Article remis à jour le 01/10/2018.
Le diagnostic radiologique des fêlures radiculaires dentaires est très difficile à faire, même pour les radiologues.
J’ai passé une grande partie de mon exercice professionnel à essayer de sauver des dents dont la racine était fêlée. Malheureusement je n’y suis jamais arrivé. Nos connaissances actuelles ne nous permettent pas de sauver une racine fêlée, peut être un jour avec le laser?…
L’infiltration microbienne se fait par la fêlure et c’est une porte ouverte dans le milieu interne pour l’envahissement de l’organisme.
Même lorsque le diagnostic de fêlure n’est pas évident, que tous les traitements échouent, et qu’on finit par extraire la dent, l’on s’aperçoit alors en examinant la racine avec une loupe à fort grossissement que la racine avait une micro-fêlure.
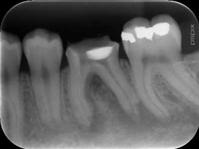
Je ne connais qu’un seul moyen de détecter une fêlure, c’est l’aspect radiologique de la lésion osseuse correspondante.
Cette lésion péri-radiculaire est dite « lésion en chaussette » et permet de faire le diagnostic certain d’une fêlure.



Il est bien évident, que l’apparition de nouvelles techniques d’imagerie telles que cône beam, 3D, Dentascan, ou scanner améliorent considérablement les possibilités de diagnostic des fêlures radiculaires. Mais la fêlure en elle même reste rarement visible, c’est l’aspect de la lyse osseuse engendrée par l’infiltration bactérienne ,qui reste déterminante pour le diagnostic.

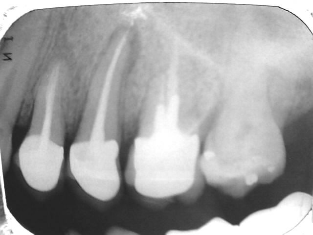
Sur le cliché si dessus l’image osseuse indique bien le fragment fracturé que je précise ci dessous avec un trait rouge:

Voici la photo de la dent extraite après mon diagnostic, et on peut constater que la dent est fracturée exactement comme je l’ai indiqué:

Question:« dévitaliser une dent dont une racine a une fêlure »
Réponse: une dent vivante ne se fêle qu’en cas de gros traumatisme, et là il peut être utile de la dévitaliser. Mais votre question concerne certainement une dent mortifiée ou déjà dévitalisée: ça ne marche absolument pas! Dans l’état actuel des connaissances, on ne sait absolument pas récupérer une dent fêlée. Il faut l’extraire. On peut parfois extraire la racine fracturée en la séparant du reste de la dent, et il faut en effet dévitaliser la dent pour cela.


Bondoir docteur,
J’aimerai savoir comment une fêlure peut provoquer une pathologie parodontale? et aussi les raisons pour les quels l’émail peut il éclater?pousser des dents de sagesse peut être? merci bcp
La fêlure radiculaire se comporte comme un canal non obturé, car elle est suffisante pour laisser passer les bactéries. Voir: ICI . L’émail fait des micro-fêlures chez les patient qui boivent trop chaud ou trop froid; mais il a un certain potentiel de réparation en puisant des sels minéraux dans la salive voir ICI . Il éclate souvent aux points de contacts prématurés de l’occlusion.
Bonsoir docteur. J’ai eu un traitement de racines il y a une semaine. Aujourd’hui j’ai une douleur relativement intense à une dent lors de la mastication ou simplement lorsque je sers les dents. Est-ce normal ? Merci pour votre réponse.
Prenez un anti inflammatoire et lisez
Si ça ne se calme pas envoyez moi la radio de contrôle sur « dr.h@conseildentaire.com »
Je suppose donc que cette douleur est normale après ce type de traitement. Cela peut-il durer longtemps ? Je précise que la dent est très déchaussée..
Je ne peux rien savoir sans radio. Si vous avez trop mal recontactez votre praticien
Vous etes entrain de faire de moi un dentiste compétant !Merci pour vos réponses
Votre bonne volonté professionnelle vous honore. Je reste à votre disposition.
Bonjour docteur,
Suite à un très fort coup sur mon incisive il y a 7 mois j’ai encore une légère sensation de douleur plutôt une gène lorsque je mords quelques chose de résistant ( pain, chewing gum).
Je suis allée chez mon dentiste, il ma dit » ce n’est pas normal qu’elle fasse encore mal, les radios montrent rien, je ne sais pas d’où cela vient, elle doit être cassée au niveau de la racine »
Est ce que c’est vraiment impossible que la gêne vient du choc ? Je dois vous avouer que je tapote souvent légèrement dessus, je mange exprès sur cette dent, etc. Pourquoi? Je n’en sais rien, c’est bête, c’est pas bien mais je n’arrive plus à stopper ça.
Avez vous un moyen pour moi pour tester si j’ai une casse ?
J’ai entendu dire qu’en général les personnes concernées ont une douleur vive lorsqu’elles relâchent un aliment. Est ce vrai ?
Comme dit, je n’ai pas énormément mal, j’ai juste l’impression de ne pas pouvoir croquer « à font » et lorsque j’ai croquée avec j’ai une sensation de dent « longue ».
( lorsque je bois ou me brosse les dents la douleur s’atténue …)
Excusez moi pour toutes ces questions
Merci docteur, cordialement
Testez votre dent au froid: posez le coin d’un glaçon en prenant soin de ne pas toucher les dents voisines et comptez combien de secondes il faut pour que ça fasse mal. Envoyez moi une bonne radio de cette dent.
