Article remis à jour le 31/01/2018.
Plus personne ne pourrait envisager une spécialité médicale quelle qu’elle soit sans pouvoir disposer d’une imagerie médicale pour établir un diagnostic.
Un appareil de radiographie est un générateur de
rayons X. Les rayons X ont la propriété de traverser les tissus mous et de ne pas traverser les tissus calcifiés. A l’origine on projetait l’image sur un écran ou on voyait les os en noir et le tissus non calcifiés en blanc. C’était la radioscopie qui avait l’inconvénient de soumettre à de trop fortes doses de rayons X. Puis on s’est aperçu que les rayons X impressionnaient la pellicule photographique à base de sels d’argent. On a donc maintenant des négatifs qui montrent les tissus calcifiés en blanc et les tissus non calcifiés en noir. On dit maintenant pour qu’il n’y ait pas de confusion « radio-transparent » ou « radio-clair » pour les tissus qui laissent passer les rayons et « radio-opaque » pour ceux qui ne les laissent pas passer. Une déminéralisation est radio-transparente, par exemple une carie ou une cavité osseuse.
Un artefact est une image parasite sur un cliché radiologique.
La radiographie, la tomographie (panoramique) et la tomodensitométrie (scanner) sont couramment utilisés en odontologie. Les échographies (ultrasons), thermographies, et images par résonance magnétique (IRM) n’ont que peu d’applications dans notre spécialité.

La quasi totalité des images radiographiques à l’heure actuelle sont numérisées et certaines sont tirées sur support argentique, d’autres sont tout simplement imprimées sur papier. Elles sont archivées numérisées dans votre dossier chez votre praticien, mais vous pouvez toujours demander un tirage papier ou une copie sur CD ou clef USB. Les radiographies sont votre propriété du moment que vous les avez payées (même en tiers payant): on ne peut pas refuser de vous les donner.
Le cliché le plus utilisé est le cliché rétro-alvéolaire d’un format généralement de 33mm x 45mm ou de 25mm x 40mm pour les enfants ou pour les personnes qui ont des nausées et ne supportent pas la présence du film en bouche. Le film, ou plus souvent maintenant le capteur RVG (radio visio-graphie), est placé en lingual* de la dent ou du groupe de dents à radiographier, on dit « palatin* » pour les dents du haut. L’axe principal du cône du générateur de rayons X doit être le plus proche de 90° avec la bissectrice de l’angle formé par l’axe principal de la dent et le film.

Il existe maintenant des « films numériques » (DIGORA), sans fil, réutilisables dans des étuis jetables et lu par un lecteur numérique.



La plupart des cabinets disposent maintenant d’appareils performants » demi-long cône », et les spécialistes ont des « long-cônes » qui donnent une image sans aucune déformation.

La taille réelle des clichés rétro-alvéolaires ci-dessus est plus petite (33×45).
Les bilans « long-cône » se font soit dans les cabinets équipés pour ce type de radios ou dans des cabinets de radiologie. Le bilan complet est généralement constitué de 14 clichés rétro-alvéolaires, 7 pour le haut et 7 pour le bas. Ils sont montés côte à côte sur un même support en carton noir fenestré dans leur position anatomique.
Le praticien peut aussi faire des clichés occlusaux de divers formats, comme ceux au bas des images ci-dessus. Le film est placé horizontalement entre les dents serrées sans pression pour ne pas déformer le cliché. Le cône du générateur est placé verticalement au sommet du crâne pour le haut et verticalement sous la mandibule pour le bas. On peut soit centrer le cliché soit le latéraliser à droite ou à gauche.
Une technique intéressante pour le diagnostic des caries se fait grâce à un film ou un capteur, muni d’une ailette sur laquelle le patient mord (« bite-wing ») et donne un cliché « retro-coronaire »sur lequel on voit la partie coronaire des dents supérieures et inférieures, et on peut voir jusqu’à 10 dents en un seul cliché..

Les radiographies panoramiques (ortho-pantomogrammes), donnent un bonne vue d’ensemble sur toutes les dents et les germes mais sont un peu floues au niveau des détails et de la structure osseuse.

Les téléradiographies sont très utilisées en orthodontie car en dimensions réelles

Elles permettent de tracer sur un papier calque superposé les principaux points de céphalométrie, de les unir par des lignes et ensuite de calculer certains angles qui vont permettre de faire un diagnostic en comparaison avec des normes considérées comme normales suivant les ethnies.
Les tomodensitogrammes (scanners) donnent des coupes horizontales, frontales, ou sagittalesde millimètre en millimètre. Elles sont indispensables pour avoir des informations tridimensionnelle avant la pose d’implants.

