouche listerine sans alcool
    Le chirurgien maxillo facial que j’ai consulté m’ a fait passer un scanner dont je vous joins le compte rendu Il n’a également prescrit un Cone beam des maxillaires
    Auriez vous la gentillesse de m’expliquer pourquoi infection ne disparait pas malgré les antibiotiques
    je vous ai fait un message privé
    Bien a vous

  10. Bonjour mon fils de 8 ans avait les dents de lait devant taché noir sa c’est propagé en haut sur les 4 incisives puis il a perdu les deux du bas qui elles aussi sont sorti noir mon dentiste me dis que c’est dû à une bactérie qu’il n’y avait rien à faire sa partirait quand il sera plus grand j’aimerais savoir si c’est vraiment sa et s’il y avait un traitement ou autre car les moqueries sont dur pour lui je peux vous envoyer une photo si vous voulez cordialement

LEAVE A REPLY