Merci pour votre réponse docteur, malheureusement je nais pas de radios …
J’ai fais le test avec le glaçon, elle commence a sentir le froid vers 2-3 secondes comme la dent voisine, je ne ressens pas de différence.
Tant qu’elle reste vivante elle ne risque pas de complication. Surveillez la en la testant de temps en temps et essayez(!) de l’oublier: à mon avis elle a bougé un peu lors du choc et maintenant son occlusion vous gène. Moi (Zoro) je l’aurais meulée un tout petit peu pour que vous arêtier de l’embêter.
Merci docteur pour vos conseils.ça me rassure qu’il soit possible qu’elle ne soit pas cassée..
Je vais arrêter de la toucher en espérant qu’elle va guérir.
Bonjour docteur,
Je ronge mes ongles depuis toujours ( j’ai 30 ans)
Et depuis hier en rongeant mon ongle sur une de mes incisives Du haut j’ai eu mal en croquant …
ma dent est vivante et pas carié. J’ai eu un contrôle chez mon dentiste il y a un mois.
La douleur ne passe pas. Est ce possible qu’elle soit fêlée ou est juste une petite desmodontite qui passera ?
J’ai testée ma dent avec un glaçon et elle réagit comme les autres.
Je suis très stressée car la douleur m’inquiète et que je ne peux pas voir de dentiste pendant le confinement actuelle.
Merci de votre aide,
Crdlt
Je pense que c’est une desmodontite, essayez de ne pas faire travailler la dent pendant un jour ou deux…
Plus tard, faites vous poser une gouttière qui vous empêche de ronger vos ongles, faites attention de ne pas remplacer cela par quelque chose de plus embêtant! Nous pourrions en reparler le moment venu
Merci beaucoup de votre retour qui me rassure un peu.
Je n’ai plus qu à être patiente.
Pensez vous que cela peut s’infecter et faire un abcès ? C’est ma grosse angoisse l’infection … et si oui en combien de temps cela peut se produire ?
Désolé de vous déranger…
Merci de votre aide
Crdlt
Si vous arrêtez de faire souffrir cette dent cela devrait rentrer dans l’ordre. J’insiste pour que vous vous fassiez poser une gouttière invisible sur vos dents pour arrêter de ronger vos ongles
Bonjour, j’ai souvent une douleur derrière la dent 17, je me suis fait extraire les dents de sagesse en 2010. Pourrais-je vous joindre par mail ma radio panoramique afin d’y avoir votre avis, merci d’avance.
envoyez une radio récente sur « DR.H@conseildentaire.com »
Avant tout
Joyeux Noel super docteur
Une dent dévitalisée non couronnée (mon dentiste me l’a pas proposé cette couronne et je connaissais pas encore votre site) me fait mal mais par intermittence.
comme si la gencive était blessée, cela pique « sous la dent ».
Je vais voir mon dentiste qui prend des radios : je vois rien monsieur désolé pas d’infection. Il tapote dessus avec ses instruments. RAS
je lui dis pourtant épisodiquement, cela me fait mal quand je tape sur la dent du dessous.
Il me dit c’est un pb d’inflammation de la gencive sans doute.
Cette douleur varie au cours de la journée (il est vrai que je prend du paracétamol)
Ma question : quels sont les symptômes d’une fracture sur les dents dévitalisées
(ce doit être la 25 au vu de vos schémas.)
En tout cas le dentiste l’a mis en sous occlusion en attendant de me revoir. Mais j’ai toujours mal
c’est pénible, cette sensation que la dent « rentre » dans la gencive (cela « brule la gencive »)
Un grand merci pour votre aide
ah comment le dentiste va pouvoir voir si il y a fissure/fracture : faut tout démonter ?
la dent est fracturée et le trait de fracture bouge sous la gencive et la pique
Merci pour cette réponse rapide
entre AINS et paracétamol vous prendriez quoi pour attendre le RDV avec le dentiste en janvier ??
c’est une urgence ? et donc je dois allez aux urgences dentaires dimanche ??
Je ne sais pas si ils auront le temps de s’en occuper (démontage amalgame mis sur cette dent dévitalisée)
bon réveillon
il vaut mieux ne pas aller dans un service d’urgence, car il faut essayer de sauver cette dent . Ca peut attendre prenez rv chez un bon dentiste. Essayez paracétamol puis anti-inflammatoire et voyez lequel marche le mieux.
Bonjour docteur,
J’espère que vous allez bien. J’ai la molaire numéro 16 qui est dévitalisée mais pas encore couronnée. Cela fait 5 mois qu’elle me fait mal suite à un traumatisme en mordant très fort une graine de blé dur. Je sens une douleur persistante et moyenne tout au long de la journée avec une sensation de dent longue. J’ai vu 3 dentistes et un endodontiste qui n’ont rien détecté. Après avoir fait plusieurs radios ils ont dit tous que le traitement endodentique est fait correctement et qu’il n’yapas d’infection. Hier j’ai vu un parodontite qui m’a proposé un cone beam pour voir si la dent est fêlée ou pas. Pensez-vous que cela est utile et que la dent est récurable ? Car je ne veux pas continuer à faire des radios et dépenser de l’argent inutilement ? Ou bien vaut mieux l’extraire et envisager à moyen terme poser un implant ? (Malheureusement je n’ai pas les radios chez moi)
bonjour Dr.
est ce que on peut faire un diagnostic différentiel entre une lésion endo-parodontale et une fracture radiculaire à partir de la radio ?
