Le point de contact et le syndrome du septum, un motif d’infection dentaire peu connu du public et trop souvent des professionnels.
Le point de contact entre deux dents est d’une importance capitale pour la santé de la dent est du parodonte. Une absence ou un défaut de contact, entraîne des désordres très préjudiciables.
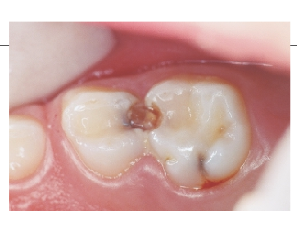
Comme d’habitude, commençons par voir ce qu’est le point de contact et comment il doit être normalement.
L’anatomie d’une dent fait qu’elle est cintrée au niveau du collet et que la ligne de plus grand contour se trouve plus proche de la face occlusale. De cette situation, il résulte qu’une dent donnée a une contact ponctuel avec les deux dents proximales*. Il reste un triangle libre entre les deux dents, partiellement occupé par la partie de l’os alvéolaire qui s’appelle septum, et par la papille gingivale.



Lorsqu’une carie détruit le point de contact, le praticien qui fait l’obturation doit reproduire à l’identique le point de contact original. Et croyez moi, ce n’est pas facile. Un défaut du point de contact amène à des bourrages alimentaires ou à des rétentions d’aliments qui vont enchaîner une série de catastrophes.


Comment savoir si un point de contact est bon?
Le meilleur test est le fil de soie: si le fil ne passe pas, c’est parce que le point de contact est collé. S’il passe et se déchire, c’est parce que le point de contact n’est pas ponctuel, ou l’obturation débordante. Lorsque que le point de contact est bon, le fil de soie doit passer en faisant un « clic », et doit ressortir de même, sans se déchirer; il doit circuler librement dans l’espace inter-dentaire et n’accrocher nulle part.
Le syndrome du septum.
Qu’est-ce que le syndrome du septum? C’est une inflammation des tissus de l’espace inter-dentaire, d’abord la gencive, puis si rien n’est fait, l’os alvéolaire, et qui se termine par la destruction du septum osseux et une infection avec un petit abcès localisé entre les deux dents concernées.




Traitement.
Comme chaque fois, le traitement commence par la suppression de la cause: refaire les obturations défectueuses et rétablissement d’un point de contact conforme à ce que j’ai dit plus haut.
En même temps, il faut prescrire un nettoyage et une désinfection locale: bains de bouche à la chlorhexidine après chaque repas, et instillation avec un micro-compte-gouttes d’eau oxygénée pure à 10 volumes .
S’il y a un vrai abcès, prescription d’antibiotiques.
Après disparition de l’infection et de l’inflammation, il est souvent nécessaire de faire une petite chirurgie parodontale du septum et des deux dents adjacentes.
Ce petit exposé permet de comprendre pourquoi un inlay est mieux qu’une obturation faite en bouche. L’inlay est fabriqué hors de la bouche, en laboratoire et a une anatomie parfaite et est très bien poli. Un inlay bien fait restitue intégralement l’anatomie originale de la dent.
Pour savoir comment restituer le point de contact et l’espace interdentaire, lire ICI.



merci infiniment Dr. Albert Hauteville
Bonjour, j’ai deux couronnes fraiches de deux mois et mon problème est que la nourriture s’inflitrait entre celles ci. J’ai vu mon dentiste qui m’avait dit qu’il y avait un manque de contact et a tenté un collage entre ces couronnes. Ca va mieux mais je me demande s’il est judicieux de faire un collage sur deux nouvelles couronnes.
Merci par avance de votre avis.
En effet, il aurait mieux valu que les couronnes ajustent correctement entre elles dès le départ! Car vous ne pouvez plus passer de fil de soie, il faut donc que vous passiez une petite brossette en dessous pour nettoyer (SOFT-PICKS GUM).voir ICI.
Je vous remercie
Bonjour ,
Plusieurs dizaines d’années sans problème dentaire, juste consultation pour détartrages semestriels, je viens de sortir d’une urgence en odontologie suite à 3j de douleur assez fortes, lancinantes. Diagnostic : syndrome du septum. Découverte surprenante, que si « peu de chose » pouvait déstabiliser les dents, gencives..
Grand soulagement quasi immédiat après nettoyage de la zone.
Je tenais à vous remercier pour ces si claires explications ici, concernant le sujet.
Le site est clair et convivial et consultable par le grand public.
merci pour cette belle initiative.
Merci!
Bonjour,
j’ai depuis quelques mois maintenant la facheuse habitude de « titiller » régulièrement mes dents avec ma langue. Sur certaines dents, lorsque j’appui sur une face, puis sur la face opposée, je sens comme un petit « clic ». J’en ai parlé à mon dentiste qui m’a expliqué qu’il s’agissait du point de contact, que les dents avaient une certaines « souplesse » et donc c’etait des micro mouvement de dents qui amenaient ces clics. Il m’a dit aussi que mes dents de sagesse (sortie totalement et poussant le reste) générait trop de pression et provoquaient aussi cela. J’ai donc fait extraire les dents de sagesse mais ces « clics » continues hélas et cela me stresse un peu et je n’ose en reparler à mon dentiste de peur de passer pour un enquiquineur. Est ce normal et dois je en parler avec mon dentiste ?
Ce que vous a dit votre dentiste est parfaitement exact. Sauf, qu’avec l’age toutes les dents migrent vers l’avant, dents de sagesse ou pas. Ce clic n’a aucune importance: mais ça vous dérange. Il faudrait donc repolir le point de contact avec un « strip abrasif ». Cela demande une minute et ce n’est pas bien compliqué.
bonjour ,
on m’a refait le point de contact entre une premolaire et une molaire a plusieurs reprise(en l ‘espace de 6 mois) mais la douleur était tjrs la , entre ces deux dent ,mais vers le haut (comme si elle était dans l ‘os). On m ‘ a finalement devitaliser la premolaire il y a 3 jrs , mais j’ ai tjrs cette douleur vers le haut. Est ce normal ?
Si c ‘est le syndrome du septum avec atteinte de l ‘os alveolaire , le fait de m’ avoir devitaliser la premolaire cela va t-il quand même guerir, ou la devitalisation ne sert a rien dans le cas ou c ‘est le syndrome du septum? Merci
Cordialement.
Dans le cas du syndrome du septum la dévitalisation ne sert à rien. Il s’agit d’établir un diagnostic pour savoir si c’en est un: envoyez moi une radio.
Merci pour votre reponse , je suis donc retourner voir mon dentiste ,pas de septum pour lui, mais desmodontite(grosses douleurs a la pression , percussion.) Dent en occlusion , il a effectuer un meulage + antibio 3 jrs +ains.