Notons sur le scanner ci-dessus la précision de la reproduction des fosses nasales avec le détail des cornets.
Ces dernières années, après mon départ en retraite sont apparus de nouvelles techniques de radiographie comme le « cone-beam »et le « 3 D » qui sont dérivées du scanner, en simplifiant la procédure.
L’injection de produit de contraste radio-opaque permet de voir les canaux des glandes salivaires et éventuellement de mettre en évidence la présence de calculs salivaires. Cela s’appelle: sialographie.

En ce qui concerne les tissu mous, la xérographie apporte des informations intéressantes :
ici on voit après un accident de voiture un éclat de pare-brise sous le nez.

Depuis quelques années sont apparu de nouvelles technologies, comme le scanora, ou le cone-beam, qui sont dérivées du scanner.
Actuellement, pour des radiographies en cabinet dentaire l’exposition aux rayon X est pratiquement négligeable. Pour les examens qui durent longtemps, ou pour les femmes enceintes, on utilise par précaution un tablier de protection contre les rayons X.

Pour m’envoyer vos radios ne les pas scannez les radios sur imprimante. Les radiographies et les photos numérisées peuvent être copiées sur clef USB et envoyées directement , sinon pour les scanners trop lourds faites des captures d’écran des clichés intéressants. Les radiographies panoramiques et scanners sur support argentique, doivent être photographiées au plus près possible, en les fixant sur une vitre bien éclairée, et en interposant un papier calque derrière: orientées de telle sorte que l’écriture soit à l’endroit, et horizontales, lettre D ou R à gauche, G ou L à droite et envoyées en format jpeg en pièces jointes. Il est indispensable que les radios et photos soient nettes ( pas de tirages papier). Renvoyez moi vos questions résumées et formulées clairement en même temps pour que je sache de quoi il s’agit.


I really prize your work , Great post.
We will have a link exchange agreement among us!
I just want to mention I’m very new to weblog and certainly liked you’re web blog. More than likely I’m going to bookmark your blog post . You certainly have fantastic posts. Cheers for sharing with us your web page.
Great post, I conceive blog owners should acquire a good deal from this internet weblog its real user pleasant.
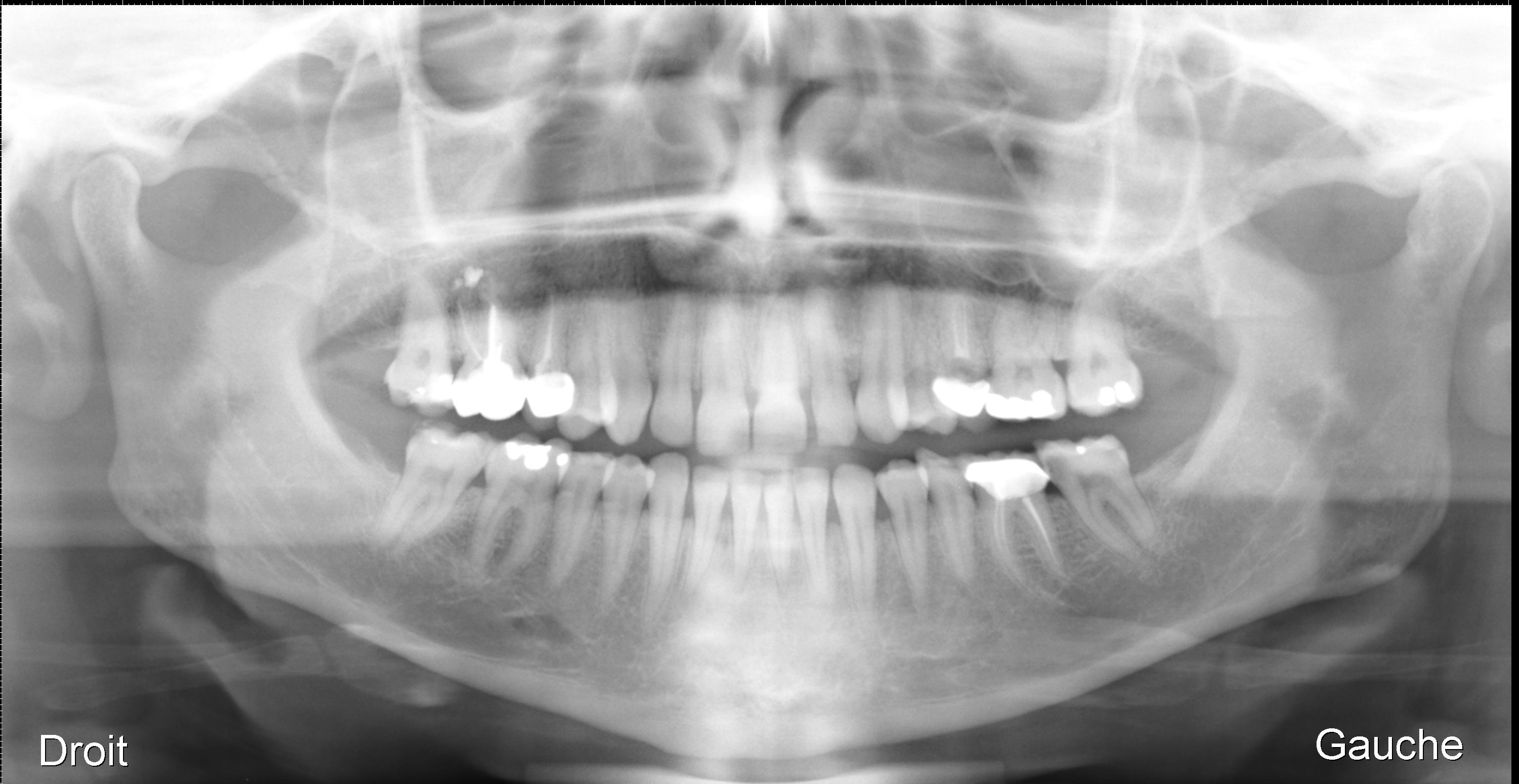
sur la panoramique on peut détecter :
1- abcès péri apical.
2- cellulite.
3-l’âge dentaire.
4-sinusite.
5- fracture sous condylien.
quelles sont les réponses juste docteur? Merci
