Article remis à jour le 15/07/2022.
Les triangles noirs entre les dents sont dus aux rétractions des papilles gingivales: quelle sont les solutions esthétiques?
RAPPEL DE L’ANATOMIE DE LA MARGE DES GENCIVES.
CAUSES DE CES TRIANGLES.
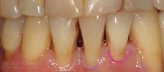
Suite à une maladie parodontale, l’os alvéolaire perd la hauteur autour de la dent. La marge gingivale s’éloigne du collet de la dent, et la papille se rétracte. Un vide se crée alors entre les dents, qui apparaît noir puisqu’il n’est pas éclairé en arrière.
Souvent cela se produit après un traitement parodontal. Nous appelons cela: papilles gingivale rétractées.
On a sauvé les dents, mais le résultat esthétique n’est pas satisfaisant!
Pour les dents du haut c’est très visible, pour les dents du bas, les lèvres cachent parfois les collets, mais certaines personnes les découvrent complètement.
Il arrive même que les patients postillonnent à cause de ces vides entre les dents.
QUELLES SONT LES SOLUTIONS?
– NE RIEN FAIRE:
Si les lèvres cachent, ou si ça ne dérange pas le/LA patient(e). Du point de vue de la santé de la gencive, c’est la meilleurs solution. Les patientes ne sont généralement pas d’accord!!!
Mais il faut bien reconnaître que c’est la meilleure solution!
– COMBLER L’ESPACE LIBRE AVEC DU COMPOSITE:


Lorsque l’espace est réduit comme c’est le cas ici, on peut maquiller, en épaississant, avec du composite. Mais comme on peut le constater à droite la gencive est bien moins saine qu’à gauche, en raison des infiltrations alimentaire en dessous des espaces rétentifs et des difficultés à passer une brossette.

Cette solution est valable à condition que l’espace ne soit pas trop large et que le composite soit taillé de façon à ne pas retenir d’aliment, et que le nettoyage soit possible.
La pérennité est satisfaisante, mais il faut de temps en temps repolir pour éliminer les colorations possibles.
C’est une solution peu chère, mais un peu risquée car l’hygiène devient plus difficile et il préférable d’utiliser un hydropulseur, en plus du fil, et des brossettes.
– POSER UN MASQUE GINGIVAL EN RÉSINE.

A mon avis, c’est une assez bonne solution car on le retire pour le nettoyage et l’hygiène dentaire est facile, et on peut ne pas le porter la nuit pour reposer les gencives.
Cette solution est valable pour les espaces très larges.
L’inconvénient doit être pendant les repas…et de retirer le cache la nuit (?). Mais je pense que c’est la solution la moins chère et la plus sure.
Pour plus de confort et d’esthétique on peut réaliser cette fausse gencive en nylon type Valplast souple.
– LA CHIRURGIE DES GENCIVES:
elle est très limitée et les résultats inconstants, car la gencive ne prend pas sans un support en dessous. La greffe de tissu conjonctif consiste à enfouir donc du tissus conjonctif prélevé sur un site donneur. Le résultat au niveau de la gencive attachée est bon, mais pas toujours au niveau des papilles.
On peut aussi enfouir « en tunnel » des matrices dermiques acellulaires (MDA) que l’on glisse sous les papilles décollées. Cette technique de pointe n’a pas encore fait ses preuves.
Le résultat des greffes n’est pas garanti au niveau de papilles.
Solution chère et résultat incertain… Lorsque ce sera au point ce sera certainement la meilleure solution.
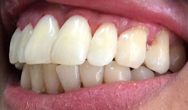
– LES FACETTES.
On colle des facettes en composite, ou mieux , en céramique, après avoir très légèrement taillé les dents.
– Facettes composites sur dents vivantes:

La durée est de 7/8 ans s’il n’y a pas de bruxisme, et pour les refaire cela coûte moins cher car il suffit d’abraser et de remettre une couche de composite.
– Les facettes céramique sur dents vivantes:


Bonne solution, plus durable, mais plus chère.
C’est une bonne solution.
– Les couronnes en céramique sur dents vivantes:

Probablement la meilleure solution mais la plus chère.
Quelle que soit la solution, il ne faut faire ces travaux que sur des patients parfaitement motivés, et ayant une hygiène très sophistiquée.