Aujourd’hui ca fait 1 semaine que la devitalisation a eu lieu,
moins de douleurs , mais tjrs une bonne sensibilitè a la percussion ,pression.
Qu’ en pensez vous ?
ps: j ‘ai pas pu avoir la radio. Cordialement.
Bonjour et merci pour ces explications très claires.
Je pense que vous allez me conseiller de consulter un dentiste, mais je suis aux Etats-Unis et crains une note salée…
Pendant un mois environ et de façon intermittente j’ai ressenti une douleur ciblée en mastiquant au niveau de la gencive. Je me suis dit que cela était des aliments coincés car cela m’est déjà arrivé et mon dentiste était arrivé à cette conclusion. Depuis une dizaine de jours cependant, la gencive au dessus d’une couronne (posée il y a 15 ans environ) est enflée et contient du pus. Une simple pression permet au pus de sortir et malgré la gêne de la boursouflure, je ne souffre pas vraiment (désolée pour les détails peu ragoûtants). Je suis globalement en bonne santé, pas de fièvre, juste cette gêne et l’inquiétude d’une possible infection plus sérieuse que je ne ressentirais pas à cause de la couronne (pas de nerf, pas de signal d’alarme?).
Je serais bien contente de m’entendre dire qu’un bain de bouche quotidien aux huiles essentielles de thym et de citron seront suffisants, mais ne rêvons pas!
Merci d’avance,
A.
Si vous êtes aux USA pour peu de temps vous pouvez faire des instillations d’eau oxygenée a dix volumes pure avec un compte gouttes directement entre les deux dents concernées 3 à 4 fois pas jour. Si vous y êtes pour plus de 2 à 3 semaines, consultez un dentiste.
Merci pour cette réponse rapide!
Je me donne encore 1 semaine et je consulte un dentiste.
Bonne continuation,
A.
bonjour, mon dentiste m’a traité 2 caries les 2 molaires voisine du haut et y a instauré des inlays. suite à cela une gene perpetuelle est apparue(saignement au brossage, besoin constant de passer ma langue entre ces 2 dents, inflamation…)je retourne le voir et il me garantit que je n’ai rien. je consulte donc un autre dentiste diagnostic:syndrome de septum test fil de soie pas de »clic » à cette endroit ; il me dit que c’est la responsabilité de mon dentiste de me refaire l’inlay mais ce dermier me dit que ses inlays reproduisent à l’identique la dent si je tiens à les refaire je dois repayer. étant donné que le fil accroche j’en déduis que l’inlay est légèrement trop gros dois-je lui demander de » polir »en quelques sortes pour diminuer le volume de l’inlay. qu’en pensez vous?merci beaucoup
Je pense qu’il ne sert à rien de reproduire à l’identique quelque chose qui ne va pas. Votre dentiste à commis une erreur et il doit refaire ces inlays. Voir ICI. Adressez vous au Conseil de L’Ordre
Bonsoir et merçi pour cette réponse; pouvez-vous encore m’éclairer sur ces points:
Mes inlays ont été fabriqués via la technologie CEREC il les a fait devant moi c’est fait informatiquement pas d’erreur possible
1-son argument est-il solvable?
2-est ce dans mon intéret d’exiger de lui qu’il me les refasse puisqu’il n’a pas l’air de voir son erreur?
3- puis je lui demander de me rembourser et allez les refaire ailleurs?
je ne veux pas allé m’adresser au conseil de l’ordre pour 1000 euros car au final c’est moi qui va y perdre du temps.
merçi de vos conseils
Le conseil de l’Ordre a pour mission de trouver des arrangements à l’amiable sans arriver à une action en justice et donc sans frais. Le conseil de l’ordre pourra également répondre à vos questions, moi je ne suis pas très bien informé sur ce sujet.
Bonjour et merci pour les explications
je suis un étudiant (3ème année chirurgie dentaire)
j’ai deux questions
1- quelle sont les comlication résultant d’une obturation avec surface de contact ( pas de point de contact)
2- Pourquoi Après disparition de l’infection et de l’inflammation, il est souvent nécessaire de faire une petite chirurgie parodontale du septum et des deux dents adjacentes.
1 Une surface au lieu d’un point de contact favorise les bourrages alimentaires et entraine un syndrome du septum.
2 toute inflammation parotontale déclenche la production de tissu réactionnel de granulation qui est un mélange de tissu conjonctif et épithélial. Même après guérison ce tissu ne disparaît pas: il faut donc le cureter.
merci beaucoup
Bonjou et merci beaucoup pour votres leçons importante
j’ai 3 qustions
1- pourquoi le septum est plus noir sur la radio (en cas du syndrom du septum)
2- est ce que dans toute les cas l’appariton du syndrom du septumest noir ( sur la radio)
3-quelles sont les radios qui peuvent découvrer le syndrom du septum
Ce qui apparait en noir sur une radio est dit « radio transparent » parce que moins calcifié et donc plus perméable aux rayons X. Chaque fois que le septum est noir cela veut dire qu’il est décalcifié et cela se voit sur tous les types de radios dentaires.
merci beaucoup ,Vous êtes vraiment gentil
bonjours jai beaucoup lu sur votre article mais sa ne repond pas a toute mes question donc je me lance ! je suis une jeune adulte de 19ans et en faite ca fait aumoins 6ans que je nest pas ete chez le dentiste et ma dentition nest vraiment plus bonne ! je nest pas les moyen de les faire reparer parcontre sa mi nquiete beaucoup! je sais quil y a beaucoup dinfection qui se fait jai 4 dents den arriere qui on casser sans que je les fasse reparer et mes dents de sajesse pousse aussi ! jai les ganglions enfler dans le coups depuis pres 1 ans et plein de bosse dans ma bouche! depuis 2 jours jai limpression de faire de la fievre et jai mal a tete constament surtout au front on dirrais et en arriere de la tete! je prend des tillenole et ca ne par pas !je voulais en parler avec mon medecin mais jai un rendez vous seulement le 9 septembre ! devraiis-je attendre jusque la ? je suis vraiment inquiete et tout sa me fait peur ! jai lu a plusieur reprise que cetais mortelle ! penssez vs que mon cas est rendu si grave que ca ?? jattend votre reponse avec impatience merci beaucoup de me repondre 🙂
Impossible de vous répondre sans voir et sans radios: je vous conseille de consulter un service d’urgences dentaires
Bonjour,
Merci pour votre article détaillé. J’ai un effet eu le syndrome de septum. Après le curetage, je continue à avoir une douleur forte. La prise d’ubiprofène ne soulage pas la douleur. Est-ce normal que la douleur persiste 24h après la consultation? Merci d’avance pour votre éclairage.
Il faut que je voie votre radio.