un abcès et une cellulite ne se voient pas à la radio ce sont des tissus mous; on peut voir une ostéite, ou un granulome ou un kyste qui peuvent accompagner au niveau osseux
On peut avoir une idée de l’age dentaire par le stade d’évolution des germes des dents
Une sinusite peut se voir s’il y a une différence d’opacité des sinus; si elle est bilatérale c’est plus difficile.
les fractures sous condyliennes et mandibulaires se voient.
Quand il s’agit de ma spécialité, c’est facile de répondre!!!l’anatomie aussi!
Merci infiniment docteur, je vois plus claire !!!
quand on voit un granulome avec les teste de l’examen clinique on confirme que c’est un abcès c’est bien ça?
Je crois que vous n’avez pas bien compris vos cours de Pathologie. Le kyste et le granulome sont des infections chroniques circonscrites (fermées)qui peuvent passer inaperçues. On s’en aperçoit généralement quand ils se surinfectent et deviennent un abcès ou un phlegmon ou un phlegmon diffus qui sont des infections aiguës. Les infection aiguë peuvent aussi démarrer d’emblée sans passer par un stade chronique. Tous ce qui est réaction des tissus mous, ne se voit pas radiologiquement. Tout ce qui est osseux se voit à la radio: infections circonscrites (granulome et kyste) infection diffuse (foyer d’ostéite). Faites bien attention à ça c’est très important; Lisez: ICI , ICI , ICI
Je le répète un granulome n’est pas un abcès!!!
J’ai toujours cru que c’est l’abcès qui évolue en cellulite, et qd je vois une radioclarté avec une sensibilité a la percussion je pense toujours réaction apical et donc abcés
Le premier stade de la cellulite est la cellulite séreuse, qui évolue en cellulite suppurée (qui est l’abcès). L »infection peut démarrer d’emblée en forme aiguë qui est la cellulite, ou bien la cellulite peut se mettre sur une infection chronique (granulome ou kyste).
La radio clarté peut être diffuse(ostéite) ou bien délimitée (granulome ou kyste)
Bonjour docteur je vous ai envoyer en PV ma radio panoramique je voulais savoir si vous avez s il vous plait remarquer des choses car je souffre de plus en plus de ganglions dans la gorge mon dr dit que c pas grave mais moi ça me gêne enormement
Merci d avance dr
répondu par mail
Bonjour docteur. je suis agee de 33ans et sans ATCD pathologiques particuliers. medecin generaliste de formation. J’espere trouver aupres de vous une solution ou du moin une reponse à mon probleme.
j’ai eu en mars 2014 un traitement de la 46 avec devitalisation qui a ete plutot laborieuse( canal etroit selon ma dentiste) apres traitement on voyer sur la RX un depassement de pate ma dentiste me dit que c biocompatible et que ca se resorbera avec le temps.