Merci d’avance
cordialement
la plus part du temps oui, avec les explications que je donne dans cet article. Vous pouvez m’envoyer une radio si vous le désirez sur « DR.H@conseildentaire.com » . Les radiographies numérisées peuvent être copiées sur clef USB et envoyées directement .Les radiographies et scanners sur support argentique, doivent être photographiées au plus près possible, en les fixant sur un négatoscope. Renvoyez moi vos questions en même temps pour que je sache de quoi il s’agit.
je vais vous envoyer un mail pour vous expliquer ce que je cherche à savoir
Merci Dr.
Bonjour
Je suis alle chez mon dentiste suite a un abces gueri sur une.molaire. j’ai eu un traitement avec produit injecte. Depuis jai une petite douleur en masticant uniquement des aliments durs style gateaux. A . la radio tout est bien ..le dentiste m’a meme dit.que c’était vraiment bien et que.la douleur devait venir de la cicatrisation notemment au niveau de l os qui apparemment se refait. Tout devient clair au niveau de.la radio. Est ce possible que la cicatrisation soit longue et douloureuse
Merci
oui cela arrive
https://conseildentaire.com/2013/12/23/la-desmodontite-post-endodontique/
Bonjour Dr
J’ai une fistule depuis un mois, le dentiste a traité la dent et le canal infecté. Avais-vous une idée du temps de guérison et de disparition physique de la fistule?
Merci
Pour que je puisse répondre à votre question, il faut m’envoyer une radio de cette dent après traitement radiculaire, sur « DR.H@conseildentaire.com » . Les radiographies et les photos numérisées peuvent être copiées sur clef USB et envoyées directement , pour les scanners trop lourds, faites des captures d’écran des clichés intéressants. Les radiographies panoramiques et scanners sur support argentique, doivent être photographiées au plus près possible, en les fixant sur une vitre bien éclairée, et en interposant un papier calque derrière: orientées de telle sorte que l’écriture soit à l’endroit, et horizontales, lettre D ou R à gauche, G ou L à droite et envoyées en format jpeg en pièces jointes. Il est indispensable que les radios et photos soient nettes. Renvoyez moi vos questions résumées et formulées clairement en même temps pour que je sache de quoi il s’agit.
« avez-vous » Ooups !
Merci de votre réponse
En fait j’aurais juste aimé savoir, dans le cas ou l’infection était stoppée, combien de temps (environ) la fistule mettait à disparaître…
Tout dépend de la taille de la lésion et de la qualité des soins qui ont été fait. La présence de la fistule prouve que l’infection n’est pas terminée, puisque la fistule n’est pas une infection, c’est la soupape de sécurité d’une infection existante.
Merci de votre réponse 🙂
Mince mon commentaire n’apparaît pas je recommence
voilà mon soucis, suite à une grosse carie on m’a devitalisée ma dent 36 en juin et mis un pansement.
Le 2 sept, ma dentiste m’a refait le pansement qui etait quasiment parti et m’a fait passé une radio de controle le 23 sept RAS
Pose couronne prévue fin octobre
Gros soucis, jeudi dernier je mange du pain et aïe ma dent me fait mal
depuis elle est douloureuse de plus en plus, elle est sensible au toucher face externe et je sens comme une brulure à la base ds gencive
je ss allée hier controler tt ça, radio RAS, ma dentiste pense juste un soucis au niveau de la gencive
mais ce matin la douleur étant de plus en plus forte j’y ss retournée là elle a enlevé le pansement, pris photo à la caméra, plus mis de la lumière pour voir si fissure car son assistante pensait effectivement à une fissure suite à avoir mangé du pain.
Rien de spécial si ce n’est une micro fissure qui ne descendrait pas jusqu’à la gencive ce qui est bon signe
elle m’a limé la dent un max, mis une pate antiseptique + pansement
je ne peux pas pdre d’AINS suite à une desmondondite sur une autre dent qui m’a pas fait du bien à l’estomac.
J’ai confiance en ma dentiste mais j’aimerais un 2eme avis, la douleur serait liée à la felure ?
c’est une douleur qui me fait mal comme une carie, bien que lorsqu’elle touche intérieur dent je n’ai pas mal juste coté exterieur et sillon du haut coté extérieur. Cette douleur descend à la gencive comme une brulure…
elle m’a dit qu’elle ne poserait pas de couronne si la dent me faisait encore mal mais si felure ne vaut-il pas mieux vite la portéger?
merci pour votre retour
Votre dentiste a bien fait de raccourcir la dent pour qu’elle ne travaille pas. Cela va permettre de voir si les douleurs se calment. Evitez de manger dessus.
merci pour votre retour. j esprre que la douleur va s estomper. je n arrive pas a comprendre d ou cela peut provenir vu qu elle est devitalisee et que je ne sentais rien avant ce boit de pain! vous pensez a une felure qd meme?
c’est possible, les dents dévitalisées cassent souvent!
et c est douloureux? rien que de passer mon.ongle sur le sillon du haut de la dent cote exterieur j ai trop mal alors qu elle est devitalisee…et jai eu le malheur de connaitre la desmondontite sur une autre dent et c est de suite apres la.devitalisation pas 2mois apres! je revois ma.dentiste le 24 j espere que d ici la il y aura du changement et surtt qu elle.pourra commencer le travail pour la couronner…
il faut attendre et voir…
bonjour,
la douleur va crescendo jusqu a etre reveillee 2 fois cette nuit.c est une douleur lancinante et pulsatile j allais vous dire comme une.pulpite que ma dent est devitalisee.
je vais rappeler ma dentiste zn espreant qu elle trouve la cause j hesite meme a aller voir un confrere histoire d avoir un 2eme avis…
qu en pensez vous?
infection ou fracture pourrait expliquer cette douleur?
