Article remis à jour le 06/01/2022.
Comment fortifier les gencives fragiles? En plus du traitement local des gingivites, que peut-on faire pour améliorer la résistance du tissu gingival?
Tout d’abord, il faut préciser que les gencives qui saignent et les gingivites, ont à 95% pour origine un mauvais entretient: pas ou pas assez de brossage, mauvaise technique de brossage, non utilisation de fil de soie et de brossettes. Présence de tartre et détartrages insuffisants.
La première des choses à faire est donc de consulter un spécialiste en parodontologie pour éliminer toutes les causes locales.
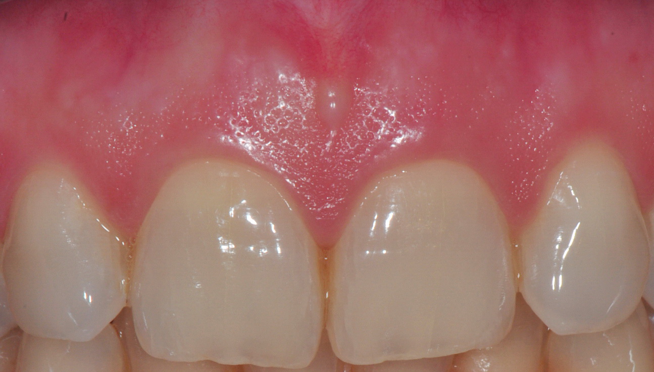
- Qu’est-ce qui fait qu’un gencive est saine? Une gencives saine est rose pâle, est épaisse et présente un aspect granitée « en peau d’orange ».

Cet aspect caractéristique de la gencive est dû à la présence de kératine. C’est une protéine soufrée qui est le composant essentiel des ongles, des cheveux, et de la gencive, et qui lui confère une plus grande résistance que les autres muqueuses qui n’en contiennent pas. Voir : ICI.
Une gencive mal kératinisée est fragile:
- Gencive fragile mal kératinisée (soindentaire.com)
1- Par des soins locaux:
– des soins d’hygiène très rigoureux
– l’absence d’épines irritatives
– des obturations non débordantes ( voir: ICI)
– les frottements par brossage direct de la gencive, les brosses à dents électriques sont bien pour ça
– les massages stimulent la formation de kératine. Il existe en pharmacie des doigtiers en caoutchouc avec picots, spéciaux pour massages des gencives.

Certaines brosses à dents présentent une partie pour massage des papilles interdentaires.


Un gel à base d’acide Hyaluronique est un excellent en complément pour réhydrater et redonner du volume.
– pas de tabac, peu d’alcool…Les albumines de la cellule gingivale sont coagulable vers 55°, la fumée de la cigarette sort à 70°. Ne buvez pas non plus de boissons trop chaudes; évitez les irritants.
2- Par une alimentation variée et équilibrée, ou par la prise de compléments alimentaires tels que
– Vitamine C 1 (acide ascorbique) et C 2 citroflavonoïdes et B 5 (acide panthothénique)
– fortifiants des réseaux sanguins capillaires: Citroflavonoïdes, Etamsylate, Ginko, Intrait de Marrons d’Inde, Rutine, et l’Hamamélis. Je prescrivais HAMARUTYL qui contient ce deux derniers.
Le FRUBIOSE P 200 contenait de la vit C 1 et C 2, mais est devenu très difficile à trouver en France.
– Gélatine en poudre, sachets de 10 mg (demander au pharmacien de les préparer). Faire des cures de 3/4 semaines à raison d’un sachet par jour
– la prise d’insaponifiable d’avocat-soja (PIASCLÉDINE) ou de maïs (INSADOL) donne aussi de bon résultats.
L’amélioration de vos ongles et de vos cheveux ira de pair avec celle des gencives…et ça vous donnera un bon coup de fouet!!!



Encore une fois je trouve ça vraiment super de votre part pour vos conseils et votre aide si jamais vous entendez parler de quelque chose pour m aider avec ma perte de papilles faites le moi savoir merci beaucoup à vs
j’ai fait quelques rajoûts que j’avais oublié et qui peuvent vous intéresser pour les papilles
Bonjour.
Je me suis faisentie opéré des dents de sagesse hier matin sous anesthésie locale.
L’extraction s’est passé facilement….Quelques minutes par dents…..
Je prends bien les antibiotiques mange mixe etc….
Merci lave bien les dents avec une brosséquipe à dents douce. Et fais les gestes que mon dentiste m’a expliqué.