Ma 46 reste douloureuse pendant 2 semaines; douleur surtout a la percussion de la dent.apres quoi tout est rentre dans l’ordre hormis des douleurs parfois quand j’appuis dessus.
Depuis decembre 2014 les douleurs ont repris le soir.douleur continue d’intensité moderee. mais je ne suis toujours pas retourne voir ma dentiste (pas le temps!!!)
jusqu’au dimanche 22/02/2015 ou j’ai commence à avoir des paresthesies au niveau de la joue droite( pas au niveau des levres) à type de cuisson parfois fourmillement, sensation d’endormissement de la joue….
Elle me refait une RX et me dit que c’est probablement du au contact de la pate avec le nerf .me met sous AINS!!!! et vit B1B6. je prend les vitamines mais pas les AINS….je ne vois aucun interet à masquer les symptomes et pense que ca pourais meme aggraver mon cas.
Je vous prie donc de bien vouloir m’eclaire sur ce probleme et me dire quelle aurait ete votre conduite à tenir fasse à un tel cas
Je vous remerci infiniement.
AINS, je n’en vois pas l’intérêt dans la mesure où la douleur est supportable. Pour la vitamine B1B6 c’est moi qui l »ai remise au goût du jour sur internet car elle avait été un peu oubliée ( nous prescrivions B1B6B12). A tous hasards envoyez moi votre radio sur « DR.H@conseildentaire.com ». Bien confraternellement.
Bonjour docteur.
Tout dabord merci de m’avoir repondu aussi rapidement.
Pour les AINS je vois que nous sommes tout deux daccord. Je prend de la vit B1B6 depuis 3 jours…..mes paresthesies ont totalement disparu, la douleur à la percussion de la 46 persiste.
Pour la RX j’ai rendez vous ce mardi pour une RVG.Je vous l’envoi des que possible.
Parcontre vous ne me dites pas ce que vous pensez de tout cela à moins que vous ne puissiez vous prononcer avant d’avoir vu les cliches.
Merci docteur et à tres bientot.
Bonsoir docteur.
Je vous ai envoyé sur votre boite mail ma panoramique ainsi que mon RVG.
Bonjour Docteur je veut savoir la methode que je doit utiliser pour prendre une retroalvéolaire pour PM 2 canaux (dessociation des canaux et quelle incidence) afin de determiner la langueur de travail pour faire un TRT endo
L’angle reste le même, mais il faut avancer ou reculer le tube en déviant le cône dans le sens antéropostérieur
Merci Docteur
Bonjour,
Toujours aussi intéressant votre blog.
Puisque vous parlez de l imagerie médicale pour établir un diagnostic, je me demande comment lors d’un bilan dentaire, un dentiste ne fait faire des radios sans forcément faire une radio panoramique.
En effet, à titre personnel, j’ai fait un bilan dentaire enfin un bilan, un contrôle vu ce que le praticien a fait.
Il s’est révélé normal, RAS.
Après avoir demandé des radios pour contrôler tout de même plus avant, il découvrit deux problèmes.
D’où cette réflexion, comment peut-on faire un bilan et/ou un diagnostique sur la dentition d’un patient sans avoir recours à cette technique ?
Il semble en effet qu’il existe des problèmes dentaires que le praticien peut ne pas voir comme des caries par exemples ou autres.
Alors j’ai été très surprise de la rapidité du contrôle de cette personne et heureusement que j’ai demandé ces examens qui m’ont permis de faire faire les soins appropriés.
Moralité, j’ai failli sortir du cabinet en pensant que tout allait bien alors que j’avais besoin de soins. J’imagine si je n’étais pas allée le revoir avant un an voire plus….
Ce n’est pas une critique d’une profession mais une interrogation concernant l’utilité de cette technique dans le cadre de l’exercice de cette profession.
Amicalement
comme je l’ai expliqué dans cet articles il y a divers types de clichés qui peuvent être fait au cabinet et qui donnent déjà une très bonne approche des problèmes dentaires. Ces clichés peuvent inciter à demander d’autres cliché chez un radiologue et si vous voyez votre dentiste 2 fois par an, vous ne risquez pas de grosse catastrophe.
Je pense que je me suis mal exprimé.
Peut il y avoir un réel contrôle voire bilan sans radio ?
Que pense l’ancien professeur d’un praticien qui lors d’un contrôle voire bilan dentaire ne fait pas une série de radio classique pour détecter des problèmes non visibles ?
comme je le disais, il existe des petits clichés ‘bite-wing » spéciaux pour les controles. C’est au dentiste, s’il a un doute, de les faire. Sinon il n’est pas nécessaire de les faire tous les ans. Mais il faut aussi de temps en temps faire une radio panoramique pour avoir une vue d’ensemble.
