Home QUESTIONS ET REPONSES Différence entre abcès et fistule.

Différence entre abcès et fistule.

16645
25
SHARE

Article remis à jour le 26/07/2020.

Question du jour: »différence entre fistule dentaire et abcès ».
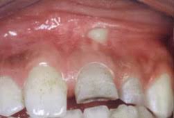
Réponse : la fistule est la conséquence d’une infection. L’abcès est une infection.
Un abcès est une infection aiguë, un kyste est une infection chronique, et tous les deux peuvent se percer et donner une fistule qui est la soupape d’écoulement d’un liquide.

Fistule.
Abcès (sop).

 

SHARE
Previous articleHistologie de la gencive.
Next articleLes écarteurs et ouvre-bouches en chirurgie buccale.
Albert HAUTEVILLE Né le 17 Octobre 1935 au Caire en Egypte. - 1949/1955 Etudes de la 4ième à la terminale au LYCEE BUFFON PARIS. - Baccalauréat 1ière Série Moderne M’. - Terminale Sciences Expérimentales. - 1955 PCB 4Certificats : Physique, Chimie, Biologie animale et Biologie végétale. - 1960 DIPLOME CHIRURGIEN DENTISTE Faculté de médecine de Paris + cursus libre Externat Médecine 2 ans. - 1960 à 1962 Service militaire : Ecole d’Officiers de Reserve et Exercice professionnel hospitalier (Hôpital Hyacinthe Vincent à Dijon) - 1960 Exercice privé à Dugny - 1964 à 1981 Exercice privé à Tremblay en France - 1966 à 1973 Attaché de consultation Hôpital Ste. Anne à Paris - 1966 à 1976 Formation en Sophrologie - 1967 Diplôme Implants Aiguilles - 1969 Certificat d’Enseignement Supérieur en Parodontologie - 1973 Création d’un Service de Parodontologie à l’Institut Eastman à Paris - 1973 à 1983 Formation en Occlusodontie en particulier avec les professeurs JANKELSON et RAMFJORD - 1974 Doctorat en Chirurgie Dentaire - 1974 Doctorat en Sciences Odontologiques - 1975 Nommé Expert auprès de la Sécurité Sociale - 1976 à 1984 Assistant à la Faculté de Paris V René Descartes Odontologiste Assistant des Hôpitaux de Paris - 1976 Chargé de cours au Diplôme Universitaire d’Implantologie Paris V - 1978 Diplôme Universitaire en Chirurgie Buccale Paris V - 1979 Diplôme d’Etudes et de Recherches en Odontologie, Paris V - 1981 Exercice en Cabinet privé à Paris 17ième - 1983 Publication du livre Manuel de Chirurgie Buccale Ed. Prélat - 1994 Exercice en Cabinet privé à Paris 8ième - 1996 Diplôme Universitaire Parodontologie Paris VII - 2001 Départ à la retraite - 2011 Création du blog Conseil Dentaire Dr. Hauteville 5.000 pages lues par jour avec un maximum à 7.000 Publication du Dictionnaire Lexique Dentaire Illustré Publication de Petit Atlas d’Anatomie Dentaire Publication du Petit Atlas de Dermatologie Buccale - 2019 Auteur du Etude sur la vie du Prophète Moïse intitulée Moïse et Toutankhamon. A fait 18 ans de psychanalyse personnelle et des formations en hypnose, sophrologie, training autogène, Gestalt-thérapie, bio-energie, sexologie, et dynamique de groupe. Son fils Jean Philippe Hauteville, Prothésiste Conseil, apporte sa collaboration à la réalisation de ce blog, au niveau de tout ce qui concerne la prothèse dentaire. Le Dr. Hauteville, retraité depuis 2001 souhaite mettre ses connaissances et son expérience à la disposition de tous ceux qui le désirent, professionnels ou grand public, et répondre aux questions que voudront poser les lecteurs directement sur le blog. Publier des articles, regroupant les réponses aux interrogations des patients durant 40 ans, et des cours pour les étudiants en odontologie rendus accessibles à tous.

25 COMMENTS

  1. je voudrais savoir le traitement de la fistulisation d’une infection dentaire dans la joue. dans les différents stade de l’infection . merci d’avance

    • La fistule est toujours en relation avec une infection dentaire. La première des choses est de définir quelle est la dent en cause (ce n’est pas toujours évident). Voir: ICI. Ensuite il faut traiter la dent causale. Si le traitement n’est pas possible, il faut l’extraire.

  2. Bonjour Dr. Albert Hauteville,

    Au mois d’avril 2014, on m’a posé un bridge sur la mâchoire supérieure de 9 dents,toutes les dents ont été dévitalisées sauf une car le canal était trop étroit , depuis 5 jours j’ai une fistule (enfin je crois) petit bouton rouge avec écoulement a la pression ,non douloureux sur la gencive supérieure au niveau du frein,et presque au même niveau au palais se trouve un bouton rouge non purulent mais douloureux, qu’en pensez vous,je suis très anxieuse car appréhende de falloir enlever le bridge,merci pour vos réponses cordialement.