1 sem auj que la douleur a debute apres avoir mange du pain…
merci et bonne journee
Envoyez moi une radio de cette dent
Merci pour votre retour, j’ai appelé ma dentiste qui me dit de prendre AINS. Je vais consulter un autre dentiste pour un 2ème avis à 14h30, je pense qu’il me fera une radio je lui demanderai de me la mettre sur une clé usb pour vous l’envoyer.
Merci
Comme convenu, je vous tiens informé…le nveau dentiste a refait une panoramique on voit clairement que la dent n’a pas été dévitalisée jusqu’au bout…en plus après avoir fait une radio de la dent seule on s’aperçoit qu’elle aurait cassée un instrument dedans…me voilà avec antibio + consultation chez un endodentiste car c’est un travail assez minutieux…
je ne vous parle pas de l’autre dent qu’elle m’avait devitalisée où de la pâte est partie dans le sinus…
encore merci pour vos retours
cdt
Bonjour Docteur,
J’ai un abcès sur ma gencive au-dessus d’une dent couronnée. Mon dentiste traitant me préconise une extraction de la dent et la pose d’un implant comme seule solution… cette onéreuse solution m’a poussé à demander un 2e avis auprès d’un autre dentiste, qui après visionnage de la radio me conseille un curetage.
Je suis assez perplexe et désemparé… faut-il tenter un curetage qui éviterait une lourde dépense d’implant ? Ce curetage aurait-il des conséquences négatives pour un implant dans le futur ?
Merci pour vos réponses.
Cordialement.
Pour que je puisse vous aider de façon efficace, il faut m’envoyer une radio récente, sur « DR.H@conseildentaire.com » . Ne pas scanner les radios sur imprimante. Les radiographies et les photos numérisées peuvent être copiées sur clef USB et envoyées directement , sinon pour les scanners trop lourds faites des captures d’écran des clichés intéressants. Les radiographies panoramiques et scanners sur support argentique, doivent être photographiées au plus près possible, en les fixant sur une vitre bien éclairée, et en interposant un papier calque derrière: orientées de telle sorte que l’écriture soit à l’endroit, et horizontales, lettre D ou R à gauche, G ou L à droite et envoyées en format jpeg en pièces jointes. Il est indispensable que les radios et photos soient nettes ( pas de tirages papier). Renvoyez moi vos questions résumées et formulées clairement en même temps pour que je sache de quoi il s’agit.
Bonjour Docteur,
Suite à un choc sur une incisive supérieure (il y a 25jours), j’ai perdu un petit bout de la couche externe (2-3 mm de l’émail) et des félures sont apparues (5 qui partent dans tous les sens) qui ne se voient qu’à la lumiére, depuis je n’ai pas de douleurs ni de sensation au chaud et au froid.
Je suis allé consulté un dentiste qui m’a fait une radio (qui ne montre rien d’anormal) et selon lui ma dent est félée (les félures ne concernent que l’email d’aprés son explication) et que dans un an ou trois ans je risque d’avoir une petite boule au niveau de la gencive plus un changement de teinte (le nerf met du temps à réagir selon le dentiste)…en fin de consultation il m’a proposé de mettre une facette céramique pour consolider ma dent félée. J’aimerais avoir votre avis/conseil s’il vous plait?
Qu’est-ce que je risque lorsque la situation evoluera dans le mauvais sens (douleur, changement de teinte etc), extraction de la dent en question, dévitalisation et pose de couronne…je suis confu et je sais plus quoi faire!
Merci par avance pour vos retours.
Pour l’instant vous pouvez attendre et ne rien faire, si la dent change de teinte il faudra traiter le canal et là la facette pourrait être utile.
Merci à vous pour ce retour rapide. Je vais suivre votre conseil et voir comment ma dent va évoluer dans le temps, je vais essayer d’oublier qu’elle est félée!
Bonjour,
Suite à une chute à vélo survenue il y a une semaine, llune de mes incisives, la 11 a l’extrémité haute de la racine fêlée.
Cette fêlure transversale est très fine, mais visible sur la radiographie. La racine est longue et la fracture se situe loin de la gencive.
Il y a-t-il une alternative à l’extraction préventive de cette dent à cause du risque d’infection?
Est-il possible de pratiquer un traitement endodontique pour tenter de la garder sans risquer une infection de l’os.
Merci pour vos réponses.
J’ai vu des fractures hautes qui se consolident spontanément si la dent ne bouge pas. Si c’est le cas vous ne risquez rien à tenter le coup en surveillant pour que ça ne s’infecte pas. Si elle bouge légèrement on peut mettre une contention pour l’immobiliser. Envoyez moi une radio pour que je puisse évaluer la situation, sur « dr.h@conseildentaire.com ».
Bonjour Docteur
Suite à une visite de routine fin juin, on me traite une petite carie sur la 1ere prémolaire en bas a droite (la 44?). c’est une dent qui présente un collet fort rétracté et donc sensible, mais tout à fait gérable depuis longtemps. Suite à ce soin réalisé sans anesthésie, tout va bien mais 10 jours après, une douleur sourde s’installe si bien que je retourne consulter. Le dentiste diagnostique une pulpite réversible, liée a cette sensibilité dentaire, il pose un vernis sur le collet et me donne RDV sous 8 jours. Ca s’améliore pendant 2/3 jours, puis la douleur revient, sourde et lancinante même si elle ne m’a jamais empêchée de dormir. Le dentiste dévitalise la dent le 19 juillet. Pendant 2/3 jour ça va a peu près et depuis lundi à nouveau une douleur qui s’installe : sensation de brulure sur la face interne de la gencive, parfois picotement à la base de la dent, sensation de fourmillement à la commissure des lèvres et sur la joue, sensation de pression a l’intérieur de la dent, tout ça d’intensité variable dans la journée avec plutôt une douleur qui va crescendo du matin jusqu’au soir. Aucune douleur a la pression.