L’objectif que je me suis fixé dans ce blog, n’est pas de juger les dentistes, mais d’informer les patients, pour que eux puissent les juger et faire leur choix.
Nous sommes d’accord. Ma question n’a pas pour objet de juger un médecin mais de savoir quelle conduite je dois avoir vis à vis d’un médecin en tant que patient :-p dans le cadre indiqué précédemment.
Bonne continuation à votre blog et à votre travail d’information et de sensibilisation indispensable.
Etonnant que vous ne soyez pas plus soutenu dans votre démarche.
mes 5000 lecteurs par jour me soutiennent!!!
bonjour docteur
j’avais une question svp.
Est ce qu’une radio rétro alvéolaire est plus précise qu’une panoramique dentaire pour voir une carie?
car j’ai consulté un dentiste avec une panoramique que j’avais fais en centre de radiologie.
Il a fait d’autres clichés rétro alvéolaire et me dit qu’il a trouvé des caries… (non visible sur la panoramique selon lui ).
Il a traité la carie mais depuis j’ai mal à cette dent alors qu’avant les soins je n’avais aucune gène…
il m’a dit que la carie était grosse. ( si elle était grosse , normalement je pense que ça aurait été visible sur une panorano quand meme? )
Je me pose la question de l’honnêteté de ce dentiste…
merci
Les radios rétroalvéolaires sont beaucoup mieux adaptées que les panoramique pour la detection des caries.
Bonjour Docteur,
Lors de la mise en position de l’appareil de radiologie, celui-ci (plus précisément l’extrémité du cylindre) a été accidentellement en contact avec la peu de ma joue.
Qu’en pensez-vous?
Merci par avance pour votre réponse.
Il doit être en contact et cela n’a aucune importance il n’est pas empoisonné
Bsr dr, je voulai savoir si on peut avoir la longueur de travail sur un ecran après un radi numerique lors d’un trt endo. Ps je n’en ai jamais utilisé. Merci
Je n’ai pas bien compris la question: vous voulez connaitre la longueur du canal jusqu’à l’apex?
Si c’est ça, il vaut mieux avoir un localisateur d’apex, mais vous pouvez aussi faire une radio broches en place.
merci bien pour toutes ces informations
Bonjour Monsieur
Mon fils de 10 ans suite à un accident dentaire doit faire une radio de sa dent tous les mois pour suivre l évolution. Est ce dangereux qu il reçoive si souvent des rayons X? Qu en pensez vous ?
En même temps, nous n avons pas trop le choix mais je ne voudrais pas qu il développe un cancer du cerveau plus tard à cause de ça.
Merci pour votre avis
Cordialement
Bonjour Docteur,
Hier, je me suis rendue à ma séance, au dentiste pour retraiter des racines de deux dents, je suis restée une heure sur le fauteuil…. j’ai été un peu apeurée, car le dentiste a du utiliser une bonne demi-douzaine de fois son appareil pour faire des radios, et je me suis dit hé ben je suis bien irradiée… je comprends bien que ce soit la meilleure façon pour lui de diriger et contrôler son travail, surtout pour retraiter des racines, mais ça m’empêche que ça m’a un peu inquiétée.
D’autre part, il a réussi pour une dent à traîter et combler, mais l’autre dent il n’a pas trouvé les racines, et de plus, le processus carieux a abimé la dent déjà dévitalisée à une époque bien reculée…. Bref, comme il m’a dit une chance sur deux…. j’imagine qu’une extraction pointe son nez.
Je me suis aperçue déjà depuis hier en fin d’après-midi, que ma joue était un peu douloureuse et légèrement gonflée (je le ressens plus que je ne le vois), d’autre part je souffre d’un Gougerot Sjogren. Dès que la séance est un peu longue et laborieuse, j’ai une réaction des tissus.
Voilà, ma question concernait surtout les radios, et leur grande fréquence, présentent-elles un risque ?
Merci et bonne journée
Les radios actuelles sont numérisée ce qui raccourcit énormément les temps d’exposition, de plus les appareils dentaire sont très bien protégés et focalisés sur un champ très étroit
Merci Docteur pour votre réponse.
Je vous ai dit que j’avais le joue gonflée suite au travail du dentiste hier, il faut dire que je suis restée une heure sur le fauteuil, et je suis plutôt fragile au niveau muqueuses. Le fait d’avoir retraiter ses « vielles racines » a-t-elle pu me traumatiser la joue ? d’ailleurs en passant la langue c’est bien la joue qui me fait mal, comme si j’avais reçu un coup, et ma fille voit que je suis légèrement gonflée.