Bonjour,
un abcès inter dentaire peut il diminuer voir disparaître sans qu’il ne se soit percer ni qu’il y ait eu d’écoulement ni prise d’antibiotique?
merci
Si on en supprime la cause: oui. C’est à dire qu’il faut rétablir un bon point de contact et une bonne hygiène. Mais avec un tout petit curetage, c’est encore mieux!
J ai fait une operation pour extraire un mollaire il ya quatre jours maintenant je souffre d un septum osseux interdentaire qui me blesse la langue tout le temps que faire?
Demandez à votre dentiste de le l’adoucir.
Bonjour,
mon dentiste qui est très sympathique et qui m’a l’air professionnel et honnête m’a posé une couronne il y a 5 mois. Cette couronne n’avait pas de point de contact, je l’ai appris par un second dentiste suite à mon déméngament, ce qui me causait des bourrages alimentaires chroniques, et une odeur et un goût fort désagréable malgrés l’utilisation de fils dentaire tous les soirs et de bains de bouche. Je suis donc retourné chez le 1er dentiste à 3 reprises avant qu’il se décide à retirer la couronne refaire des empruntes, me poser la provisoire et enfin me poser la nouvelle couronne. Pour lui le point de contact était bon sur la première couronne mais la morphologie de la dent pas…Eh bien j’ai toujours le même problème avec cette couronne n°2, gout d’égout dans la bouche et aliments bourrés entre les deux dents, quand je passe mon fils dentaire j’y rentre sans aucune résistance, comme si les deux dents ne se touchaient pas…Je commence à désespérer de retrouver un jour une dentition sans « goût d’égout » dans la bouche. Cette couronne est devenue mon obsession tant ma salive est dégoutante à déglutir…
Envoyé moi une radio avec la couronne en place.
Merci de votre réponse, je n’ai pas de pano dentaire récent. JE déloge tous les jours des restes alimentaires, je retourne donc voir mon dentiste mardi prochain pour voir avec lui quelle sont les solutions à mon problème en espérant qu’il y en ai une….
Après nettoyage au fil de soie instillez quelques gouttes d’eau oxygénée à 10 volumes pures entre les deux dents. Achetez des Pipette 1,75 ml PAPILLI code CIP 4661684 vendues par 6.
Merci je vais essayer cela pendant quelques jours.
Comment on fait pour restaurer une carie au niveau de furcation radiculaire ?
Tout dépend de la profondeur de la furcation. Si vous avez une radio envoyez la moi.
Bonjour c’est à nouveau barbin, le cabinet dentaire m’a redonné rdv (à 2h30 de chez moi) avec une dentiste remplaçante (nouvellement dîplômée) qui m’a donc dit qu’elle ne pouvait pas me retirer la couronne pour effectuer des empruntes puisque ce n’était pas elle qui me l’avait posée (ce que je comprends) mais du coup je n’ai pas compris que le cabinet me fasse déplacer de si loin connaissant mon problème sachant que rien ne serait fait… Du coup elle m’a proposé un join d’étanchéité, que j’ai accepté (fait sans anesthésie au finale puisque anesthésie loupée, c’est ma gencive inférieur qui a été anesthésiée et non celle supérieur)…Finalement le join a tenu 15 jour, un matin la moitiée m’est venue en bouche alors que je mangeais simplement mon petit déjeuner (mou)…Je suis actuellement enceinte avec à nouveau mon probleme de mauvais gout dans la bouche et de bourrages alors qu’il avait completement disparut avec le join…Ma question, ne devrais je mieux pas aller carrément à l’hopital ou en clinique me faire soigner, et est ce possible en tout début de grossesse ?
Merci et bonne année 2015 !!
Ce sont des soins simples qui peuvent être fait en cabinet , même avec votre grossesse: attendez que votre dentiste revienne et prenez déjà un rendez-vous
Bonjour,
Je me permets de vous solliciter car j’ai depuis quelques mois une douleur très vive par moment, qui lorsqu’elle intervient irradie toute la mâchoire (du haut – là où le problème se situait initialement – mais parfois aussi celle du bas, et jusque sur le devant).
Il y a donc quelques mois, un morceau de prémolaire du haut s’est cassé, causant un « trou » dans la dent provoquant un bourrage alimentaire et une douleur très vive. Mon dentiste a donc réparé cette dent par un « inlay ». plus de douleur donc. Quelques semaines plus tard, rebelote sur la prémolaire voisine, et mon dentiste a à nouveau réparé avec un « inlay ».
A partir de là, je mâchait à nouveau des 2 côtés sans crainte, sauf que la douleur aigüe est revenue. Je prend donc contact avec mon dentiste qui m’examine à nouveau et vérifie que le point de contact est bien là, mais il y a un petit espace entre les 2 dents, sur le bas vers la gencive (espace qui était déjà présent avant que les 2 dents se cassent). Il m’indique qu’il ne peut pas obstruer totalement l’espace. Il me conseille alors d’utiliser un goupillon afin d’éliminer tout bourrage alimentaire.
J’ai donc suivi son conseil. Il me semblait que cela atténuait la fréquence des douleurs, voire les stoppait. Mais depuis quelques temps, c’est pire qu’avant car si je mâche quelque chose d’à peine plus dur, ou que je bois quelque chose de chaud, cela déclenche une douleur vraiment très forte qui part de cet endroit (vers les 2 prémolaires) et se diffuse à l’ensemble de la mâchoire (côté, haut et bas et même jusque devant). Cela dure quelques minutes (affreuses) puis la douleur s’estompe doucement.
Je vais à nouveau prendre rendez vous chez mon dentiste. Dans l’attente (qui risque d’être difficile…), pouvez vous me dire ce que vous en pensez ?
Par avance, je vous en remercie grandement.
Bien cordialement
Cathy
Il faut faire des radios pour voir si les inlays ne sont pas trop près de la pulpe
Bonsoir,
Une carie a été traitée avec un composite sur ma première molaire (entre deux dents en fait). Les premières semaines je ne sentais rien jusqu’à ce je mange un carambar qui s’est collé à cet endroit et semble avoir déclenché la douleur. Le plombage était auparavant entre les deux dents et les soudait entre elles (le fil ne passait pas) mais désormais elles ne le sont pas. Ma gencive est rétractée sur le côté de la dent et entre les dents (1 mm). Il ya un espace entre les deux dents où des aliments viennent se loger. Je passe le fil dentaire mais même propre l’endroit est douloureux et semble inflammé. Mon dentiste m’avait prescrit Sensigel. Selon lui il n’y a rien au niveau du plombage (je lui ai parlé du septum mais il n’a pas réagi). C’est simplement le déchaussement qui cause cette douleur. Sauf que d’autres dents ont la gencive un peu rétractée et ne sont pas douloureuses. A la radio il a vu le retrait de la gencive mais aussi le l’os entre les dents (n’est-ce pas ça le septum?). Il me demande de continuer bains de bouche, brossettes etc. mais je ne suis pas sûre que ça suffise car cela fait déjà deux mois que les douleurs sont de plus en plus présentes.