J’ai la rigueur de me brosser les dents après chaque repas sans attendre….
Mes anti inflammatoires sont aussi pris toutes les 5 heures.
Et cela me brûle aux emplacements ou était mes dents de sagesse….
Est ce normal ou dois je m’inquiéter ?sachant que l’opération est toute fraîche et que les anti inflammatoires me calment deux trois heures.
Je prends aussi de l homéopathie ça m’aide en complément du traitement ….
Cette sensation de brûlure m’inquiète mème si j’ai bien retrouvé ma sensibilité langue visage….
Merci par avance de votre réponse. Bon week-end à vous
Le mode t9 me joue des tours sur mon portable.
Excusezen donc des mots pas français.
C’est un peu du décodage du coup.
j’en ai eu marre et j’ai demandé à mon petit fils de me le retirer!!! (c’est lui ma « hot-line »)
Il n’y a pas lieu de s’inquiéter, prenez bien vos anti inflammatoires et rajoutez un peu de paracétamol si ça ne suffit pas à vous calmer.
bonjour,
savez si il existe un instrument pour gratter un tout petit peu sous la gencive afin éliminer la plaque dentaire ? ma gencive étant fragile et en cours de traitement paro, j’utilise une brosse à dents chirurgicale qui ne permet pas d’enlever efficacement la plaque.
merci
Massez avec le doigt et du gel CURASEPT
Bonsoir,
je prends très soins de mes dents ( un peu trop je penses ) et i lors de mon dernier brossage avec un dentifrice pourtant fait pour l’entretien de la gencive mais granuleux, j’ai écorché et irrité ma gencive ( ce qui n’est pas la première fois ).
J’ai remarquer que la dent ou la ligne de la gencive est irrité est peu plus reculer que celles de mes autres dents elle parait donc plus longue, la question serait de s’avoir si il est possible que la ligne revienne au même niveau que celle des autres dents ( la gencive repousse t-elle ? ) car c’est inesthétique quand je sourie. Avez-vous des remèdes ou techniques pour y arriver ?
Merci d’avance pour votre réponse 🙂
prenez une brosse plus douce et un dentifrice moins agressif, et ne brossez pas vos dents horizontalement. Pour cicatriser faite des massages au doigt avec du gel CURASEPT.
Bonjour, malgré des brossages réguliers, (matin et soir à l’électrique et le soir à la brosse manuelle), je souffre d’une gingivite que je n’arrive pas à soigner. Mon dentiste m’a dit de me laver à chaque brossage les dents avec de l’eau oxygénée + bicarbonate de soude. Mais après 2 semaines, la gingivite est toujours présente…
De plus, près des gencives sur les dents, j’ai constaté l’apparition de tâches marrons. Le dentiste m’a dit qu’il s’agissait de tartre profondément ancré. Ce qui m’attriste un peu vu mon brossage très régulier …
Avez-vous une suggestion pour un autre traitement de la gingivite et des tâches marrons ?
Merci 🙂
Vous pouvez avoir une hygiène que vous pensez parfaite mais qui est inadaptée pour votre anatomie dentaire. Si vous avez du tartre, c’est que votre hygiène n’est pas bien adaptée. Je vous conseille de consulter un parodontologiste qui examinera tout de plus près et vous donnera les solutions.
Bonjour docteur,
J’ai subi un surfaçage radiculaire il y a un jour et aujourd’hui j’ai remarqué quelques tâches blanches sur mes gencives, est-ce normal ? Merci d’avance pour votre réponse
oui, ce sont des desquamations de la gencive
Bonjour Monsieur, je trouve votre site formidable et vous remercie pour vos informations précieuses.
Je souffre depuis 20 ans d’un problème de fragilité et rétractation très progressive de mes gencives. Dans votre article, vous conseillez l’utilisation d’un gel d’acide hyaluronique. Y a t-il une marque que vous conseillez ?! Par ailleurs, mes papilles gingivales étant endommagées, j’ai lu ici: http://docnum.univ-lorraine.fr/public/SCDPHA_TD_2010_GUYOT_JESSICA.pdf
que des injection du même acyde Hyaluronique donnait de bon résultat, qu’en pensez-vous? Je vous remercie d’avance pour votre réponse.