  3. bjr voila jai un abces dentaire avec bouton blanc je suis sous antibio je dort pu depuis 3 jour je mange peu et ce matin je me suis lever avec des nauses et mal a la tete mais je c pa si c du a l abces ou parce ke je mange pe ke dois je faire jai rdv que le 28janvier au dentiste

  4. Bonjour docteur Hauteville

    J’attends avec impatience, si vous en avez le temps, un article sur la façon dont on soigne les abcès dentaires.
    J’ai un abcès sous une dent couronnée (il ne me fait pas souffrir et a été détecté par une radio). J’ai consulté deux dentistes qui m’ont dit ne pas pouvoir intervenir, en raison des risques. L’un d’eux m’a dit que seul un endodontiste pouvait éventuellement soigner l’abcès. J’ai donc consulté un endodontiste (sachant que la consultation et les soins ne sont pas remboursés). Celui-ci m’a expliqué que les risques de fracture à la fois des racines de la dent, mais aussi des dents voisines étaient trop grands. Il m’a donc conseillé d’attendre. Selon lui, toute la mâchoire risquerait d’en prendre un coup. Cela fait plus d’un an. Je suis un peu perdue. Avez-vous connu ce cas de figure ? Merci.

    • sur « DR.H@conseildentaire.com » . Les radiographies et les photos numérisées peuvent être copiées sur clef USB et envoyées directement , sinon pour les scanners trop lourds faites des captures d’écran des clichés intéressants. Les radiographies panoramiques et scanners sur support argentique, doivent être photographiées au plus près possible, en les fixant sur une vitre bien éclairée, et en interposant un papier calque derrière: orientées de telle sorte que l’écriture soit à l’endroit, et horizontales, lettre D ou R à gauche, G ou L à droite et envoyées en format jpeg en pièces jointes. Il est indispensable que les radios et photos soient nettes. Renvoyez moi vos questions résumées et formulées clairement en même temps pour que je sache de quoi il s’agit.

  5. Bonjour, hier je suis allée chez en urgences dentaire car j’avais un abcès sur la gencive au dessus de l’incisive latéral gauche qui se déchausse car j’ai une parodontie. La dentiste m’a fait un drainage de l’abcès . Elle m’a prescrit du spiramycine/ Metronidazole 250 mg 3 comprimés par jour pendant 7 jours. Etant très anxieuse au vu des effets secondaires de cet antibiotique je lui ai demandé si je pouvais éviter de les prendre et faire seulement des bains de bouche bicarbonate + eau oxygénée 10% elle m’a dit que oui. Pouvez-vous me confirmer que je ne prends pas de risques en ne prenant pas les antibiotiques sachant que mon prochain rendez-vous et le 11 janvier. Ce matin un peu de pu en me nettoyant les dents mais je fais bien attention à bien me rincer et faire bain de bouche. Merci d’avance pour votre réponse.

  6. Bonjour, merci pour votre réponse. J’ai 46 ans et j’ai une parodontite de stade 3 et de grade B généralisée. Alvéolyses angulaire au niveau des 11,13,14,21,33,et 43. ( Je vais avoir bientôt un traitement qui va se faire en 5 phases, afin d’éviter que ma parodontite ne s’aggrave.)Sinon en terme de pathologie je fais de l’asthme et apnée du sommeil. Je n’ai pris les antibiotiques , je continue mes bains de bouches, l’abcès ne me fait plus mal mais toujours un peu de pu qui s’écoule quand j’appuie un peu dessus au niveau de l’incision dû au drainage, mais je me brosse les dents avec parodontax et continue bain de bouche bicarbonate et eau oxygénée . J’ai rendez-vous le 11 janvier pour l’empreinte de ma dent et le 14 pour l’extraction sachant qu’il est fort probable que je perde ma dent lors de l’empreinte car elle tient à pas grand chose. J’espère juste que je ne prend pas de risque pour ma santé de ne pas avoir voulu prendre l’antibiotique spiramycine/ métronidazole. Je n’ai pas la radio faite le jour de mon drainage de l’abcès mais si elle ne pas fait l’extraction de mon incisive ce jours là je suppose que l’infection était bien ciblée au niveau de ma gencive.

    • Votre dentiste connais votre état dentaire et a vu votre radio, du moment qu’elle vous dit que vous pouvez ne pas prendre d’antibiotique et que vous ne souhaitez pas en prendre, n’en prenez pas. Mais moi sans rien voir je ne peux pas vous le dire.

  7. Bon jour Docteur

    J’avais une boule sur la gencive en haut vers l’incisive laterale(mais tout en haut de la gencive sous le nez)
    Après un scanner on m’a dit que c’était un kyste apical. (pour l’instant je n’ai vu que l’interne du service maxillo facial. Je doit faire un panoramique dentaire et voir le chirurgien maxillo facial le 30 mai pour qu’il m’explique les solutions et surtout l’opération pour l’enlever. Sauf qu’hier un bouton blanc est apparu sur le kyste et aujourd’hui du pus est sorti ainsi qu’un peu de sang faisant réduire énormément la taille du kyste. J’ai fait des bain de bouche eludril. Question dois je contacter l’hôpital (ou est le chirurgien que je dois voir fin mai) ou est ce que ça peut attendre fin mai ?

    Merci d’avance

  8. Bonjour Dr ,j’ai eu une extraction il y a 3 mois,une premolaire du bas,elle etait un peu mobile et plus vitale,.depuis hier,un petit point blanc sur la gencive,j’ai appuyé avec un coton tige,du pus bien blanc,idem aujourd hui.mon dentiste est en vacances,dois je me couvrir avec des antibio jusqu’a son rerour ou cet abcès peut se drainer seul et l infection disparaitre ?pas de douleur,le point blanc est sur le dessus de la gencive.merci d’avance.

  9. Bonjours , ma dent de devant et mal placé ce que je pense entraîne une inflammation parfois au niveau du palais du sang ce stock et me fais mal et ça ce vide en quelque jours mais ce n’est uniquement que du sang pas de pue. Faudra t il enlever ma dent mal placé ??

LEAVE A REPLY