J’avais aussi pensé à une intolérance au composite mais je l’aurais sentie avant je pense.
Pouvez-vous me donner votre avis?
D’avance, merci.
Elsa
D’après tout ce que vous me dites, je pense qu’il vaudrait mieux que vous consultiez un parodontologiste.
Bonjour c’est encore moi, j’ai fait une fausse couche à 1 mois de grossesse, et toujours mon probleme de bourrage dentaire car pas du tout de point de contact entre ma couronne et la molaire (le bourrage vient meme s’incruster entre la couronne et la gencive). Je pense que je vais changer de dentiste quitte à repayer, mais là ma priorité serai une grossesse sans soucis…Connaissez vous un dentiste sur Angers? Pensez vous que le fait de ne plus avoir ces dents de sagesse ai un impact sur l’évolution du point de contact entre la derniere molaire et la molaire couronnée a proximité? (est ce que la couronne fait sa place en poussant la derniere molaire et créant ainsi avec le temps l’absence de point de contact?)
Si la dent de sagesse a été extraite après que la molaire ait été couronnée il est possible que la molaire ait reculé. Mais elle ne reculera pas indéfiniment. Je ne connais personne a Angers.
Bonjour c’est encore moi, j’ai fait une fausse couche à 1 mois de grossesse, et toujours mon probleme de bourrage dentaire car pas du tout de point de contact entre ma couronne et la molaire (le bourrage vient meme s’incruster entre la couronne et la gencive). Je pense que je vais changer de dentiste quitte à re-payer, mais là ma priorité serait une grossesse sans soucis…Connaissez vous un dentiste sur Angers? Pensez vous que le fait de ne plus avoir ces dents de sagesse ai un impact sur l’évolution du point de contact entre la derniere molaire et la molaire couronnée a proximité? (est ce que la couronne fait sa place en poussant la derniere molaire et créant ainsi avec le temps l’absence de point de contact?)
Je viens de trouver mon problème ! Merci beaucoup 🙂
Bonjour,
Je me permets de vous contacter afin de vous poser la question suivante :
L’on vient de me poser une couronne, cependant je ne parviens pas à passer le fil dentaire entre la couronne et les deux autres dents. Ajoutons à cela une gêne (l’impression d’avoir une dent trop grosse pour ma mâchoire) mon dentiste peut il modifier sa taille ou dois je demander une nouvelle couronne ?
Vous en remerciant par avance docteur.
Très cordialement.
sans voir je ne peux pas répondre à votre question, mais il faut faire quelque chose: ce n’est pas normal
Merci. Je peux prendre rendez vous alors. Je ne souhaitais pas ennuyer mon médecin pour rien. Merci encore. Très cordialement
Bonjour Docteur,
J’ai la dent 14 enlevé (à cause d’une fracture verticale après dévitalisation. Suite à une visite de contrôle chez le dentiste qui remplace mon dentiste, il a commencé à mettre un bridge (sans m’expliquer ni me prévenir c’est au cours du traitement qu’il ma dit qu’il va mettre un bridge comme je le paye pas car j’ai la CMU). Donc, le dentiste a dévitalisé la 15 (avec une petite composite mais sans douleur)en une seule séance puis à la 2 séance il a taillé la 15 et a taillé une partie de la canine (chose que j’ai pas apprécié comme j’étais pas prévenu), ensuite il a mis une couronne provisoire sur la 15. La première nuit s’est passé sans douleur par contre la nuit d’après j’ai ressenti une douleur entre la 15 et la 16 surtout au froid. Je me suis parti consulter, le dentiste a dit qu’il y a rien et qu’il oit mettre le bridge malgré les douleurs et la gêne que je ressens. Il a trouvé des difficultés à mettre le bridge comme sa me fait trop mal à l’appui, malgré tout il la remis et ma prescris des anti-inflammatoire et m’a dit que c’est un problème de point de contact et que sa va partir. Depuis un mois les douleurs ont diminué mais sont toujours la surtout quand je mange et je ressens une sorte de gêne du coté de la canine. La gencive entre la 15 et la 16 est rouge et un peu gonflé. Je demande votre conseil car même au niveau psychologique sa me gêne beaucoup.
Merci
il y a forcément quelque chose qui ne va pas, il est tout à fait anormal d’avoir mal sous un bridge. Retournez voir votre dentiste et exigez qu’il résolve votre problème.
Dr j’ai une question concernant le diagnostic différentiel de ce syndrome ??
-La douleur n’est pas paroxystique comme la pulpite, et n’est pas déclenchée par des facteurs thermiques, donc ce n’est pas une pulpite.
-la dent, au début n’est pas sensible à la pression, ce n’est pas une desmodontite, la desmodontite n’arrivera que tardivement
-l’inflammation, l’abcès ou la fistule sont situés entre deux dents et près du collet de la dent, contrairement à une complication infectieuse apicale où elle se trouve plus profonde dans le vestibule
Bonjour je voulais faire part d’une expérience abusive qui m’est arrivé avec un cabinet urbain d’ile de france. Pris par la douleur (grosse rage de dent) je suis allé dans un cabinet nouveau. J’avais tellement mal. La consultation a lieu normalement : verdict qui tombe « monsieur il faut faire un bridge, 3 couronnes » prix 2800 euros. J’essaie alors de comprendre pourquoi faire « forcément » ces 3 couronnes. Je demande qu’on m’explique sur la photo et là les mots de l’assistante ne sont pas extrememet convaincantes mais j’ai mal et ou commence les soins. C’est parti pour les 3 couronnes. Par ailleurs, il faut aussi m’arracher une de mes dents de sagesse complétement carriée de l’intérieur d’apres eux. Mais n’aimant pas me faire arracher les dents (surtout celle la du fond déjà couronnée), je fais reporter ce soin d’arrachage.
J’ai trouvé ce cabinet un peu « trop business » à mon gout, je ne juge pas non plus, simple constatation. Une fois les soins pratiquées, je demande quand meme à voir un autre praticien.
Incompréhension : ma dent de sagesse n’est pas cariée. Cette demande d’arrachage n’était pas justifiée.
Par ailleurs, il se trouve que les 3 couronnes ont été abusives pour au moins deux d’entre elles car on aurait pu tout à fait les soigner par amalgame, d’ailleurs l’argument du dentiste était du style « faites une couronne et vous serez tranquille pour 15 ans, alors qu’avec un amalgame dans 6 mois vous revenez avec une rage de dents encore pire.. »
Ces propos suspects ont atterit mon attention mais pas sur l’instant j’avais trop mal.