Inquiet, je vois la remplaçante hier car entre temps mon dentiste est parti en vacances: elle me dit que le traitement canalaire ne va pas tout à fait au bout de la racine « mais qu’elle n’aurait pas fait mieux » qu’il n’y a pas d’abcès, et qu’il faut attendre…Elle me prescrit des antibios a prendre la semaine prochaine si ça ne s’améliore pas . Aujourd’hui pas d’amélioration. Je pars en vacances dans 10 jours je suis inquiet et j’ai mal… quel est votre avis sur les causes de cette douleur et la conduite a tenir ? merci
en l’absence de radio, je ne peut pas dire grand chose, le tout est de savoir à quel point la dent est obturée ou pas et s’il reste une partie du nerf vivante qui réagit
merci pour votre réponse rapide. Dans l’hypothèse ou il reste cette partie de nerf vivante, quelle est l’évolution ? y’a t il urgence à intervenir ou puis-je attendre ?
Je vais essayer de vous envoyer une radio
Si vous n’avez pas trop mal, il n’y a pas d’urgence…
Bonsoir, j’ai mal par intermittence à ma prémolaire droite …je suis sur ce soucis depuis 2 ans… Puis je vous envoyer ma radio? En vous remerciant et en espérant pouvoir avoir votre avis. Valérie
Oui, envoyez moi votre radio accompagnée de votre question sur « dr.h@conseildentaire.com ».
Bonjour Docteur Hauteville,
Je suis suivie pour des soins sur une dent dévitalisée en 46. Cette dent m’a occasionné des névralgies faciales à chaque soin canalaire et aussi suite à l’utilisation d’un produit désinfectant chloré. Mes derniers soins dataient du 19 décembre et consistaient en un dernier nettoyage de canaux bouchés.
Après une sensibilité variable, sont apparues dès le 25 des névralgies faciales très fortes et perdurant pendant une semaine la nuit aussi. Douleur à l’effleurement (appui impossible) même avec la langue et la joue trop proches. Les 2 dents qui entourent sont devenues sensibles également. La joue était gonflée sans que cela soit spectaculaire. Une induration était repérable dans et sous la joue en contrebas de la dent. Douleur pulsatile forte de la dent, douleur lancinante irradiant vers les dents du haut notamment dans la dent 17 extraite précédemment pour des raisons similaires (avec perte du support osseux). Douleur sur le trajet du nerf trijumeau (menton, cou, oreille, tempe, nez) en hémiface droite. Les dents avaient une mobilité. Le paracétamol et l’ibuprofène soulageaient peu ou pas. Mon dentiste était absent cette semaine-là et je n’ai pu trouver un autre praticien.
Par chance, le 30, un abcès s’est évacué en petite quantité entre 2 dents entraînant une baisse des douleurs mais reprenant ensuite. J’avais du mal à ouvrir la bouche et à avaler comme si je commençais une angine, je ressentais des aiguilles sous la langue.
J’ai vu un médecin le 31, l’antibiothérapie a commencé mais les douleurs ont perduré pendant au moins 4 jours. Amoxicilline 2g par jour pendant 7 jours.
Le 4 /01, j’ai fait un panoramique dentaire, mon dentiste a libéré la dent de son matériau obturant blanc, et il préconise l’avulsion de la dent.
A ce jour, j’ai terminé les antibiotiques, il n’y a plus de mobilité mais persiste une induration dans le prolongement de la dent au creux de la joue et de la gencive. J’ai parcouru longuement votre site qui est vraiment complet et aurais aimé avoir votre avis. Puis-je vous envoyer la copie de ma radio sur votre mail ? Merci pour ce que vous faites pour chacun d’entre nous.
Oui envoyez moi votre radio sur « dr.h@conseildentaire.com » avec votre question.
Bonjour Docteur Hauteville,
Tout d’abord, un grand merci pour votre site clair et très instructif et pour vos précieuses explications.
Je me permets de me rapprocher de vous car je suis dans le flou complet quant au diagnostic qui est fait sur mon incisive du haut. Je crois que c’est la 11. Pendant près de 10 ans, j’ai eu une facette sur cette dent pour des raisons esthétiques et je porte une gouttière de nuit car j’ai eu au préalable un traitement d’orthodontie tardif. Aucun problème particulier avec cette dent que je n’utilise en réalité jamais (je ne croque jamais dans un sandwich ou autre). En juillet 2017, cette facette qui avait déjà été changée une fois est tombée et mon dentiste m’a proposée de mettre une couronne à la place afin que le risque de décollement soit moindre. Au moment de la pose de la couronne, mon dentiste a un peu forcé et j’ai eu très mal. Avais-je déjà mal avant sans le savoir puisque je ne la sollicite jamais (je ne le sais pas)?. Puis la douleur est passée jusqu’au moment où j’ai du remettre ma nouvelle gouttière (1 semaine après). J’ai revu rapidement mon dentiste qui m’a indiquée que cette douleur était due à la pression mais que cela allait progressivement passé. Effectivement, la douleur est passée. En septembre, j’ai eu à mordre légèrement sur un bâton en bois et je me suis rendue compte qu’à la pression j’avais mal (en appuyant du bas vers le haut). Mon dentiste pense qu’il s’agit juste d’une petite inflammation du ligament et que je n’ai pas à m’inquiéter, et ce d’autant plus que c’est une dent vivante. J’ai demandé l’avis d’un autre dentiste qui m’a dit qu’il n’y avait absolument rien et qu’il fallait que j’arrête d’y penser et de la toucher. Compte tenu du fait que je n’ai mal qu’à la pression, j’en suis arrivée à la conclusion que j’avais peut être une félure ou une fracture difficilement détectable sur une radio. Je vous ai envoyé parallèlement un mail avec la radio.
