Comment diagnostiquer et traiter une fausse route ou un faux canal?
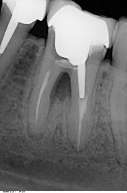
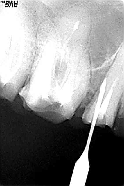
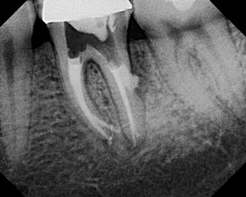
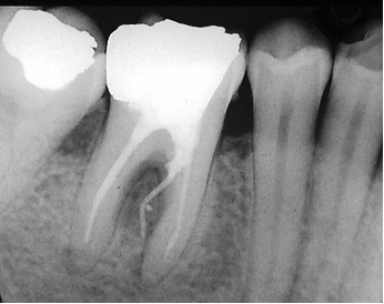
Pour obturer les canaux, il faut les aléser, c’est à dire les élargir et régulariser leur paroi interne. On utilise pour cela des instruments rotatifs proches des forets . Si un canal est coudé, il arrive que l’instrument ne suive pas la coudure et continue à forer dans une mauvaise direction. Ceci s’appelle une fausse route et aboutit à la création d’un faux canal.


Parfois, c’est lors du forage d’un logement pour pivot que la fausse route se produit.

(eugenol.com).
La perforation du plancher pulpaire peut être assimilée à une fausse route, elle peut être spontanée suite à une carie profonde ou accidentelle lors de traitements endodontiques ou de forages de logements de pivots.

Le diagnostic est facile à faire: les perforations saignent énormément et il faut systématiquement y penser devant une hémorragie endopulpaire. La radio avec des sondes radio opaques en place confirme généralement la perforation.
Le traitement le plus simple et le plus évident est l’obturation étanche de la perforation, en évitant soigneusement les dépassements intempestifs.



Lorsque la perforation est ancienne et a été à l’origine d’une lésion interradiculaire, il faudra faire une hémisection et un curetage inter radiculaire en taillant 2 monoradiculées à la place d’une biradiculée.

La dent est transformée en deux dents avec possibilité de passer des brossettes interdentaires.
On obtient un septum et une papille interdentaire en bonne santé.



Bjr docteur, svp pourai-je avoir la definition de IRM (materiau d’obturation dentaire)? Merci
IRM® Intermediate Restorative Material est un produit d’obturation à base d’eugénol oxyde zinc renforcé pour pouvoir durer plus longtemps (1 an)
https://conseildentaire.com/2014/09/27/les-materiaux-dobturation-dentaire/
Bonjour Docteur,
A la suite d’une dévitalisation dentaires, je me retrouve avec trois dents de devant perforées.
Le dentiste me l’a caché et essayant tout de même de me couronner ces dents là. Suite au douleurs j’ai été voir un autre dentiste et a la radio il a vu que mes 3 dents sont perforées.
On me dit qu’une extraction d’urgence est nécessaire, je suis perdue je ne sais que faire.
Pouvez vous m’expliquer à peu près ce qui se passera dans mon cas ?
Bien cordialement
Envoyez moi vos radios sur « dr.h@conseildentaire.com » avec votre question.