Donc au bilan je me suis fait raser 3 dents pour rien.
existe -t- il un recours ?
voir ICI
vous pouvez aussi vous plaidre auprès de la sécurité sociale
Bonjour Docteur,
Je pense avoir une syndrome du Septum:bourrage dentaire,le fil dentaire ne passe pas.Il y a une semaine j’ai une douleur intense dans cette partie de la machoire ,névralgies violentes sur toute la face même la nuit.Ai consulté en urgence la dentiste m’a prescrit des antibiotiques (chlamoxyl sur 8 jours jours),bain de bouche edril.Pour calmer la douleur qui était si forte j’ai pris des antiinflammatoires et du doliprane codeine. J’ai acheté également de l’eau oxygénée 10 volumes comme vous l’indiquez mais cela a provoqué une douleur d’une intensité sans nom.
Après 8 jours jour de soins j’ai toujours mal à la machoire entre les deux dents notamment quand j’appui une douleur très forte avec une sensibilité au froid .
Que puis faire qu’elles sont la ou les solutions à mon problème.
Merci d’avance, Docteur, pour le temps passé à me lire et votre réponse éventuelle.
Bien cordialement
Nicole
il faut faire une radiographie pour voir comment est la trame osseuse du septum, et évaluer le point de contact.En attendant , nettoyez l’espace interdentaire avec une brossette interdentaire imprégnée d’eau oxygégée
Grand merci Docteur pour votre réponse aussi immédiate,je prends note de vos informations.
je vais m’exécuter.
dois je poursuivre les antibiotiques et les antiinflammatoires,la douleur a diminué mais elle reste forte,bon je suppose qu’il faut attendre les résultats de la radio pour se prononcer .
Me conseillez-vous le jet dentaire pour nettoyer l’espace.
bien cordialement et merci encore
nicole
finissez votre traitement antibiotique. Oui le jet est un bon moyen pour nettoyer mais ça ne dispense pas des brossettes
Bonjour Docteur,
d’abord merci pour vos réponses.
J’ai récupéré des radios de la mâchoire faites il y a trois mois car mon problème de bourrage commence à dater ,il me gênait mais ne m’avais jamais procurer de tels douleurs .
Puis je vous les faire parvenir si ça ne vous dérange pas.
Il s’agit du maxillaire haut sans dents en face.
Dans l’affirmative,comment puis le faire?
Dans la négative,je vous remercie encore pour vos précieux renseignements.
bien cordialement
nicole
sur « conseil-dentaire@orange.fr ». Les radiographies numérisées peuvent être copiées sur clef USB et envoyées directement .Les radiographies et scanners sur support argentique, doivent être photographiées en les fixant sur une vitre bien éclairée, et en interposant un papier calque derrière: horizontales D ou R à gauche, G ou L à droite et envoyées en format jpg en pièces jointes. Renvoyez vos questions en même temps pour que je sache de quoi il s’agit.
Bonjour j ai une dent de traver en hau qui se pose casi sur sa voisine en laissent un léger espace et sa fait 2 jour que j ai mal au niveau de la gencive et mintenent la douleur à changer quand j appuie avec la langue dessu sa me fait mal de quoi sa vient
faites faire une radio
bonjour
Après des semaines de recherches je tombe sur cette page, qui a l’air de fin m’éclairer sur ma situation.
Il y a quelques mois un morceau de ma dent s’est cassé, et j’avoue avoir laissé traîné car j’ai du me rendre loin de chez moi pour des raisons de santé autres que dentaires.
Au début je n’avais pas mal puis forcément la douleur a fini par s’installer. Je pensais que c’était la dent cassée qui se creusait de plus en plus.
J’ai pu aller voir un dentiste qui m’a apprit que ma dent était certes cassée mais que c’était superficiel. La douleur venait sur tout du fait que la gencive gonflait à la place du morceau de dent cassée. Donc il l’a réparée, et oui pendant 3/4 jours je n’ai plus eu de douleurs. C’était il y a environ un mois et demi. Depuis, le chaud, le froid me provoquent des douleurs vraiment insupportables, je pense n’avoir jamais rien ressenti d’aussi horrible, ni jamais rien ressenti de pire au niveau de la bouche. Ça sétend sur tout le côté jusqu’à l’oreille avec une sorte de boule dure sous la mâchoire.
Du coup j’ai lu l’article et les commentaires. Je n’ai pas de fil en nylon sous la main, n’étant pas chez moi. Jai essayé avec un fil à coudre, je n’arrive pas jusqu’à la gencive, mais lorsque je le ressors, ça me fait en même temps du bien, l’impression d’être soulagée et en même temps, au moment où il sort, la douleur est vraiment amplifiée. La dent est extrêmement douloureuse même si ça dure un instant, ça résonne presque.
Je rentre chez moi lundi, mais je ne pourrai avoir de rendez vous rapidement, il n’y a rien que je puisse faire pour m’apaiser en attendant ? Je passe des nuits horrible, avec des douleurs intenses en continue, à ne rien pouvoir faire a part pleurer.
Merci beaucoup !
achetez en pharmacie des petites brossettes inter dentaires « SOFT PICKS GUM »et trempez dans de l’eau oxygénée pure, et passez la brossette entre les 2 dents au ras de la gencive. Plusieurs fois par jours.
bonjour docteur,
je me suis fait poser une couronne céramo-metallique en juin 2014 sur la seconde prémolaire au niveau des dents supérieures côté droit de la bouche. Auparavant, au moins 10 ans plutôt on m’avait posé une couronne en métal, sur la première molaire. Ces deux dents sont donc voisines, il se trouve que depuis environ 6 mois j’avais des soucis de bourrage alimentaire. Je suis allé voir un premier dentiste qui m’a aspiré quelque chose qui était coincé entre les 2 couronnes (j’aurai dit un morceau d’os) mais n’a pas eu la présence d’esprit de regarder avant de l’aspirer…Résultat j’ai un espace interdentaire important ce qui explique mes irritations et le bourrage alimentaire. Ce dentiste m’a prescris une radio long cone afin de mieux déceler le probléme. Je suis retourné voir la dentiste qui m’a posé la couronne en 2014, pour elle le diagnostic est que sa couronne a bougé, la couronne est intacte. Elle me propose simplement de refaire la couronne métal sur la première molaire. Est ce normal que la dentiste me demande de refaire la couronne de la dent adjascente pour essayer de « combler » cet espace interdentaire trop important ? La qualité de la pose de la couronne de la seconde prémolaire n’est elle pas plutôt la cause de mes problémes ? puis je me renseigner auprés du conseil de l’ordre des dentistes…? merci d’avance de votre conseil et expérience. cordialement.