Merci d’avance pour toute réponse que vous pourrez m’apporter.
Cordialement
Alexandra
Les dents vivantes ne se fêlent pratiquement jamais sauf à recevoir un choc brutal et la vous auriez très mal. Il y a peu de chances pour que ce soit ça.Pour vous rassurer, envoyez moi une radio récente de cette dent sur « dr.h@conseildentaire.com ».
Merci beaucoup, Dr Hauteville, pour cette réponse très rassurante. Je vous ai envoyé la radio par mail. Cdt. Alexandra
Bonsoir Dr,
Vendredi dernier j’ai mordu dans un morceau de pain qui était dur et j’ai perdu un tout petit morceau de dent sur ma deuxième premolaire qui est vivante, il s’agit d’un petit morceau d’email (2 minimetres) sur la pointe de la premolaire côté extérieur.
Je n’ai pas de douleur particulière, pas de problème d’oclusion comme quand je serre les dents. Est ce que c’est utile d’après vous de consulter pour ça ?
Bonne soirée
Matthieu
Il n’y a aucune raison pour qu’une dent saine se casse: consultez votre dentiste pour voir s’il n’y a pas une carie cachée ou si la dent n’est pas en train de se mortifier…
Bonjour Docteur,
J’ai commencé à avoir brutalement une sensibilité sur une incisive centrale haute (la 21) au mois de juillet dernier avec la sensation que la dent partait vers l’avant, pas de choc à ma connaissance. J’ai consulté mon dentiste qui n’a rien vu de particulier après un panoramique et quelques examens (lumière bleue, examen des gencives). Elle m’a prescrit une gouttière thermoformée à porter la nuit pour un possible grincement. Cela semblait s’être calmé et 2 mois plus tard tout à recommencé. Ma dentiste m’oriente alors vers un orthodontiste car elle pense que mes dents se déplacent vu que j’ai eu un appareil dentaire adolescente. l’orthodontiste souhaite au préalable un bilan parodontal. Je dois le voir fin janvier. Je vais donc au préalable chez un parodontologue qui pense plutôt à une fêlure. Il m’envoie chez un confrère passer un scanner. Ce dentiste pense voir effectivement une fêlure sous la gencive, extraction inévitable me précise-t-on, même si ma dent est toujours vivante et non cariée, jamais soignée. Elle me conseille toutefois de voir un orthodontiste (de nouveau) et si la douleur persiste de commencer par une dévitalisation. Elle ne semble pas certaine de son diagnostic. La douleur est depuis de plus en plus présente, surtout quand je parle (les sons en F et V), je suis enseignante alors c’est compliqué. Je sens également un petit « clic » sur cette dent, une toute petite mobilité. J’ai également une perte osseuse qui est apparue depuis entre cette dent et l’incisive voisine laissant entrevoir un trou noir et un affaissement de la papille interdentaire.
Je suis perdue et extrêmement stressée de perdre cette dent, surtout en raison de mon activité professionnelle. Les les délais entre les praticiens sont longs et en attendant, je souffre de manière aléatoire. Je vous remercie d’avance pour votre réponse.
Envoyez moi sur « dr.h@conseildentaire.com » la dernière radio en me rappelant de quoi il s’agit.
Bonsoir Dr.,
en mâchant de la viande j’ai entendu bruit de cassure au niveau de ma dent de sagesse dévitalisée. Peut-il s’agir d’une fêlure ? Je n’ai pas de douleurs. Dois-je aller voir mon dentiste?
Cordialement.
Les dents dévitalisées non couronnées sont très fragile et se cassent toujours. Il faut examiner la dent à la loupe pour voir si elle récupérable. Tant qu’elle ne vous fait pas mal vous pouvez attendre, sinon il faut consulter.
Bonsoir Docteur, un grand merci pour votre excellent conseil!
Cordialement.
Bonjour Docteur…..En pensant à quelque chose de négatif pendant le brossage…Je me suis cogné vigoureusement une dent de devant avec ma brosse à dent(Face interne)….J ai eu par la suite une sensation de brûlure sur la gencive….Et une douleur systématique au passage de la langue ou au contact de la dent antagoniste….Des douleurs également à la mastication d aliments durs(Pain)…J ai traité avec le dentifrice homeodent gencive et le gel hyalugel FORTE …Il y a eu amélioration des symptômes mais ils demeurent tout de même….Diminuent ou augmentent sans toutefois être aussi douloureux que les premiers jours après le choc….Une alimentation épicée peut elle retarder la guérison d une desmodontite?…Il y a t il possibilité de fracture ou fêlure radiculaire?….La dent de devant ayant reçu le choc a une mobilité normale mais une douleur moyenne à la gencive qd je la triture avec mes doigts….Manger de la crème glacée soulage momentanément les symptômes …Que dois je faire? Attendre ou aller au dentiste ?Je suis très inquiet d une éventuelle extraction car il s agit des dents de devants et je fais un métier ou avoir un sourire normale( sans trou) est très important ….
Il faut 2 à 3 semaines pour que ça se calme, sinon consultez votre dentiste. Souriez en vous brossant les dents, elles sont symbole de vie!!!