je recherche une solution a ce problème depuis 2 ans
J’ai donné toutes les réponses que je connais dans l’article.
Je sais et j’ai déjà communiquer avec vous sur ce sujet et bien d autres encore une fois je trouves vraiment bien que vous preniez votre temps pour répondre à toutes les questions peu de personnes le ferai
Bonjour,
Je ne comprends pas très bien la différence entre le composite et la couronne ou la facette : avec le composite il peut y avoir bourrage dentaire mais pas avec les deux autres solutions?
Merci
Le composite est rajouté en plus, sans toucher à la dent, et il y a donc une épaisseur qui fait un rebord rétentif pour les aliments. Pour le facettes on désépaissit l’émail et on pose la facette par dessus, si bien que les rebord est moins rétentif.
Bonjour Dr Hauteville,
Je viens de subir deux resections apicales sur les incisives supérieures couvertes par des inlay-core. L’opération s’est bien déroulée hormis une infection à j7 alors que je venais de terminer un 1er traitement antibiotiques(qui a nécessité de doubler le traitement associé à des corticoides pour l’œdème) . À noter: Il y a eu une déchirure de gencive jusqu’à l’entre-dent mais tout à été recousu et semble rentrer dans l’ordre.
Aujourd’hui, soit 3 semaines post op, il n’y a plus aucune des 3 papilles apparentes autour de ces deux dents. Des fils resorbables avaient été coincés entre ces dents. Ceux qui subsistait ont été retirés par le chirurgien, ce qui m’a bien soulagée des tensions ressenties. Pensez vous que les papilles vont se réformer suite à ce traumatisme ? C’est vraiment laid car on voit beaucoup plus le métal des inlay core maintenant.
J’ai une hygiène rigoureuse et tente d’équilibrer mon alimentation au mieux en augmentant un peu les protéines en ce moment.
Merci de votre réponse,
à 3 semaines il est encore tôt pour se prononcer. Moi pour éviter ce genre de problème j’avais pris l’habitude de ne plus décoller les papilles et de faire un incision plus haut…
Bonsoir Dr Haute ville et merci pour votre réponse. J’ai accepté de me faire soigner dans un service universitaire par un interne en fin d’internat avec un senior accompagnant. J’espère que je ne le regretterai pas.
Ils ont travaillé sous microscope et du matériel de pointe. Ils étaient attentifs et ont sans doute fait de leur mieux. Ils m’ affirment que tout va rentrer dans l’ordre mais au regard de l’aspect de la gencive et de ce que j’ai lu de vous, j’avoue que je suis un peu inquiète. Je vais donc patienter et voir ce qui va arriver.
En principe s’il y avait un enseignant, le mieux possible a été fait. La gencive ça se récupère après.
Bonjour,
Quelle est la différence entre la couronne et la facette? On doit désépaissir l’émail dans les deux cas : cela n’abime t il pas la dent? Combien coût la pose d’un facette ou d’une couronne et combien de temps peut on espérer la garder? Cela se colore t il si on boit du thé mais qu’on se lave les dents comme il faut?
Merci.
La couronne fait tout le tour de la dents, facette ne concerne que la façade. On enlève donc moins d’émail pour la facette que pour la couronne.
Avec les facettes, comme elles sont juste posées sur les dents, il y a toujours un trou dans la face interne de la bouche non ? Combien de temps dure une facette ? Comme vous indiquez que la meilleure des solutions est de ne rien faire, j’hésite BEAUCOUP à sauter le pas. Je ne veux pas abimer mes dents avec des facettes (sans compter le prix) et en même temps, les triangles noirs m’ennuient vraiment…
J’ai donné tous les arguments pour et contre…à vous de faire votre choix, avec les conseils de votre dentiste, qui vous orientera vers la solution qu’il maîtrise le mieux!
Bonjour,
Savez-vous si les techniques de greffes de gencive papillaire ont évoluées/avancées depuis?
Cette technique est celle qui me conviendrait le plus, j’espère que c’est en bonne voie
je pense que la technique actuelle qui marche le mieux est la greffe de tissus conjonctif, nous avions déjà commencé à en faire il y a 20 ans, mais je crois que les techniques ont évolué.