Pour que je puisse vous aider vraiment, il faut m’envoyer une radio récente, sur « DR.H@conseildentaire.com » . Les radiographies numérisées peuvent être copiées sur clef USB et envoyées directement .Les radiographies et scanners sur support argentique, doivent être photographiées au plus près possible, en les fixant sur une vitre bien éclairée, et en interposant un papier calque derrière: orientées de telle sorte que l’écriture soit à l’endroit, horizontales D ou R à gauche, G ou L à droite et envoyées en format jpg en pièces jointes. Renvoyez moi vos questions en même temps pour que je sache de quoi il s’agit.
bonjour docteur, en fait il y a un mois environ ma dentiste m’a refait un ancien amalgames sur une molaire du bas, et depuis cette intervention entre cette dent et la dent voisine dès que je mange de la nourriture ci coince, je dois tout le temps passer le fil dentaire avec beaucoup de mal, et lorsque je fais un bain de bouche cela me brule à cet endroit. J’en ai parlé à ma dentiste et elle me dit que c’est normal qui vaux mieux que l’espace sont très mince plutôt que large et que je dois continuer à passer le fils dentaire, et que le point de contact qu’elle ma refait est bon, pourtant avant qu’elle ne me refasse l’amalgame je n’avais jamais eu ce problème. Qu’en pensez-vous? Dois-je voir un autre dentiste?
je pense que votre point de contact n’est pas bon
merci de votre réponse, dois-je retourner voir ce dentiste ou aller voir un autre? elle m’a aussi fait une gouttière car je serre les dents la nuit, et la première nuit passée, au réveille j’avais de grosses éraflures aux joues internes.
c’est normal sue la gouttière blesse au début
Bonjour,
Je me rapproche de vous car il y a deux semaines j’ai commencé à avoir la gencive rouge au niveau d’un implant réalisé il y a 4 ans. Je n’avais aucun problème si ce n’est un peu de nourriture qui se coinçait occasionnellement entre l’implant et ma canine. J’ai commencé à avoir du pus et du Sang qui sortait de la gencive en y appuyant. Arrivé chez le dentiste, celui ci m’a fait une radio et en a déduit un défaut de point de contact qu’il a recré. Après 3 jours antibio la gencive est encore rouge et j’ai encore un peu de pus qui en sort parfois mais dans tous les cas je n’ai presque pas de douleurs. Faut-il que je reprenne rendez-vous chez le dentiste ? Ou dois-je attendre un peu que ça passe ?
finissez votre traitement antibiotique et si ça suppure toujours revoyez le dentiste.
Bonjour docteur,
Quelles sont les solutions à envisager pour deux molaires du haut, les deux dernières de leur rangée, ou il n’y a pas de point de contact ?
J’ai eu il y a environ 1 an, ou 2, un bourrage d’aliment à cet endroit là, et j’en ai bavé pendant plusieurs semaines, jusqu’à ce que le dentiste me fasse un nettoyage sous gencive et me prescrive des antibiotiques.
J’avais une très forte douleur qui me prenait sur tout le côté du visage.
Le dentiste avait parlé à un moment donné d’extraire la dernière molaire et de la remplacer par une prothèse pour recréer le point de contact.
Je n’étais pas très partant vu que la dent est encore « saine ». Il m’a envoyé pour consultation vers mon orthodontiste qui a confirmé, lors d’une précédente radio prise début des années 2000, que le point de contact manquait déjà à cette époque mais qu’à son niveau, il ne pourrait rien faire.
Le point de contact manquait déjà depuis début des années 2000 mais ce n’est que depuis ces 2, 3, dernières années que j’en ressens les conséquences.
Si je ne passe pas le fil dentaire tous les jours, c’est la catastrophe assurée, aliments qui s’infiltrent, gonflement de la gencive….
Je n’ai pas refait de grosse crise avec forte douleur sur tout le côté du visage mais c’est pénible d’avoir les jours à porter une attention particulière à cet endroit à cause des bourrages d’aliments, notamment viande.
J’avais consulté un autre orthodontiste, pour une autre raison, à qui j’en avais brièvement parlé et qui m’a lui aussi dit que j’ai eu raison de ne pas me faire enlever la molaire pour me la faire remplacer par une prothèse mais à part ça, personne ne semble trouver une solution durable.
Bref, qu’en pensez vous ?
Cordialement
La seule véritable solution est de passer le fil de soie matin et soir après brossage partout ou c’est nécessaire comme je le conseille à tous. Mais si vous m’envoyez une radio de vos dents je pourrais évaluer l’opportunité de faire 2 inlays soudés entre eux pour empècher la dernière dent de continuer à reculer. Mais vous devrez quand même passer une brossette matin et soir, le fil ne passera plus…
Bonjour Dr,
Je viens de faire une couronne , je sentais un écart entre la couronne et la dent de sagesse, le dentiste m’a consillé d’extraire la dent de sagesse , je suis contre l’extraction ( j’ai déjà eu l’expérience ça fait super mal ) , il m’a fait un point de contact et depuis une semaine je sens le point de contact et je sens une pression et je ne peux plus faire passer le fil dentaire .
Est ce normal ?
D’avance merci
Non, le fil doit passer, mais il est souvent difficile de pratiquer des soins corrects sur les dents de sagesse
Bonjour docteur,
Cela fait des années que j’ai d’horribles douleurs à une dent, collée à une dent dévitalisée (avec kyste et inflammation depuis 35 ans!), je viens enfin de me faire extraire cette dent dévitalisée inflammée pensant que cela résoudrait tous mes problèmes mais les douleurs continuent !!! Le bon côté c’est que maintenant j’ai enfin exactement trouvé là ou ça fait très mal, c’est la gencive (un endroit très précis de pas plus de 3 millimètres) juste à la base de la dent du côté où il y avait le contact avec l’autre dent donc je suppose le fameux septum dont vous parlez. J’ai déjà à mon actif récemment, parnoramique, radios diverses, scanner..et personne n’a trouvé, du coup vous lisant aujourd’hui je pense que c’set ça. On m’a vaguement parlé de « débris » alimentaires mais il n’y a aucun débris vu que la dent a coté à été arrachée, tout a été desinfecté et je fais des bains de bouche et ne mange pas de ce coté or, j’ai très mal. Du coup je vais acheter la pipette que vous recommandez demain et voir ce que ça donne car c’est très localisé (à l’oeil nu apparemment rien de spécial) et surtout ça diffuse jusque dans le crâne, l’oreille, la tempe et ça épuise…ma joue est légèrement gonflée aussi. J’ai cru dans un premier temps que j’avais une carie car c’est la même douleur exactement mais non, j’ai vu plusieurs dentistes et il n’y a rien, la dent est saine (juste obturée). Pensez vous que ça peut être ce fameux symptome du septum ? même si tout a été désinfecté récemment suite à l’extraction de la dent d’a coté (dévitalisée) qui a mon avis avait une forte incidence sur ces problèmes ? Des dentiste me disent qu’ils ne savent pas pourquoi jes ouffre autant, et ne m’ont jamais parlé de soucis parondotaux ou septum c’est bizarre.