Les douleurs se sont calmées au bout d un mois….Il m était très difficile de prononcer les mots en S et Z….3 semaines plus tard je prononce les mots en S et Z sans problèmes mais les douleurs sont toutefois persistantes sans être aussi vives que les 3 premières semaines succédant le choc …Et surtout varient bcp….j ai quelques fois eu des épisodes presque sans douleurs pdt une journée depuis que j applique gel et dentifrice pour gencives( Homeodent, Hyalugel )…Mais ça s en va puis ça revient….C moins douloureux et contraignant qu au début….Mais c est persistant…Que faire? Ça fait 3 mois que les douleurs varient ( Presque sans douleur quelques rares fois et moyennement douloureuses la plupart du temps)…Les épices peuvent elle retarder la guérison ( Piment)…Faut il arrêter de manger épicé?
Je pense qu’il serait plus prudent de faire faire une radio…
Le piment n’a qu’une action très superficielle. Je pense qu’il serait plus prudent de faire faire une radio…
Merci pour vos réponses….J ai aussi une douleur désagréable qd ma langue effleure, touche la partie saillante coupante de la dent qui as reçu le choc…Je voudrais savoir quelles seraient les éventuelles causes de cette douleur….Je voudrais aussi savoir si c est possible d avoir les symptômes d une fracture à la racine….Et aussi si il y a des différences entre les symptômes d une simple desmodontite et une desmodontite due à une fracture de la racine….
Sinon les mobilités des 2 incisives celle touchée et celĺe intacte sont similaires et les dent sont de la même couleur…Pas de variation de couleur de la dent touchée par le choc depuis 3 mois
Je ne peux pas vous répondre sans voir une radio…
Bonjour docteur ,
Une felure dentaire invisible aux radios panoramiques et invisible à l’oeil nu peut-elle etre visualisée à l’aide d’un IRM et si oui quel IRM me conseillez vous de demander à mon médecin pour pouvoir visualiser la felure éventuelle ?
Une felure peut elle également provoquer des sensations de brulures (type glossodynie , stomatodynie) ? Cela fait 1 an et demie que je traine une stomatodynie (bouche , gorge et langue qui me brulent) que aucun médecin n’arrive à traiter mais je soupçonne fortement un foyer infectieux car les brulures sont apparues 2 jours après l’apparition d’un abcès ( qui a été drainé depuis mais aujourd’hui encore la stomatodynie est présente et des douleurs sourdes sont présentes par intermitence dans le secteur de la felure soupçonnée ).
Tous les spécialistes (ORL , Gastro-entérologue , stomatologue , Dermatologue ) n’ont pas trouvé d’anomalies malgré prélèvements sanguins et salivaires , radio et scanner dentaire.
Je vous avais déjà envoyé une radio panoramique l’an dernier (RAS à part une parodontite que j’ai depuis des années ) .J’avais alors soupçonné les bains de bouche à l’HELUDRIL coupables de ces sensations de brulures . Mais comme l’an dernier je n’étais pas informé des éventuels dégats et complications d’une « simple » felure dentaire , alors je compte me renseigner sur cette piste afin de réorienter mes recherches pour trouver la solution à tous ces désagréments .
Je vous remercie par avance aux réponses que vous pourrez m’apporter , à savoir si une simple felure dentaire peut provoquer tous ces désagréments et quel examen IRM pour la visualiser .
Cordialement ,
Pasquale
Bonjour docteur
Est-ce que douleur sourde sur un secteur de 2 dents (auparavant traité pour cause d’abcès)+ stomatodynie peuvent laisser supposer une infection due à une fêlure dentaire à la racine . (RAS aux radios et scanner . Prélèvements sanguins et salivaires ok.)
Si oui est-ce que une IRM pourrait permettre de visualiser la fêlure ?
Si il y a fêlure dentaire à la racine , faudrait -il arracher la ou les dents concernées pour éradiquer la stomatodynie et la douleur sourde ?
Merci d’avance pour vos réponses .
Cordialement ,
Pasquale
Bonjour Docteur,
Quelle page intéressante !
Je suis en plein doute sur la décision pour une extraction à cause d’une fistule chronique (apparaît, disparaît 1 ou 2 jours par semaine depuis 1 mois et demi). Pas vraiment de douleur au relâchement d’appui sur cette dent.
Cette dent dévitalisée depuis une vingtaine d’années semble avoir un problème de couronne (support infecté ou non étanche).
J’essaie de détecter sur une panoramique une éventuelle fêlure, une lésion periradiculaire, apicale ou cervicale… Il y bien un vide très léger entre
la longueur d’une racine et l’os mais homogène.
Puis-je tenter un retraitement des racines avant d’envisager une extraction ?
Dois-je espérer un meilleur diagnostic avec un cone beam ?
Ou bien cette dent a fait son temps et il vaut mieux l’extraire rapidement pour éviter des complications ?
D’une manière générale, pourquoi les stomatologues ne proposent pas des résections apicales, d’extraction de granulomes ou ce type de diagnostic – traitement qui consiste à observer chirurgicalement la racine sous la gencive ?
Je comprends que l’implant a révolutionné le domaine mais j’ai lu qu’un implant n’est pas synonyme de durée.
Si vous pouvez m’éclairer…
Mes félicitations pour ce partage qui vous honore.
Pierre
Envoyez moi vos radios sur « dr.@conseildentaire.com » accompagnées de votre texte.
Bonjour,
J’ai la dent 21 dévitalisée depuis des années elle me refait mal le dentiste ne voit rien je vais chez l’endosse triste il me refait un traitement au cas il me dit c’est un peu cracra… mais pas plus bref la douleur est toujours là même si avant le retraitement on a fait un cône beam il n’y a rien l’obturation est bonne…. Qu en pensez vous
Envoyez moi la dernière radio, sur « dr.h@conseildentaire.com » avec votre question
Bonjour docteur,
Il y a un an, durant l’extraction de la 27, mon chirurgien a utilisé une fraise qui a fait un bruit comme une perceuse à béton, je n’avais jamais entendu cela auparavant…je sentais des vibrations et un bruit comme une fracturation.