Merci. D’ailleurs, il me semble que cette technique permet aussi d’épaissir les gencives, mais les greffes papillaires donnent-elles aussi les mêmes résultats si ces greffons sont moins épais/désépaissis?
Je demande car je trouve que l’aspect assez épais des gencives qui en résulte parfois est « peu esthétique » (surtout en cas de sourire un peu gingival)
ça doit pouvoir se moduler en fonction de la quantité de conjonctif qu’on met en dessous.
Bonjour docteur,
Que pensez vous du stripping pour les triangles noirs?
Y a t il eu des avancées concernant la greffe pour les triangles noirs? Connaissez vous ou auriez vous la possibilité de vous renseigner sur un bon parodontiste pas loin de caen en Normandie?
Merci.
Cordialement.
Le stripping et un solution qui fait perdre de l’émail: envoyez moi une photo sur » dr.h@conseildentaire.com« . Je ne connais personne en Normandie.
Bonjour Docteur,
J’aimerais savoir si l’injection de gel hyaluronique est efficace dans la restauration des papilles. Je suis tombé sur des lectures d’études pilotes mais aujourd’hui est-ce au point et qui pratique cela? Est-ce cher? Mon parodontologue me dit qu’il n’existe pas de solution pour restaurer les papilles alors que je constate que des solutions existent.
Merci à vous.
Je suis tombé là dessus mais apparemment ce produit n’est pas encore commercialisé. En tout cas je ne trouve rien sur Internet:
https://www.synergiedentaire.com/?p=2859
Je n’ai pas l’expérience de ces nouvelles techniques, mais l’acide hyaluronique n’a pas de contre indications
Bonjour Docteur,
Tout d’abord merci pour cette page car il n’est pas évident de trouver une information claire sur les maladies parodontales.
Je m’intéresse au jour d’aujourd’hui au masques gingivaux dont vous parlez dans cet article, mais je peine à savoir où il est est possible d’en faire faire à ce jour en 2021.
En vous remerciant.
Bien cordialement.
Denise
les dentistes sont tous habilités à le faire mais peut être plus ceux qui annoncent une dentisterie « esthétique ».
Bonjour Docteur, est-ce que le composite peut provoquer une inflammation chronique de la gencive en cas de contact avec cette dernière? (c’est ce que je lis çà et là). Merci.
Oui, c’est possible envoyez moi une photo sur « dr.h@conseildentaire.com ».
Bonjour Docteur,
après un détartrage sous-gingivale suite à une parodontite, pendant combien de temps les gencives peuvent- elles se rétracter? Reprennent-elles leur place juste après ou cela peut prendre plusieurs semaines ou mois? Merci.
Le détartrage ne fait pas se retracter les gencives: c’est le tartre qui les fait rétracter et cela se voit lorsqu’on le retire. La gencive peut remonter après détartrage mais cela dépend de la quantité de tarte qu’il y avait. C’est pour cela qu’on recommande un détartrage tous les 6 mois pour éviter qu’elles ne se rétractent trop de façon irréversible.
Le détartrage ne fait pas se retracter les gencives: c’est le tartre qui les fait se rétracter et cela se voit lorsqu’on le retire. La gencive peut remonter après détartrage mais cela dépend de la quantité de tarte qu’il y avait. C’est pour cela qu’on recommande un détartrage tous les 6 mois pour éviter qu’elles ne se rétractent trop de façon irréversible.
Je me suis ma exprimé, j’ai subit un nettoyage des racines car j’avais des poches. Ensuite, je suppose que la gencive se recolle mais un peu plus bas (ce que m’a expliqué le parodontologue). Ce phénomène de retrait après nettoyage se poursuit longtemps ou est-ce immédiat?
Cela remonte un peu avec le temps, mais il faut quand même faire un détartrage tous le 6 mois…
Un détartrage bisannuel ne fragilise-t-il pas les gencives surtout qu’elles se sont un peu rétractées dans mon cas?
Non! c’est le tartre qui fragilise les gencives…
Bonjour Docteur,
Est ce que les facettes et couronnes peuvent être irritantes pour les gencives? Ces solutions me tentent pour résoudre mes problèmes de triangles noirs mais si c’est pour provoquer de l’inflammation et obtenir l’effet inverse, c’est moins intéressant. Mon dentiste à mis le doigt sur cet aspect. Merci.
C’est possible, mais si vous gardez une hygiène très rigoureuse, c’est peu probavle.