Merci par avance de votre réponse je peux vous scanner les radios du scanner et panoramique mais ils ont été fait juste avant l’extraction de la dent dévitalisée.
L’extraction semble très récente, il faut une quinzaine de jours pour y voir plus clair. C’est peut être un problème de septum mais avec l’extraction et un peu de temps tout devrait rentrer dans l’ordre.
Merci docteur pour m’avoir répondu, je vais effectivement prendre mon mal en patience, je suppose qu’après 35 ans d’inflamation duà une dent mal dévitalisée les choses ne vont pas changer d’un coup de baguette magique à l’extraction même si c’est ce que j’espérais, le bon côté c’est que ça a dégagé mes sinus (je respire mieux) même si le dentiste dit que ça n’a rien à voir je l’ai senti immédiatement après l’extraction l’air passait partout. Maintenant pour ce « septum » parfois je me demande si c’est pas arthrite ou névralgie aussi, mystère..
Bonjour docteur, j’ai depuis quelques semaines une douleur à une molaire. J’ai souvent des aliments qui se coincent entre cette dent douloureuse et celle d’à côté, et lorsque j’enlève cet aliment avec du fil dentaire la douleur passe au bout d’un jour environ. Un Doliprane m’aide à passer cette journée douloureuse. Je ne suis pas allée au dentiste car je suis enceinte et doit accoucher dans 2 semaines. Puis-je attendre sans risque d’aller me faire soigner seulement après mon accouchement ou vaut-il mieux y aller rapidement ?
plus vite vous irez et moins il y aura de dégâts…et même quand votre dent sera soignée, si vous ne voulez pas avoir d’autres caries, passez le fil de soie partout au moins une fois par jour.
N’oubliez pas que vous allez sans doute vivre centenaire: si vous perdez vos dents à 65 ou 70 ans, cela vous fait 30 ans à vivre sans dents!!! Vous devriez y réfléchir!…
Bonjour Docteur ,
Je vais vous remercier tout d’abord de ce site si enrichissant
Existe-t-il une solution pour les réflexes nauséeux ?
Cordialement
https://conseildentaire.com/2013/12/13/questions-reponses-n56-les-nausees/
bonjour ; après avoir souffert du coté gauche des gencives, mon dentiste a trouvé un bourrage alimentaire au niveau des deux dents du bas au fond de la bouche ; elle m’a prescrit du bain de bouche Eludril et m’a prévenu que le bourrage alimentaire pouvait se reproduire ; Comment éviter cela car l’accès du fil dentaire au fond de la bouche est très difficile ; quels conseils me donneriez vous ? une brosse électrique serait elle bien et comment faire pour pouvoir passer ce fil dentaire
merci de votre réponse
es de
Utilisez une fourche pour le fil de soie et une brossette interdentaire
https://conseildentaire.com/2016/10/02/les-instruments-dhygiene-bucco-dentaire-nettoyage-des-espaces-interdentaires/
Bonjour Docteur et tout d’abord tous mes bons voeux.
Désolé de vous embêter dès ce début d’année, mais j ai déja bien mal entre la 37 et la 36
Depuis quelques jours, cela me brulait sur cette zone et j’avais un peu mal quand je mangeais.
Hier et ce matin, je passe la brossette interdentaire et cela a pas mal saigné.
La pano ci dessous date de début novembre 2017…je suppose qu’en si peu de temps il n’y a pas pu avoir de caries sur la 36 ?
Si j’avais un kyste apical sur la 37, j’aurais mal quand je passe les doigts à la base de la dent.
https://www.noelshack.com/2017-47-4-1511424180-pano-du-debut-novembre-2017.jpg
Je pense donc à un bourrage alimentaire..et vais suivre les conseils très gentilement distillés par vous.
Par contre au bout de combien de jours de douleurs dois je éventuellement voir un dentiste ?
Un grand merci
L’inlay de 36 ne serre pas assez ses point de contact avec 35 et 37; et le coté mésial de 37 a un petit ressaut du à une ancienne carie qui fait que les aliments se coincent entre 36 et 37. Trempez vos brossettes dans de l’eau oxygénée pure et massez avec du gel CURASEPT. Je pense qu’au vu de votre radio vous devriez utiliser un hydropulseur pour stimuler vos gencives dans les espaces interdentaires. Je ne pense pas qu’il sera nécessaire de voir un dentiste tout de suite…
Un grand merci pour ce retour
Impressionnant comment un saignement de gencives peut engendrer des douleurs
on peut facilement se dire qu’on a une carie !!!
salut Dr merci pour votre leçon j’ai une question
qu’elle est le diagnostic différentiel ?
Bonjour Docteur,
Tout d’abord, tous mes meilleurs vœux de bonheur, de bonne santé et de réussite pour l’année 2021.
J’ai une petite douleur au niveau d’un espace inter dentaire entre les deux dents dévitalisées 26 et 27.
Je ne sais pas si le point de contact est mal fait? Est-ce que si je mets des couronnes sur les deux dents, la douleur va partir.
PS: La douleur diminue considérablement quand je brosse mes dents.
Docteur, je vous ai envoyé un mail avec une photo de la radio que j’ai faite (La photo n’est pas très claire malheureusement)
Qu’est-ce que vous me conseillez docteur?
A l’avance, un grand merci !
La radio que vous m’avez envoyé est inutilisable. D’après de que vous dites, il semble bien y avoir un défaut de point contact. Si vos dent sont dévitalisées il faut les couronner, sinon deux inlays seraient une bonne solution. Il vaudrait mieux m’envoyer une bonne radio.
Merci docteur pour votre aide
Bonjour,
voila j’ai eu une extraction dentaire de la molaire inférieure il y a 3 mois, depuis j’ai une douleur qui diffuse jusqu’à l’oreille, le cou et l’épaule.
D’ou pourrait venir cette douleur,
Merci
Le nerf mandibulaire a dû être étiré lors de l’extraction, il va falloir plusieurs mois, voire1 an, pour qu’il cicatrise
Bonjour,
J’ai une molaire de la mâchoire supérieure qui a été dévitalisée et ensuite une couronne a été effectuée et depuis la dévitalisation et la pose de la couronne j’ai une douleur qui diffuse à l’oreille et lorsque je touche celle-ci.
D’ou peut venir cette douleur??
Envoyer moi une radio panoramique récente de vos dents accompagnée de votre question sur « dr.h@conseildentaire.com ».
Bonjour Docteur,
Suite à une carie entre les 2 molaires du haut, j’ai été soigné par restauration composite il y a un mois. J’ai eu quelques sensibilités à la mastication et des tensions (musculaires) au niveau de la mâchoire. Ces symptômes vont en s’atténuant et ont quasi disparu.