J’ai trouvé que cela avait duré un certain temps.
2 jours plus tard, en mangeant un sandwich baguette ma 26 m’a fait extrêmement mal.
Je dois préciser, que la dent antagoniste 36 est extraite. Il reste juste petit point de contact avec la 37.
Par hasard, dans les jours qui ont suivis, je me suis cognée derrière la tête contre le mur, et cela a raisonné fortement.
Une carie sur la face occlusale de la 26 a été soignée.
Mais quand il m’arrive de manger un sandwich je sens que la 26 me fait un peu mal. Le scanner ne montre rien
Comme j’ai insisté pour dire que la 26 me souciait, le médecin profitera de la pose de l’implant de la 27 pour faire un lambeau d’exploration.
Qu’en pensez-vous ?
Pourriez-vous me dire quelle fraise le médecin a-t-il utilisé et à quoi sert-elle ?
Je n’ai pas eu de réponse de sa part…
Merci d’avance docteur
Il a utilisé une fraise à os pour dégager la racine qui était sans doute trop soudée à l’os. Si vus voulez des conseils sur vos dents, il faut m’envoyer de radios sur »dr.h@conseildentaire.com », avec vos questions.
Bonjour Dcteur
Depuis quelques mois ma canine supérieure droite est légèrement douloureuse et sensible à la pression . Cette douleur est intermittente et spontanée et la dent n’est pas douloureuse au chaud, au froid ou à la mastication.
Je suis allée chez le dentiste qui a réalisé un panoramique dentaire et une radiographie de la dent qui n’ont rien révélé.
Cette dent n’a pas subit de choc mais elle présente de légères fissures visibles à la lumiere rasante et la pointe est légèrement ebréchée ou usée, je suppose à cause du bruxisme (Le bruxisme est depuis traité par le port d’une gouttière la nuit )
Je souhaiterais savoir si cette douleur / sensibilité est » normal » ou si cela peut être le signe d’un probleme non visible à la radio et qui nécessite de retourner chez mon dentiste .
Votre canine supporte des charges trop fortes du fait de votre bruxisme, il faut porter une gouttière nocturne.
Bonjour docteur,
J’espère que vous allez bien. J’ai la molaire numéro 16 qui est dévitalisée mais pas encore couronnée. Cela fait 5 mois qu’elle me fait mal suite à un traumatisme en mordant très fort une graine de blé dur. Je sens une douleur persistante et moyenne tout au long de la journée avec une sensation de dent longue. J’ai vu 3 dentistes et un endodontiste qui n’ont rien détecté. Après avoir fait plusieurs radios ils ont dit tous que le traitement endodentique est fait correctement et qu’il n’yapas d’infection. Hier j’ai vu un parodontite qui m’a proposé un cone beam pour voir si la dent est fêlée ou pas. Pensez-vous que cela est utile et que la dent est récurable ? Car je ne veux pas continuer à faire des radios et dépenser de l’argent inutilement ? Ou bien vaut mieux l’extraire et envisager à moyen terme poser un implant ? (Malheureusement je n’ai pas les radios chez moi)
Il vaut mieux faire le cone beam
Est ce qu’une fissure dentaire peut ne pas être détectée par une radio Cone Beam ?
Merci
Oui.
Désolé pour le retard à répondre, j’ai été hospitalisé un mois pour pneumonie et infarctus.
Je vous souhaite un prompt rétablissement et une bonne santé docteur.
Bonjour
J ai une dent (la 45) dévitalisée avec couronne dessus. Il y a qq temps j’ai eu comme un point blanc sur la gencive en bas de cette dent mais pas de douleur juste la gencive un peu plus rouge/rose
A la radio le dentiste suspecte une fêlure de la racine mais ce n’est pas très clair. Il a inséré comme une espece de petite tige souple et a repassé une radio la petite tige se plie à la felure suspectée et ne va pas jusqu’a la fin de la racine (ca fait comme un bec plié). Il me dit qu’il faut arracher cette dent et poser un implant. Faut -il vraiment l’extraire je n’ai tj pas mal et le bouton est maintenant tout petit. N’y a t il pas d’autre solution à l’extraction car je n’ai pas mal – Merci
SI LA DENT EST VRAIMENT FÊLEE IL FAUT L’EXTRAIRE CAR ELLE REPRESENTE UN DANGER POUR VOTRE SANTE. ENVOYEZ MOI LES RADIOS SI VOUS VOULEZ UN DEUXIEME AVIS.
Bonjour,
J’ai une 27 qui est incluse est qui est vraiment DANS LE SINUS. 26 a été extraite en 2018. Je voudrais faire un implant a la place de 26. D’après vous, il vaut mieux d’abord extraire la 27 incluse et ensuite faire un implant 26, ou il ne faut pas toucher la 27 incluse qui présente des complications (trop enfoncee dans le sinus/complications/trou dans le sinus etc ..) et faire un implant 26 a cote de la 27 incluse ? Si on choisit la deuxième option, est-ce qu’on ne risque pas d’infecter la 27 qui dormait ? Si on chosit la premiere option est-ce que je ne risque pas de finir comme Louis 14 (quand je bois du vin, je cracherai par le nez ? Je suis vraiment désespérée et je ne sais quoi faire avec cette 27 incluse DANS le SINUS. Je vous remercie par avance.
Envoyez moi vos radio sur dr.h@conseildentaire.com avec votre texte