C’est possible, mais si vous gardez une hygiène très rigoureuse, c’est peu probable.
Merci Docteur . Par contre j’ai un peu de mal à comprendre comment la facette peu combler le triangle noir étant donné qu’on retire une petite couche d’émail pour venir ensuite coller la facette. Celle-ci doit alors être légèrement débordante pour combler l’espace?
le rebord de la facette est en biseau
Bonjour Docteur et merci pour tout ces précieux articles.
J’ai été faire un détartrage chez mon dentiste, il m’a effectué un détartrage seullement sur les dents du bas en moins de 2min. Apres être rentré chez moi je remarque que le travail à été trop vite fait et qu’il restait du tartre, j’ai pris un second rendez vous dans la journée afin qu’il enlève le reste.
J’ai l’impression qu’il s’est vengé car il m’a refait le détartrage mais de façon extrêmement douloureuse, de plus il a passé ses outils entre mes papilles interdentaires des canines du bas ce qui fait que oui j’ai les dents désormais très propres mais aussi des trous en forme de vis dans les gencives de mes dents de devant….
Je sais que les gencives ne repoussent pas par miracle mais puis-je espérer un comblement partiel de ces mini trous avec le temps ? J’ai acheté du hyalugel et je me masse les gencives 3 à 4 fois par jours de la base des gencives vers la dent en esperant pouvoir faire un « miracle »….
Merci d’avance
Il n’y aura pas de miracle, ce n’est pas le détartrage qui a créé ces vides, c’est le tartre! Continuez les massages mais nettoyez ces vides avec du fil de soie.
D’accord merci, pensez vous que cela puisse remonter un peu histoire de combler légèrement les trous ?
Oui, ça remontera certainement un petit peu
Merci pour vos réponses docteur cela rassure mon anxiété. Dernière question, en combien de temps puis-je espérer voir ce changement ? Plusieurs mois ?
Personnellement mes triangles noirs n’ont pas beaucoup évolué depuis un an. J’essaie de m’y faire du coup…
Cela n’est pas très rassurant… As tu continué à appliquer du gel religieusement ? As tu envisagé d’autres solutions tel que le composite ?
Bonjour Nhan, oui 2 fois par jour le gel les brossettes le fil dentaire. Je pense pas passer par la case composite qui n’est pas une vraie solution viable. Le problème est que cela me gêne un peu dans ma diction sur certaines lettres mais je commence un peu à m’y faire. J’envisageais les facettes mais abîmer des dents saines est toujours dommage.
Bonjour,
Mon dentiste m’a fait un curetage il y a 4 jours la gencive est un peu remonté, peut-elle redescendre naturellement et peut-on récupérer de l’os naturellement également ?
Merci
La récupération est très minime faites des massages des gencives avec HYALUGEL toujours vers le collet de la dent pour l’aider à revenir.
Bonjour Docteur,
concernant les solutions proposées, vous dites que les couronnes sont la meilleure solution mais plus chère. Sachant que la pose de facettes n’est pas remboursée contrairement aux couronnes, ne vaut-il mieux pas opter directement pour les couronnes?
Concernant l’utilisation du composite, je constate que la procédure semble assez complexe si j’en crois cet article (et les photos assez parlantes).
https://www.information-dentaire.fr/formations/fermeture-de-triangles-noirs-par-rsine-composite-en-technique-directe/
Si c’est bien fait, cela devient une bonne solution non?
Oui c’est une technique peu invasive peu mutilante et pas trop chère.
Bonjour,
Merci pour votre réponse,
Je remarque aussi avec un miroir qu’il y a des marques noires entre les dents et au sommet de celles-ci côté palet, malgré le surfaçage. Est-ce du tartre ? Est-ce que ça peut nuire aux bénéfices du surfaçage ?
Envoyez moi des photos sur « dr.h@conseildentaire.com » avec votre question.
Bonjour Docteur, étant donné que suite à une parodontite, il manque de l’os et de la gencive, les dents sont-elles du coup moins bien ancrées dans la mâchoire et risquent-elles avec l’âge de finir par bouger? (même si la parodontite est stabilisée). Merci.
Si la parodontite est stabilisée et que les dents ne bougent, les choses devraient rester comme elles sont, voire même se consolider.
Merci Docteur, vous me rassurez.