Par contre il m’est impossible de passer le fil dentaire entre ces deux dents. Le passage de la brossette est compliqué et génère des petits saignements. Je pense qu’il y a là un problème. Faut il consulter rapidement ?
Je précise que la restauration est assez importante sur la 2eme molaire : 3 faces. J’en suis très surpris car ma carie n’avait provoqué aucune douleur, que j’ai une bonne hygiène dentaire et que je consulte le dentiste tous les ans.
Pensez-vous qu’un inlay ou onlay pourrait être adapté dans ce cas ? J’ai 36 ans et j’aimerais garder mes dents vivantes le plus longtemps possible…
Je voulais vous remercier pour la qualité de votre site.
Cordialement
Guillaume
Le fil dentaire doit impérativement passer entre les dents, en forçant légèrement et en faisant « clic ». Parlez en à votre praticien qui a vu ce qui se passe et qui sera plus à même de vous conseiller s’il faut faire un ou deux inlays en céramique ou en composite.
bonjour docteur j’espère que vous allez bien, je vous raconte mon petit soucis, je me suis faite plombé une carie interdentaire la semaine passée, j’ai remarqué néanmoins une anomalie, les deux dents ont lair collées, le fil ne passe pas du tout, dailleurs lors du soin, elle na ny placé de matrice ni de feuille, jai vraiment peur que cela me cause ce syndrome de septum par la suite, surtout que je compte etudier a letranger dans peu de temps, je ne peux donc pas refaire le point de contact tout de suite chez un autre dentiste, faut il que je refasse le point de contact au plus vite ou cela peut attendre ? Merci de me répondre
Il vaut mieux faire refaire le point de contact le plus rapidement possible.
Bonjour Dr,
Je vous remercie pour cet article très clair.
Cela fait des années que j’ai des douleurs vers ma première molaire droite. J’ai consulté plusieurs dentistes et l’un d’entre eux m’a indiqué que la solution était de traiter la dent 15 et d’y poser un overlay. J’ai donc validé cela en 2021 et aujourd’hui je me retrouve 3 ans plus tard avec la même douleur.
Depuis début avril, j’ai consulté plusieurs dentistes qui n’ont pas su trouver le problème. L’un m’a prescrit de l’augmentin sans succès, un autre m’a indiqué que j’avais un champignon et le dernier m’a indiqué que je devais me tourner vers l’endodontie. Ce que j’ai fait, j’ai donc vu un spécialiste en début de mois et c’est lui qui m’a indiqué que j’avais le syndrome du septum et que pour lui la racine de la dent 15 était bonne d’après le scanner maxillo-faciale réalisé début juillet. Il m’a indiqué qu’avec une bonne hygiène dentaire et l’utilisation de brossettes interdentaires mon problème serait réglé en une semaine.
J’ai donc appliqué son protocole avec l’utilisation deux fois par jour de brossettes interdentaires. Les premiers jours, la douleur était pire qu’avant. La douleur irradiait tout le côté droit et remontait jusqu’à ma tempe avec des gros pics de douleurs. Cela fait maintenant une quinzaine de jours que je suis méticuleusement le brossage, la douleur a diminué depuis que j’utilise du sensodyne (j’ai tenté d’utiliser le dentifrice Gum paroex 0.12% mais trop abrasif pour moi) et un bain de bouche eludril le soir toutefois la douleur est toujours présente entre l’espace interdentaire autour de la première et la deuxième molaires. C’est comme une sensation de brûlure qui ne s’arrête jamais. Je ne vous cache pas que je ne sais plus quoi faire et vers qui me tourner.
Je vous remercie d’avance pour vos conseils.
. Achetez en pharmacie des pipettes (Micro-Pipettes 1,75 ml PAPILLI code CIP 4661684 vendues par 6) et instillez 2 à 3 gouttes d’eau oxygénée à 10 volumes pure matin et soir sous la gencive dans le septum, après brossage, pendant une quinzaine de jours.
Bonjour Dr,
Je souhaitais vous remercier, je suis la personne qui vous a laissé un commentaire le 21 août 2024.
Cela fait un peu plus d’une quinzaine de jours que je suis vos recommandations.
Le matin au réveil je me brosse les dents (brossage avec une brosse à dent souple et utilisation de brossettes interdentaires) et j’instille ensuite 3 gouttes d’eau oxygénée à 10 volumes grace à la pipette conseillée dans l’espace interdentaire. Le midi, brossage seulement des dents et brossettes et enfin le soir même routine que celle du matin.
J’ai noté une nette amélioration, la douleur n’est plus ce qu’elle était à certains moments elle n’est plus mais à d’autres elle se réveille moins importante, elle reste tout de même là et cette sensation d’inflammation se propage.
Pensez-vous qu’en continuant vos recommandations cela permettra d’endiguer le problème ? Et est-ce que l’orthodontie pourrait être une solution ?
Je vous remercie d’avance pour votre retour.
Bel après-midi à vous
Faites des massages de la gencive avec du gel HYALUGEL, après le brossage.
Bonsoir docteur,
Suite a des douleurs sur une 24 dévitalisé depuis 10 ans, le dentiste a soigner deux caries interproximales dont une sous couronne.Un mois passé toujours douleurs spontanées calmer par ibuprofène.Par la suite la couronne a été enlevée et grosse inflammation de la gencive, au cone beam rien de spécial, finalement il y a une semaine l’on ma arraché la dent et point de suture pour éviter une alvéolite dont je suis sujet.Verdict résorption interne mais le dentiste n’avais pas l’air sur de lui. Depuis toujours mal type inflammatoire la même douleurs + lèvres toujours anesthésier.
Je ne sais plus quoi faire, pensez vous qu’avec le temps cela va se résorber?
Avez vous des conseil pour soulager la douleur?
Merci infiniment pour votre travail.
Cordialement,
Une semaine, c’est trop récent pour pouvoir dire qu’il y a une complication quelconque. Patientez encore une dizaine de jours et si ça ne s’améliore pas revoyez votre dentiste.
Bonjour Docteur,
Merci beaucoup pour votre retour.Suite au douleur type inflammation, je suis retourné voir mon dentiste, une nouvelle radio a été effectué, il se trouve que des matériaux( Pâte ciment?) soit resté dans la gencive( un bon morceau.D’après mon dentiste il faut aller voir un spé.Prescription de solupred 3 jour, je ne pourrais voir de spé avant un mois, Pensez vous qu »il y a urgence? La cortisone va elle suffire pour me soulager 1 mois?
Merci pour votre travail.
Cordialement,
Pour la pâte obturatrice débordante ça peut attendre un mois. Pour la douleur prenez un anti inflammatoire quand vous avez trop mal.