De plus, je vous avais demandé si la dent pour laquelle on ne retrouve pas les racines, est définitivement perdue ? rien à faire ? extraction en vue ?
Merci pour vos réponses
Les écarteurs traumatisent parfois la joue. Pour la dent, il faut m’envoyer une radio sur « dr.h@conseildentaire.com » avec votre question…
Oui, en plus sur la durée…. et puis avec Gougerot-Sjögren…
Pour la radio, hélas aucun dentiste ne vous remet les radios, qu’ils gardent dans leur ordinateur, et comme ils n’ont absolument pas le temps de s’occuper de vos préoccupations, vu qu’ils sont surbookés en permanence….en plus leur demander, voudrait dire pour eux, que soit on n’a pas confiance en eux, soit vous voulez voir ailleurs…. donc pas de radio. Mais je peux toujours négocier encore avec lui, mardi prochain, mais hier il n’était guère bavard, du début à la fin…
Ou encore meilleure idée allez voir la secrétaire cette semaine, pour demander….
Bonsoir,
Ce soir, la joue en regard des soins de retraitement de racines, est gonflée, à présent vers le bas, me donnant l’air d’un hamster…. alors que les soins ont été faits hier dans l’après-midi sur des dents du maxillaire supérieur, dents 14 et 15…
Je sentais bien comme une lourdeur venant de la joue, mais là après m’être démaquillée, je vois les dégâts…
et surtout je ne comprends pas ce qui se passe. On dirait qu’il y a eu un problème lors de la séance d’hier avec la joue en regard de ses dents, et puis maintenant on a l’impression que l’œdème descend, un mélange de hamster et d’oreillons.
Suis inquiète.
Merci pour votre réponse
Prenez contact avec votre praticien
Contact pris, j’étais déjà étonnée que leur ligne soit sur répondeur ce matin, je laisse un message… pas de réponse… je me prépare donc à y aller directement, au moment où je me gare sur leur parking, un coup de fil de la secrétaire, qui me dit qu’exceptionnellement aujourd’hui le cabinet est fermé ?? elle peut me donner un RV demain en matinée… et si j’ai trop mal voir un généraliste, sauf que nous sommes dans la période des vacances (période critique pour une personne souffrante) et que mon médecin ne revient que le 19 août… de plus je n’ai pas mal, juste une joue gonflée…
à se demander si les traumatismes des soins n’ont pas déclenchés une crise de Gougerot à type parotidite ou je ne sais quoi encore….
J’ai l’impression toujours d’avoir du courage de retourner au dentiste, de prendre toujours sur moi pour me soigner et ne pas rester avec des morceaux de dents déjà soignés au demeurant il y a plusieurs années en arrière (moi qui ai passé beaucoup d’heures au dentiste y a pas à dire) et j’ai malgré tout toujours des ennuis… et puis c’est terrible de savoir que certains dentistes consciencieux repassent après d’autres beaucoup moins, et on voit ensuite le résultat…
Ma fille a regardé dans ma bouche le site des racines retraitées est propre, pas de gonflement, c’est la joue en regard qui est gonflée….
Désolée de vous en rajouter une couche, car vous n’avez pas encore eu le temps de me répondre, mais lorsque les soins ont commencé avant-hier dans l’après-midi, avant l’anesthésie le dentiste avait mis une compresse probablement de produit afin que je ne sente pas les deux piqûres d’anesthésie.
Lorsque j’ai pu enfin, me rincer au bout d’une heure de soins, j’ai senti au contact de l’eau une brûlure à la gencive et à la joue ????
L’anesthésie n’aurait-elle pas joué un rôle délétère dans le problème qui me préoccupe, car pratiquement tout de suite j’ai senti que la joue était bizarre, le lendemain c’était carrément visible, ma fille me faisant la réflexion, « ta joue est gonflée »… Aujourd’hui évidemment, et maintenant (vu l’effet de la gravitation) l’œdème descend
Curieux phénomène en effet.
Excusez moi, j’ai confondu avec une autre personne: il peut arriver une petite inflammation transitoire après des soins. Si cela persiste voyez un praticien ou un service d’urgence.
Bonjour,
J’ai fait un long message, mais hélas je crois que ça n’a pas fonctionné, car il n’apparaît pas.