Oui, l’acide hyaluronique donne de bons résultats sur la gencive, en massages avec du gel HYUALUGEL, mais il est préférable que vous consultiez un spécialiste en parodontologie, qui fera un traitement complet, avec éventuellement des injections d’acide hyaluronique
Bonjour docteur,
Je souffre de parodontie depuis de nombreuses années qui me provoque des poches parodontales. Celles-ci lorsqu’elles sont infectées, elles me causent parfois des pelades. J’ ai pourtant une hygiène dentaire rigoureuse : après les 3 repas principaux, jet dentaire, fil dentaire, brosse ultra douce à petite tête, dentifrice et bain de bouche parodontax. Mais depuis 2015, les pelades sont récidivantes. Je consulte 2 à 4 fois par an mon dentiste qui désinfecte mes poches et procède à 2 détartrages. Malheureusement, le tartre se re dépose très rapidement. Je fais également des soins avec l’eau oxygénée et le bicarbonate de soude plusieurs fois par semaine lorsque mes gencives sont enflammées et une fois par semaine en entretien. Dernièrement lors d’un salon de bien-être, une représentante de la marque Forever m’a conseillé un dentifrice à l’aloé vera, propolis du nom « Bright », sans fluor. Etant méfiante par nature, pour l’instant, je l’utilise en parallèle avec le Parodontax. Connaissez-vous ce produit ? Est-ce vrai que le fluor est dangereux pour la santé ? Mon dentiste me suit depuis longtemps mais j’ai l’impression qu’il ne peut rien faire de plus. Alors j’ai pris l’initiative de prendre un rdv avec un autre pour avoir un autre avis mais en attendant, aurez-vous des conseils à me donner ? J’ai lu aussi que l’huile essentielle Tea tree (1 goutte sur le dentifrice) était bénéfique pour les gencives, qu’en pensez-vous ? Merci d’avance.
L’aloe vera et le tea tree sont bons pour les parodontites. Mais contrairement à ce que vous croyez, vous n’avez pas une hygiène bien adaptée, puisque le tartre se redépose rapidement. Il fut donc revoir de très près votre hygiène: consultez pour cela un dentiste parodontologiste.
Bonsoir Docteur,
Je viens de faire un détartrage mais j’ai eu l’impression que c’etait assez profond puisque j’ai senti sur certaines dents une douleur comme si le nerf était à vif. J’ai dit au dentiste ça me fait mal parce que j’ai les dents qui se déchaussent. Il m’a répondu vous avez tout compris. Depuis j’ai les gencives (plutôt vers le haut) enflammées et surtout gonflées sur les dents qui se déchaussent. J’ai du mal à mastiquer sur ces dents et c’est douloureux. Cela fait déjà huit jours je n’ai pas beaucoup d’amelioration. Je suis retournée chez le dentiste il m’a dit qu’il fallait attendre la cicatrisation et qu’il avait retiré du vieux vieux tartre. Je n’ai jamais eu aussi mal pour un détartrage. J’ai fait également un scanner et sur les dents douloureuses il n’y a plus d’os. Et Il y a des espaces entre les dents. Je lui ai demandé s’il fallait faire un traitement, il m’a répondu brossez vous les dents avec paradontax et elmex sensitive. J’aimerais savoir si c’est normal d’avoir les gencives enflammés pour un détartrage et combien de temps pour cicatriser ? Je suis une femme de 69 ans.
Avez vous une solution pour retrouver des gencives saines. J’ai peur de perdre mes dents. Peut être devrais je consulter un pardontologiste. Pouvez vous me donner une adresse sur Paris. Merci d’avance de votre réponse.
Cordialement.
Oui il vaut mieux consulter un parodontologiste pour faire un traitement plus approfondi. Il ya beaucoup de parodontologistes à Paris vous n’avez que l’embarras du choix!
Bonsoir Docteur,
Après un détartrage, le dentiste m’a mis sous antibiotique pendant 6 jours et m’a dit de me nettoyer les dents (après brossage du soir) avec un mélange de Bicare + et eau oxygénée.
on doit me poser un implant fin septembre.
Je voudrais savoir si le fait de ne pas me rincer les dents après après passé le mélange de Bicare+ eau oxygénée et sur un temps « illimité » risque d’abimer l’émail?
merci pour vos réponses
Il ne faut pas utiliser la pâte de Keys (c’est comme cela que ça s’appelle) de façon continue, mais par cures de 2 ou 3 semaines, tous les 2 ou 3 mois.
Merci Docteur d’avoir pris la peine de me répondre!
Sur le fait de ne pas se rincer les dents après avoir passé cette pâte de Keys n’aura pas d’incidence sur l’émail?
Non…
Bonjour Docteur, y a-t-il contre-indication à appliquer du gel hyaluronique (hyalugel) quotidiennement et sans arrêt?