Hélas, moi aussi j’ai cru à une petite inflammation, mais ce n’est pas ça, car j’ai vu mon dentiste hier, et lui m’a dit tout de suite « je sais ce que vous avez hélas », ce n’est pas la joue le problème, c’est la gencive, vous avez un petit abcès… vu que j’ai passé avec mes instruments, j’ai disséminé les bactéries dans le site », cette dent mal dévitalisée depuis des années en arrière, était cassée, il a voulu la sauver, mais hélas un échec…. donc je suis sous antibiotique depuis hier…. et il veut savoir si aujourd’hui ça a dégonflé, moi je trouve que c’est très léger, car le dentiste voudrait l’extraire au plus tôt, c’est à dire demain samedi, même si l’extraction était prévue mardi… moi, je préfèrerais mardi, je trouve que c’est trop tôt…
De plus, je cumule, puisqu’avant hier, j’ai du appeler les pompiers en urgence, lors d’une promenade avec ma fille, une terrible douleurs estomac, irradiation dans le dos, etc… à un moment à cause de la douleur, j’avais du mal à respirer… ils ont eu peur, ils ont cru que je faisais un infarctus…. moi j’avais tout de suite des doutes concernant la vésicule biliaire, car j’ai un très gros calcul découvert en 1991… je me suis dit qu’hélas j’étais en train de passer un calcul plus petit celui-là, et j’avais raison, puisqu’à l’hôpital après avoir éliminé la cause cardiaque (électrocardiogramme) ils ont fait un bilan biologique qui a montré les transaminases un peu élevés ainsi que les Gamma GT, potassium un peu bas (34) et glycémie un peu élevé (certains médecins pensent que je débute un diabète) et d’autres qui disent « mais non, pas de diabète)!!!!…
Du coup le dentiste, ne souhaite pas que je prenne du paracétamol, et je trouve qu’il a raison… si bien que j’appréhende l’extraction des racines…. il dit que la glycémie n’est pas tout à fait normal…
En plus j’ai une suspicion de maladie de Dupuytren en voie d’investigation.
Avec tout ça, je suis servie. Vraiment la grande forme.
Beaucoup d’épées de Damoclès au-dessus de ma tête.
Si vous avez des conseils, je suis preneuse.
Merci Docteur
Moi aussi j’y ai cru à cette petite inflammation, et puis j’ai vu mon dentiste hier, qui m’a dit tout de suite, je sais ce que vous avez… une infection, petit abcès, à cause de l’état de la dent (déjà cassée et mal dévitalisée bien des années en arrière), et il m’a avoué qu’à cause du passage prolongé de ses instruments pour retraiter les racines, il a fait disséminer des bactéries, et me voilà à présent avec une belle infection. Je dois lui dire aujourd’hui si j’ai dégonflé ou pas (Depuis hier je prends des antibiotiques) car il souhaiterait extraire les racines demain samedi… ce matin, le dégonflement est très léger…. sinon, on remet ça à mardi, comme c’était convenu au préalable !!!!! moi je trouve que samedi est trop tôt…
D’autant que je cumule, puisqu’avant-hier j’ai passé un calcul au niveau de la vésicule biliaire (horribles douleurs en me promenant avec ma fille), j’ai été obligée de faire appeler les pompiers, qui m’ont transporté à l’hôpital, où j’ai eu des examens, en particulier un électrocardiogramme, car ils pensaient que je faisais un infarctus… c’est moi qui leur ai dit que j’avais un calcul (très gros ) à la vésicule découvert en 1991 et que les symptômes ressemblaient à ce que je vivais…. bilan biologique : transaminases et Gamma GT un peu augmentés, potassium à 34 et glycémie un peu élevée….
Avec tout ça, tout va bien, sans compter, une suspicion de Dupuytren, je suis vraiment servie.
Le dentiste n’est pas chaud pour me donner du paracétamol, et je trouve qu’il a bien raison… si bien que j’appréhende l’extraction !!!!
Voilà, si vous avez un ou des conseils, je suis preneuse.
Merci Docteur
ça a fonctionné, je pense qu’il n’y a pas d’autre choix que l’extraction mais je pense que cela peut attendre mardi si c’est plus confortable pour vous.
Merci Docteur,
Moi aussi je crois que mardi sera plus confortable pour moi.
Bonne journée
Je viens d’avoir la secrétaire dentaire, le dentiste lui a dit que ça pouvait attendre mardi, à condition de garder toujours la couverture antibiotiques, cela va sans dire…. et puis je trouve que la gencive est encore un peu douloureuse et la joue un peu encore gonflée, même si on voit que ça s’améliore, je trouve que pour moi samedi c’est trop juste…
Bonjour,
Le gonflement de la joue a presque disparu, ma fille me dit « il n’y a plus rien ».
Juste une petite chose qui m’inquiète, c’est au niveau de la gencive, je trouve que c’est toujours un peu douloureux, je ne sens pas de gonflement, il faut dire que je ne m’y attarde pas plus que ça… mais une sensibilité douloureuse, qui je trouve est un peu longue à partir… il m’a dit que la dent était cassée, peut-être que….
Je pensais que les antibiotiques auraient le même effet que sur la joue, mais pour la gencive une disparition de la gêne douloureuse…
Je ne prends les antibiotiques que depuis jeudi dernier.
Merci
Si la dent est vraiment fêlée les antibiotiques ne suffiront pas il y aura obligatoirement une rechute. Il faudrait m’envoyer la radio de cette dent sur « dr.h@conseildentair.com » avec un rappel de votre problème…
le dentiste a voulu mardi retraiter les racines des dents 14 et 15 qui étaient recouvertes d’une couronne, qui est tombée toute seule, vu l’état des dents en dessous. Sauf qu’il a pu en sauver une, mais pas l’autre, puisqu’elle était cassée et qu’il n’a pas trouver les racines. Sauf, que son intervention a fait qu’il y a eu dissémination de bactéries avec les instruments, c’est ce que mon dentiste m’a dit. Donc, antibiotiques depuis jeudi, bains de bouche, et extraction de la dent, prévue mardi prochain…. je voulais juste savoir si les antibiotiques faisaient quand même leur travail ? la joue dégonfle, mais la gencive est encore douloureuse….Je n’ai pas la radio, elle est dans l’ordinateur de mon dentiste
Je ne peux pas vous donner plus d’informations sans voir de radio, lais si votre dentiste vous a prescrit un antibiotique et a prévu de vous extraire la dent mardi, il n’ y a pas de problème, il a fait ce qu’il fallait.
Le dentiste a fait ce qu’il devait faire en pareil cas, je n’ai aucun doute sur lui, sauf que le traitement antibiotique fonctionne-t-il comme prévu ? la joue pas de souci c’est dégonflé, mais la gencive, je sens toujours une petite masse (abcès) au bout de 4 jours (j’en serais à ma quatrième prise d’antibiotiques ce soir) ?
C’est bon, tout va bien
Merci Docteur
Bonne soirée
Bonsoir Docteur,
Voilà, je rentre de l’extraction, j’étais stressée au maximum, il faut dire que l’heure tardive et tout le reste m’angoissaient énormément. Malgré le gonflement de la gencive (qui va disparaître puisque les racines ont été enlevées) il a procédé à l’extraction, qui s’est plutôt bien passée…. il faut dire qu’il m’a fait une anesthésie plutôt maousse !!!!
Il a mis en place une compresse hémostatique qu’il a laissé en place et fait un point avec un fil résorbable, vu qu’il part en vacances. ça saigne quand même malgré tout.
Après, je me suis inquiétée pour le doliprane, à cause de mon problème de vésicule biliaire et des marqueurs du foie un peu élevés, il m’a dit que pour ce soir si je devais avoir mal, je pouvais prendre quand même 1 gramme de doliprane, c’est vrai qu’il faut faire attention, je sais de moi-même que le paracétamol est très toxique pour le foie….
Je vois demain, le gastro-entérologue à Toulouse, justement pour la vésicule biliaire…. tout ceci me stresse beaucoup.
Hier en matinée, c’était le chirurgien de la main, j’étais envoyée par la propre fille, (cette dernière est médecin généraliste du chirurgien) (spécialiste de la main) qui m’a regardé 5 minutes et s’est fichue de sa fille en disant qu’elle n’était pas capable de faire la différence entre un Dupuytren et un doigt à ressaut. Car c’est bien un doigt à ressaut qui m’ennuie depuis un an maintenant…. Il m’envoie donc en septembre chez un radiologue très doué d’après ses dires, qui effectue en anesthésie locale une espèce d’opération avec une aiguille, pour libérer la poulie du tendon qui empêche le bon fonctionnement du doigt… A voir….
Voilà, c’est vraiment la révision des 100 000 kms, beaucoup de stress et douleurs….
BON COURAGE!
Comme vous dites !
Merci Docteur
Je m’y suis reprise à deux fois pour faire mon message, ça me mettait en erreur ?
Bonjour,
Certains préconisent de faire des bains de bouche au paroex 48 heures après l’extraction, au risque de refaire saigner et d’empêcher la formation du caillot.
Mon dentiste m’a dit de commencer ce matin, pendant 7 jours, alors que j’ai été opérée hier en soirée ?
Mon ancienne dentiste me demandait d’attendre plus longtemps.
Que faire ? Merci