Merci
L’acide hyaluronique est un composant normal de la gencive: il n’y a donc aucune contre indication à l’utiliser même en continu.
Merci Docteur. Hyalugel vous semble un bon choix? Peut-il contribuer à redonner un peu de volume aux gencives (les miennes ont un peu reculé suite au détartrage sous-gingival). Merci
Oui, faites des massages avec du hyalugel en repoussant toujours la gencive vers la dent.
Bonjour,
@Damien, j’utilise » hyalugel pour adolescent « (car sans alcool)après les conseils du Dr Hauteville depuis quelques années et je n’ai pas vu d’effets secondaires.
Merci au Dr d’être toujours au rendez vous prêt à répondre à chacune de nos questions, je vous souhaite à vous et à tous ceux qui passent par ici, une très bonne année 2022, surtout une bonne santé, prenez soin de vous!
Merci Docteur.
Bonjour Chantal, merci pour votre témoignage. Sans indiscrétion, pourquoi utilisez-vous Hyalugel et quels effets avez-vous pu observer suite à l’application de ce gel?
Merci et meilleurs vœux pour 2022!
Merci! bonne année à vous tous aussi!
Merci! bonne année à vous tous aussi! et essayez de passer un bon réveillon sans vous contaminer avec cette saloperie de covid…
@Damien,
j’ai deux couronnes sur pivot et elles se trouvent à la place des incisives de la mâchoire supérieure, et vu mon âge (69 ans) je ne veux pas me retrouver avec une partie métallique entre ma gencive et la couronne, pour éviter aussi qu’elle s’amincisse; je prends soin d’elle, après brossage des dents, et passage des brossettes, je me rince avec de la listérine sans alcool, et je masse toujours avec du hyalugel pour adolescent.
Merci chantal.
Bonjour Docteur, que conseillerez-vous aujourd’hui comme compléments en vitamine c1, c2 et B5?
Merci
Je ne connais pas de produit qui englobe ces 3 vitamines
Je prescrivais B1 B6 Bayer, vit B5 bepanthène, vit C UPSA, vit P (C2) citrofavonoïdes
D’accord merci Docteur.
Combien de temps doit durer cette cure? J’ai trouvé UPSA-C en 20 comprimés effervescents. Une cure de 20 jours suffit-elle?
pour traiter quoi?
J’aimerais faire une petite cure de vitamines . Je viens d’être soigné pour une parodontite et je me demande si cela ne peut pas me donner un coup de fouet comme vous le dites. Cependant, entre-temps j’ai constaté que les comprimés UPSA-C sont des médicaments. Ce n’est pas ce que je cherche.
Mangez beaucoup de fruits, surtout des agrumes (pamplemousses) et des baies noires (myrtilles)
D’accord mais à ce sujet, l’acidité des ces fruits n’est elle pas préjudiciable pour les dents? J’ai lu qu’il serait même conseillé de boire son jus d’orange ou citron à la paille.
Est- ce justifié ?
Mangez et buvez comme vous voulez et rincez vous les dent à l’eau claire après
D’accord c’est noté Docteur.
Bonjour Docteur,
Merci infiniment pour votre blog que je lis régulièrement (articles et commentaires). Effectivement, je souffre d’une perte de papille entre les deux incisives centrales. Étant comédienne, cela commence à devenir problématique. Très rapidement, j’ai suivi vos conseils et j’ai pratiqué des massages très réguliers à l’acide hyaluronique. Je crois voir un effet positif (confirmé par mon entourage) mais il reste encore un liseré noir entre les dents (manque de papille que je n’arrive pas à combler avec les massages). Je cherche désespérément un dentiste (parodontiste ou autre) qui pratique les injections d’acide hyaluronique mais en vain (j’ai vraiment pas mal démarché). Est-ce une pratique répandue ? Auriez-vous un contact sur Paris (ou même ailleurs) ?
Je vous remercie d’avance.
Lou
Etant retraité depuis plus de 20 ans j’ai perdu mes contacts qui sont déjà tous partis en retraite aussi. Mais je peux vous conseiller utilement si vous m’envoyez photos et radios sur « dr.h@conseildentaire.com » avec votre question. Il faudrait aussi m’indiquer votre âge.
Bonjour docteur, j’ai des implants en haut et en bas….des fois ça me lance un peu, avez vous une solution pour détendre les implants et la gencive svp., j’ai une prothèse fixe, merci beaucoup, Emilie .
Pour que je puisse vous aider, il faut m’envoyer une radio panoramique de vos dents avec votre question, sur « dr.h@conseildentaire.com »